验证数据展示
经过测试的应用
| Positive WB detected in | mouse testis tissue, Raji cells, rat testis tissue |
| Positive IP detected in | mouse testis tissue |
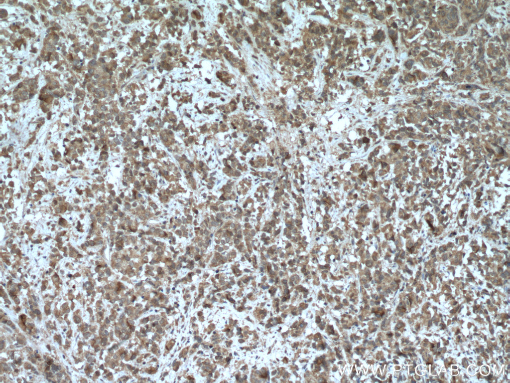
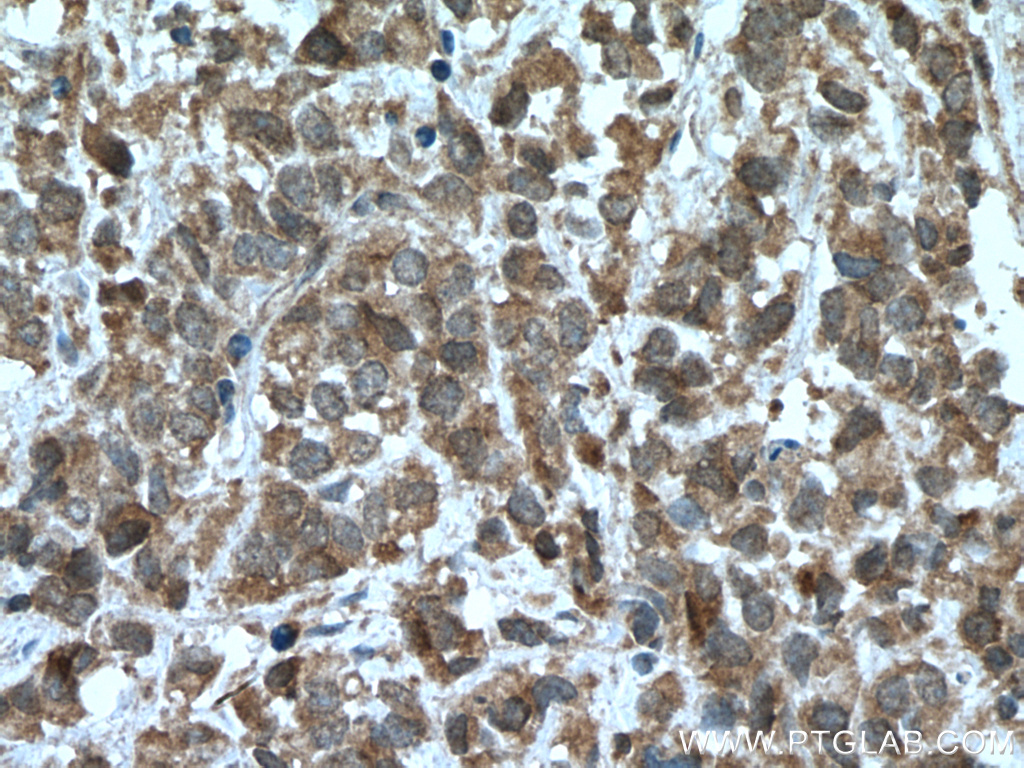
| Positive IHC detected in | human prostate cancer tissue Note: suggested antigen retrieval with TE buffer pH 9.0; (*) Alternatively, antigen retrieval may be performed with citrate buffer pH 6.0 |
| Positive IF/ICC detected in | A431 cells |
推荐稀释比
| 应用 | 推荐稀释比 |
|---|---|
| Western Blot (WB) | WB : 1:500-1:2000 |
| Immunoprecipitation (IP) | IP : 0.5-4.0 ug for 1.0-3.0 mg of total protein lysate |
| Immunohistochemistry (IHC) | IHC : 1:50-1:500 |
| Immunofluorescence (IF)/ICC | IF/ICC : 1:50-1:500 |
| It is recommended that this reagent should be titrated in each testing system to obtain optimal results. | |
| Sample-dependent, Check data in validation data gallery. | |
发表文章中的应用
| KD/KO | See 1 publications below |
| WB | See 5 publications below |
| IHC | See 2 publications below |
产品信息
13539-1-AP targets PAK6 in WB, IHC, IF/ICC, IP, ELISA applications and shows reactivity with human, mouse, rat samples.
| 经测试应用 | WB, IHC, IF/ICC, IP, ELISA Application Description |
| 文献引用应用 | WB, IHC |
| 经测试反应性 | human, mouse, rat |
| 文献引用反应性 | human, rat |
| 免疫原 |
CatNo: Ag4467 Product name: Recombinant human PAK6 protein Source: e coli.-derived, PGEX-4T Tag: GST Domain: 330-681 aa of BC035596 Sequence: QKSLRTAPATGQLPGRSSPAGSPRTWHAQISTSNLYLPQDPTVAKGALAGEDTGVVTHEQFKAALRMVVDQGDPRLLLDSYVKIGEGSTGIVCLAREKHSGRQVAVKMMDLRKQQRRELLFNEVVIMRDYQHFNVVEMYKSYLVGEELWVLMEFLQGGALTDIVSQVRLNEEQIATVCEAVLQALAYLHAQGVIHRDIKSDSILLTLDGRVKLSDFGFCAQISKDVPKRKSLVGTPYWMAPEVISRSLYATEVDIWSLGIMVIEMVDGEPPYFSDSPVQAMKRLRDSPPPKLKNSHKVSPVLRDFLERMLVRDPQERATAQELLDHPFLLQTGLPECLVPLIQLYRKQTSTC 种属同源性预测 |
| 宿主/亚型 | Rabbit / IgG |
| 抗体类别 | Polyclonal |
| 产品类型 | Antibody |
| 全称 | p21 protein (Cdc42/Rac)-activated kinase 6 |
| 别名 | PAK5, PAK 6, PAK 5, p21-activated kinase 6, p21 activated kinase 6 |
| 计算分子量 | 681 aa, 75 kDa |
| 观测分子量 | 70-75 kDa |
| GenBank蛋白编号 | BC035596 |
| 基因名称 | PAK6 |
| Gene ID (NCBI) | 56924 |
| RRID | AB_2158467 |
| 偶联类型 | Unconjugated |
| 形式 | Liquid |
| 纯化方式 | Antigen affinity purification |
| UNIPROT ID | Q9NQU5 |
| 储存缓冲液 | PBS with 0.02% sodium azide and 50% glycerol, pH 7.3. |
| 储存条件 | Store at -20°C. Stable for one year after shipment. Aliquoting is unnecessary for -20oC storage. |
背景介绍
PAK6(p21-activated kinase 6) is a serine/threonine kinase belonging to the p21-activated kinase (PAK) family. .This protein plays a role in the regulation of gene transcription and may protect cells from apoptosis through phosphorylation of BAD. Northern blot analysis revealed that PAK6 is highly expressed in testis and prostate tissues (PMID:11278661). The immunogen of this antibody is the C-terminal of PAK6. This antibody has weak cross-reaction with other PAK members.
实验方案
| Product Specific Protocols | |
|---|---|
| IF protocol for PAK6 antibody 13539-1-AP | Download protocol |
| IHC protocol for PAK6 antibody 13539-1-AP | Download protocol |
| IP protocol for PAK6 antibody 13539-1-AP | Download protocol |
| WB protocol for PAK6 antibody 13539-1-AP | Download protocol |
| Standard Protocols | |
|---|---|
| Click here to view our Standard Protocols |
发表文章
| Species | Application | Title |
|---|---|---|
Oncol Lett PAK6 promotes cervical cancer progression through activation of the Wnt/β-catenin signaling pathway.
| ||
J Pain Res Proteomics analysis of the amygdala in rats with CFA-induced pain aversion with electro-acupuncture stimulation. | ||
BMC Nephrol Urinary exosome proteins PAK6 and EGFR as noninvasive diagnostic biomarkers of diabetic nephropathy | ||
Infect Agent Cancer miR-3191 promotes the proliferation and metastasis of hepatocellular carcinoma via regulating PAK6 | ||
Int J Biol Macromol METTL3-mediated m6A modification of PAK6 drives cervical cancer progression through activating MAPK14 |






