验证数据展示
经过测试的应用
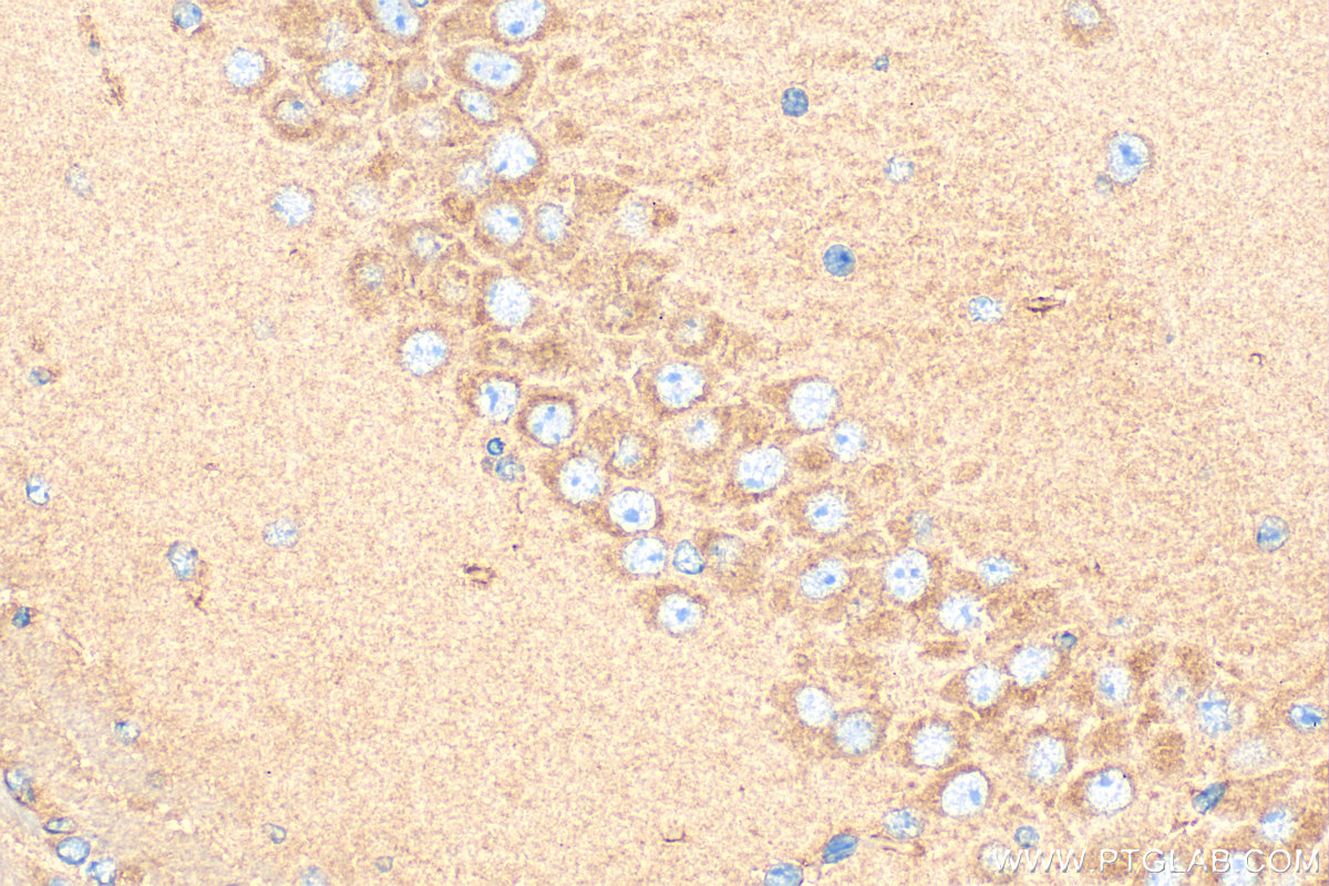
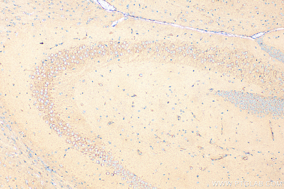
| Positive IHC detected in | mouse brain tissue Note: suggested antigen retrieval with TE buffer pH 9.0; (*) Alternatively, antigen retrieval may be performed with citrate buffer pH 6.0 |
推荐稀释比
| 应用 | 推荐稀释比 |
|---|---|
| Immunohistochemistry (IHC) | IHC : 1:50-1:500 |
| It is recommended that this reagent should be titrated in each testing system to obtain optimal results. | |
| Sample-dependent, Check data in validation data gallery. | |
产品信息
18842-1-AP targets LPPR5 in IHC, ELISA applications and shows reactivity with human, mouse samples.
| 经测试应用 | IHC, ELISA Application Description |
| 经测试反应性 | human, mouse |
| 免疫原 |
Peptide 种属同源性预测 |
| 宿主/亚型 | Rabbit / IgG |
| 抗体类别 | Polyclonal |
| 产品类型 | Antibody |
| 全称 | phosphatidic acid phosphatase type 2 |
| 别名 | PAP2D, Lipid phosphate phosphatase-related protein type 5, PAP2, Phosphatidic acid phosphatase type 2d, Phospholipid phosphatase-related protein type 5 |
| 计算分子量 | 35 kDa |
| GenBank蛋白编号 | NM_001010861 |
| 基因名称 | PAP2D |
| Gene ID (NCBI) | 163404 |
| 偶联类型 | Unconjugated |
| 形式 | Liquid |
| 纯化方式 | Antigen affinity purification |
| UNIPROT ID | Q32ZL2 |
| 储存缓冲液 | PBS with 0.02% sodium azide and 50% glycerol, pH 7.3. |
| 储存条件 | Store at -20°C. Stable for one year after shipment. Aliquoting is unnecessary for -20oC storage. |
背景介绍
The lipid phosphate phosphatase-related proteins (LPPRs), also known as plasticity-related genes (PRGs), are a family of six transmembrane proteins that are enriched in brain. To date, five members have been identified (LPPR1-LPPR5). LPPR5 is an integral membrane protein linked to neuronal plasticity, which impedes NogoA- and LPA-mediated RhoA kinase signaling. LPPR5 modulates the Rho-GTPase pathway involved in cancer growth, vascularization, and the adaptive response to changes in the microenvironment. LPPR5 is pivotal in influencing growth, angiogenesis, and therapeutic resistance. (PMID: 26183180, PMID: 35328529)
实验方案
| Product Specific Protocols | |
|---|---|
| IHC protocol for LPPR5 antibody 18842-1-AP | Download protocol |
| Standard Protocols | |
|---|---|
| Click here to view our Standard Protocols |

