验证数据展示
经过测试的应用
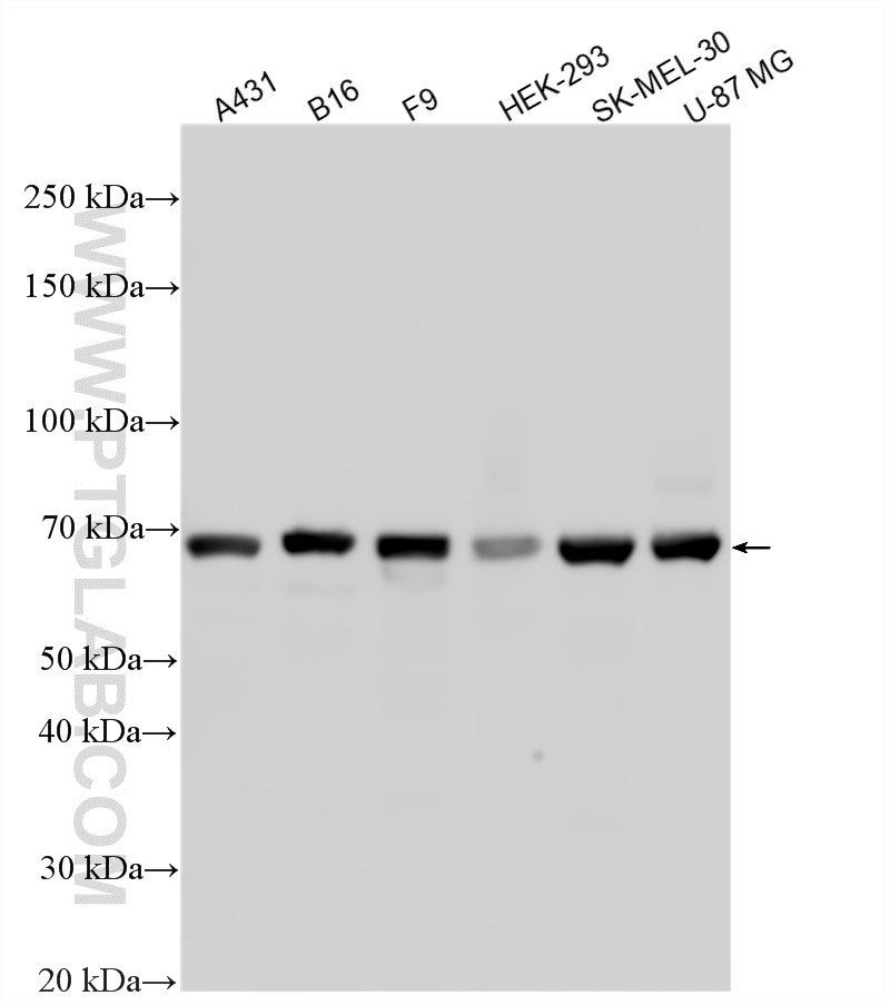
| Positive WB detected in | A431 cells, HEK-293 cells, mouse skin tissue, B16 cells, F9 cells, SK-MEL-30 cells, U-87 MG cells |
| Positive IP detected in | mouse skin tissue |
推荐稀释比
| 应用 | 推荐稀释比 |
|---|---|
| Western Blot (WB) | WB : 1:1000-1:4000 |
| Immunoprecipitation (IP) | IP : 0.5-4.0 ug for 1.0-3.0 mg of total protein lysate |
| It is recommended that this reagent should be titrated in each testing system to obtain optimal results. | |
| Sample-dependent, Check data in validation data gallery. | |
发表文章中的应用
| WB | See 2 publications below |
| IHC | See 1 publications below |
产品信息
21386-1-AP targets PAX3 in WB, IHC, IP, ELISA applications and shows reactivity with human, mouse, rat samples.
| 经测试应用 | WB, IP, ELISA Application Description |
| 文献引用应用 | WB, IHC |
| 经测试反应性 | human, mouse, rat |
| 文献引用反应性 | human, mouse, hamster |
| 免疫原 |
CatNo: Ag16021 Product name: Recombinant human PAX3 protein Source: e coli.-derived, PGEX-4T Tag: GST Domain: 341-426 aa of BC101301 Sequence: QSTIPSNPDSSSAYCLPSTRHGFSSYTDSFVPPSGPSNPMNPTIGNGLSPQVMGLLTNHGGVPHQPQTDYALSPLTGGLEPTTTVS 种属同源性预测 |
| 宿主/亚型 | Rabbit / IgG |
| 抗体类别 | Polyclonal |
| 产品类型 | Antibody |
| 全称 | paired box 3 |
| 别名 | CDHS, paired box 3, Paired box protein Pax 3, Paired box protein Pax-3, PAX-3 |
| 计算分子量 | 484 aa, 53 kDa |
| 观测分子量 | 56-60 kDa |
| GenBank蛋白编号 | BC101301 |
| 基因名称 | PAX3 |
| Gene ID (NCBI) | 5077 |
| RRID | AB_10732817 |
| 偶联类型 | Unconjugated |
| 形式 | Liquid |
| 纯化方式 | Antigen affinity purification |
| UNIPROT ID | P23760 |
| 储存缓冲液 | PBS with 0.02% sodium azide and 50% glycerol, pH 7.3. |
| 储存条件 | Store at -20°C. Stable for one year after shipment. Aliquoting is unnecessary for -20oC storage. |
背景介绍
PAX3, a transcription factor and multifunctional regulatory protein, is normally expressed during embryonic development. In the nervous system, PAX3 is involved in neural tube closure, neural crest development, and peripheral neuron differentiation. In the present study, PAX3 was reported as a novel regulator of GFAP transcription, and the overexpression and suppression of PAX3 could inhibit and promote NSC differentiation, respectively. In muscle development, PAX3 ensures the survival of myogenic progenitor cells with Pax3-expressing progenitors giving rise to both skeletal and smooth muscle cells. PAX3 also has a well-established role in the development of melanocytes during embryogenesis, and has recently been characterized as a molecular switch in the mature melanocyte. Mutations in PAX3 can cause Waardenburg syndrome.
实验方案
| Product Specific Protocols | |
|---|---|
| IP protocol for PAX3 antibody 21386-1-AP | Download protocol |
| WB protocol for PAX3 antibody 21386-1-AP | Download protocol |
| Standard Protocols | |
|---|---|
| Click here to view our Standard Protocols |
发表文章
| Species | Application | Title |
|---|---|---|
Birth Defects Res Cigarette smoke induced neural tube defects by down-regulating noggin expression. | ||
Neurochem Int Cycloleucine induces neural tube defects by reducing Pax3 expression and impairing the balance of proliferation and apoptosis in early neurulation | ||
Stem Cells Int Noggin Combined With Human Dental Pulp Stem Cells to Promote Skeletal Muscle Regeneration | ||
Adv Sci (Weinh) RPS27L Enhances Myogenesis and Muscle Mass by Targeting IGF1 Through Liquid-Liquid Phase Separation | ||
Neurogastroenterol Motil Electroacupuncture Improves Anorectal Function in Neurogenic Fecal Incontinence Rats, Related to Reversing Anal Sphincter Atrophy and Enhancing Muscle Satellite Cell Activity |



