验证数据展示
经过测试的应用
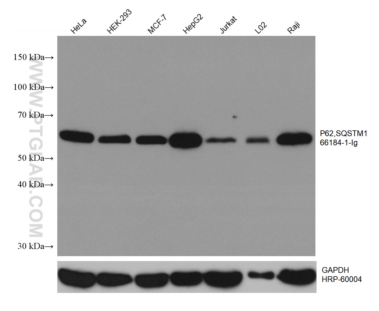
| Positive WB detected in | HeLa cells, U2OS cells, K-562 cells, HEK-293 cells, MCF-7 cells, HepG2 cells, Jurkat cells, L02 cells, Raji cells |
| Positive IP detected in | U2OS cells |
| Positive IHC detected in | human lung cancer tissue, human colon cancer tissue, human liver cancer tissue, human endometrial cancer tissue Note: suggested antigen retrieval with TE buffer pH 9.0; (*) Alternatively, antigen retrieval may be performed with citrate buffer pH 6.0 |
| Positive IF/ICC detected in | Chloroquine treated HepG2 cells, Starvation treated HepG2 cells, U2OS cells, Chloroquine treated U2OS cells |
推荐稀释比
| 应用 | 推荐稀释比 |
|---|---|
| Western Blot (WB) | WB : 1:5000-1:50000 |
| Immunoprecipitation (IP) | IP : 0.5-4.0 ug for 1.0-3.0 mg of total protein lysate |
| Immunohistochemistry (IHC) | IHC : 1:2000-1:8000 |
| Immunofluorescence (IF)/ICC | IF/ICC : 1:400-1:1600 |
| It is recommended that this reagent should be titrated in each testing system to obtain optimal results. | |
| Sample-dependent, Check data in validation data gallery. | |
产品信息
66184-1-Ig targets P62/SQSTM1 in WB, IHC, IF/ICC, IP, CoIP, ELISA applications and shows reactivity with human samples.
| 经测试应用 | WB, IHC, IF/ICC, IP, ELISA Application Description |
| 文献引用应用 | WB, IHC, IF, IP, CoIP |
| 经测试反应性 | human |
| 文献引用反应性 | human, pig, canine, monkey, chicken, bovine, hamster |
| 免疫原 |
CatNo: Ag13131 Product name: Recombinant human P62;SQSTM1 protein Source: e coli.-derived, PGEX-4T Tag: GST Domain: 1-440 aa of BC017222 Sequence: MASLTVKAYLLGKEDAAREIRRFSFCCSPEPEAEAEAAAGPGPCERLLSRVAALFPALRPGGFQAHYRDEDGDLVAFSSDEELTMAMSYVKDDIFRIYIKEKKECRRDHRPPCAQEAPRNMVHPNVICDGCNGPVVGTRYKCSVCPDYDLCSVCEGKGLHRGHTKLAFPSPFGHLSEGFSHSRWLRKVKHGHFGWPGWEMGPPGNWSPRPPRAGEARPGPTAESASGPSEDPSVNFLKNVGESVAAALSPLGIEVDIDVEHGGKRSRLTPVSPESSSTEEKSSSQPSSCCSDPSKPGGNVEGATQSLAEQMRKIALESEGRPEEQMESDNCSGGDDDWTHLSSKEVDPSTGELQSLQMPESEGPSSLDPSQEGPTGLKEAALYPHLPPEADPRLIESLSQMLSMGFSDEGGWLTRLLQTKNYDIGAALDTIQYSKHPPPL 种属同源性预测 |
| 宿主/亚型 | Mouse / IgG2b |
| 抗体类别 | Monoclonal |
| 产品类型 | Antibody |
| 全称 | sequestosome 1 |
| 别名 | P62,SQSTM1, P62, SQSTM1, 1H5C1, EBI3-associated protein of 60 kDa |
| 计算分子量 | 48 kDa |
| 观测分子量 | 62 kDa |
| GenBank蛋白编号 | BC017222 |
| 基因名称 | P62/SQSTM1 |
| Gene ID (NCBI) | 8878 |
| RRID | AB_2881579 |
| 偶联类型 | Unconjugated |
| 形式 | Liquid |
| 纯化方式 | Protein A purification |
| UNIPROT ID | Q13501 |
| 储存缓冲液 | PBS with 0.02% sodium azide and 50% glycerol, pH 7.3. |
| 储存条件 | Store at -20°C. Stable for one year after shipment. Aliquoting is unnecessary for -20oC storage. |
背景介绍
Sequestosome 1 (SQSTM1/p62) is a multifunctional adaptor protein implicated in selective autophagy, cell signaling pathways, and tumorigenesis. p62 has been implicated in shuttling ubiquitinated and sometimes aggregated proteins for autophagic degradation. As a autophagy-specific substrate, p62 is degraded during the autophagic process, which makes intracellular level of p62 as a marker for autophagy flux. p62 is at the cross-roads of several signaling pathways including Ras/ Raf/ MAPK and NFκB and plays important role in cancer. p62 is a component of inclusion bodies/ protein aggregates found in human diseases, including Huntington's disease, Alzheimer's disease, Parkinson's disease in the brain, and nephropathic cystinosis in kidney (PMID: 22074114, 22860231, 22714671). The molecular weight of p62 is predicted as 48/ 38 kDa, while western blot analyses using this antibody demonstrate the major band around 60-62 kDa in various tissues.
实验方案
| Product Specific Protocols | |
|---|---|
| IF protocol for P62/SQSTM1 antibody 66184-1-Ig | Download protocol |
| IHC protocol for P62/SQSTM1 antibody 66184-1-Ig | Download protocol |
| WB protocol for P62/SQSTM1 antibody 66184-1-Ig | Download protocol |
| Standard Protocols | |
|---|---|
| Click here to view our Standard Protocols |
发表文章
| Species | Application | Title |
|---|---|---|
Gastroenterology Proteomic characterization identifies clinically relevant subgroups of gastrointestinal stromal tumors | ||
Acta Neuropathol Upstream open reading frame with NOTCH2NLC GGC expansion generates polyglycine aggregates and disrupts nucleocytoplasmic transport: implications for polyglycine diseases. | ||
Nat Commun IL-6 regulates autophagy and chemotherapy resistance by promoting BECN1 phosphorylation. | ||
Mol Neurodegener Collusion of α-Synuclein and Aβ aggravating co-morbidities in a novel prion-type mouse model | ||
J Cell Biol CHMP2B regulates TDP-43 phosphorylation and cytotoxicity independent of autophagy via CK1. | ||
Theranostics The c-Myc/miR-27b-3p/ATG10 regulatory axis regulates chemoresistance in colorectal cancer. |














