验证数据展示
经过测试的应用
| Positive WB detected in | mouse kidney tissue, A549 cells |
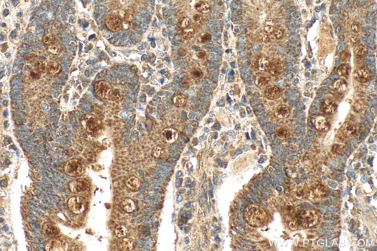
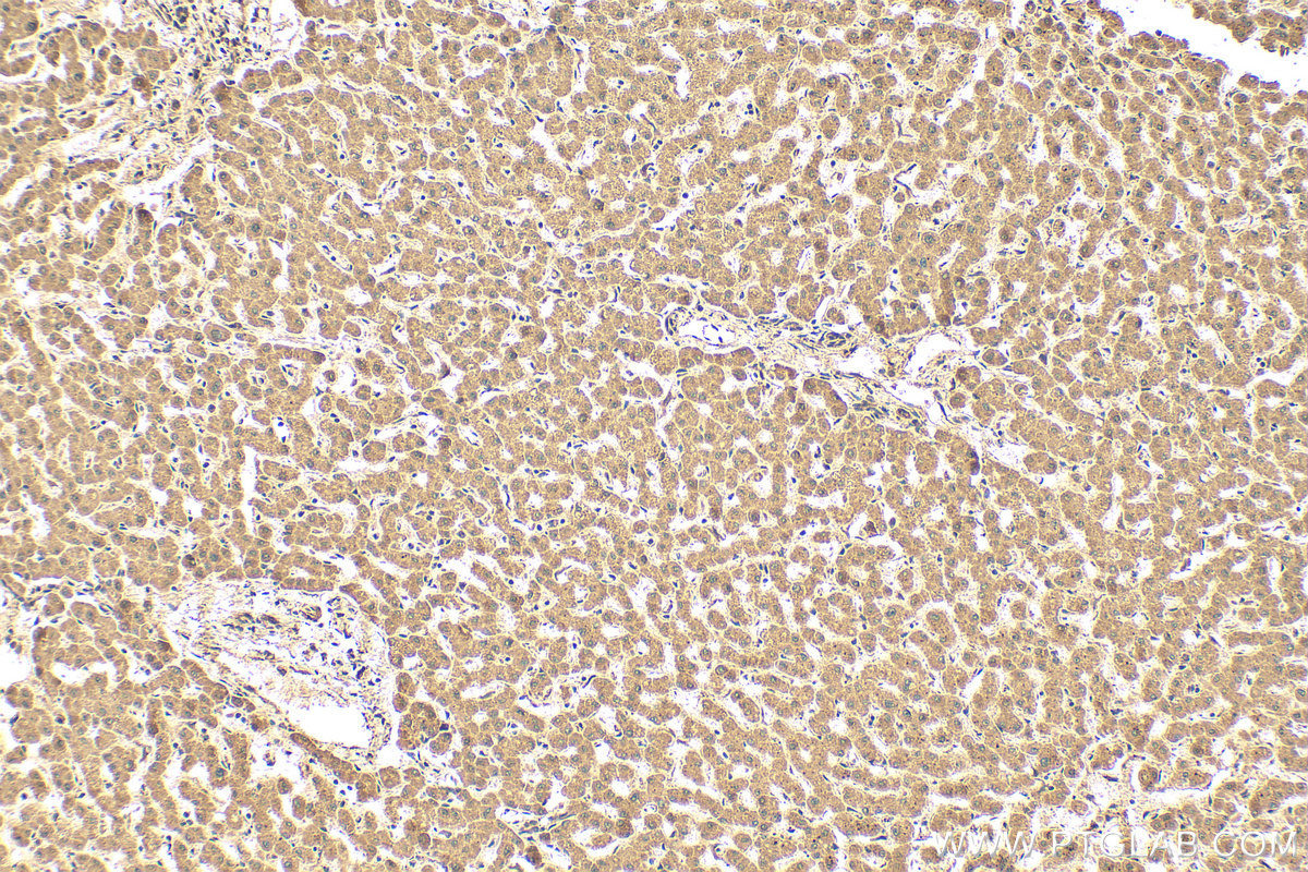
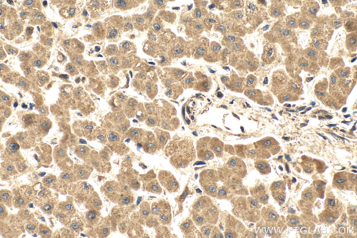
| Positive IHC detected in | human small intestine tissue, human liver tissue Note: suggested antigen retrieval with TE buffer pH 9.0; (*) Alternatively, antigen retrieval may be performed with citrate buffer pH 6.0 |
| Positive IF/ICC detected in | A549 cells |
推荐稀释比
| 应用 | 推荐稀释比 |
|---|---|
| Western Blot (WB) | WB : 1:500-1:1000 |
| Immunohistochemistry (IHC) | IHC : 1:50-1:500 |
| Immunofluorescence (IF)/ICC | IF/ICC : 1:50-1:500 |
| It is recommended that this reagent should be titrated in each testing system to obtain optimal results. | |
| Sample-dependent, Check data in validation data gallery. | |
发表文章中的应用
| KD/KO | See 5 publications below |
| WB | See 8 publications below |
| IHC | See 2 publications below |
产品信息
23185-1-AP targets P4HA3 in WB, IHC, IF/ICC, ELISA applications and shows reactivity with human, mouse samples.
| 经测试应用 | WB, IHC, IF/ICC, ELISA Application Description |
| 文献引用应用 | WB, IHC |
| 经测试反应性 | human, mouse |
| 文献引用反应性 | human, mouse, rat |
| 免疫原 |
CatNo: Ag19716 Product name: Recombinant human P4HA3 protein Source: e coli.-derived, PGEX-4T Tag: GST Domain: 28-256 aa of BC126170 Sequence: GDTFSALTSVARALAPERRLLGLLRRYLRGEEARLRDLTRFYDKVLSLHEDSTTPVANPLLAFTLIKRLQSDWRNVVHSLEASENIRALKDGYEKVEQDLPAFEDLEGAARALMRLQDVYMLNVKGLARGVFQRVTGSAITDLYSPKRLFSLTGDDCFQVGKVAYDMGDYYHAIPWLEEAVSLFRGSYGEWKTEDEASLEDALDHLAFAYFRAGNVSCALSLSREFLLY 种属同源性预测 |
| 宿主/亚型 | Rabbit / IgG |
| 抗体类别 | Polyclonal |
| 产品类型 | Antibody |
| 全称 | prolyl 4-hydroxylase, alpha polypeptide III |
| 别名 | 4-PH alpha-3, EC:1.14.11.2, Procollagen-proline,2-oxoglutarate-4-dioxygenase subunit alpha-3, Prolyl 4-hydroxylase subunit alpha-3, UNQ711/PRO1374 |
| 计算分子量 | 544 aa, 61 kDa |
| 观测分子量 | 30 kDa, 61 kDa |
| GenBank蛋白编号 | BC126170 |
| 基因名称 | P4HA3 |
| Gene ID (NCBI) | 283208 |
| RRID | AB_2879228 |
| 偶联类型 | Unconjugated |
| 形式 | Liquid |
| 纯化方式 | Antigen affinity purification |
| UNIPROT ID | Q7Z4N8 |
| 储存缓冲液 | PBS with 0.02% sodium azide and 50% glycerol, pH 7.3. |
| 储存条件 | Store at -20°C. Stable for one year after shipment. Aliquoting is unnecessary for -20oC storage. |
背景介绍
Collagen prolyl 4-hydroxylases catalyze the hydroxylation of proline in x-pro-gly triplets in collagens and in proteins with collagen-like sequences. Collagen prolyl 4-hydroxylases are tetramers of 2 alpha subunits, such as P4HA3, and 2 beta subunits(P4HB). P4HA3 has 3 isoforms produced by alternative splicing with the MW of 61 kDa, 29 kDa and 67 kDa.
实验方案
| Product Specific Protocols | |
|---|---|
| IF protocol for P4HA3 antibody 23185-1-AP | Download protocol |
| IHC protocol for P4HA3 antibody 23185-1-AP | Download protocol |
| WB protocol for P4HA3 antibody 23185-1-AP | Download protocol |
| Standard Protocols | |
|---|---|
| Click here to view our Standard Protocols |
发表文章
| Species | Application | Title |
|---|---|---|
J Mol Cell Cardiol Ascorbate starvation alters endoplasmic reticulum-resident enzymes in cardiac fibroblasts, priming them for increased procollagen secretion. | ||
Commun Biol TGF-β-dependent reprogramming of amino acid metabolism induces epithelial-mesenchymal transition in non-small cell lung cancers.
| ||
J Dent Sci Thrombospondin-1 and prolyl 4-hydroxylase subunit alpha 3 as potential biomarkers of salivary gland fibrosis | ||
bioRxiv Identifying and targeting key driver genes for collagen production within the 11q13/14 breast cancer amplicon
| ||
Heliyon Collagen synthase P4HA3 as a novel biomarker for colorectal cancer correlates with prognosis and immune infiltration | ||
Commun Biol Protein disulfide isomerase is essential for osteoblast differentiation in mice |






