验证数据展示
经过测试的应用
| Positive WB detected in | HUVEC cells, Jurkat cells, mouse colon tissue, LNCaP cells, U2OS cells, pig colon tissue, rat colon tissue, 4T1 cells, HEK-293 cells |
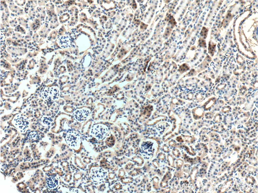
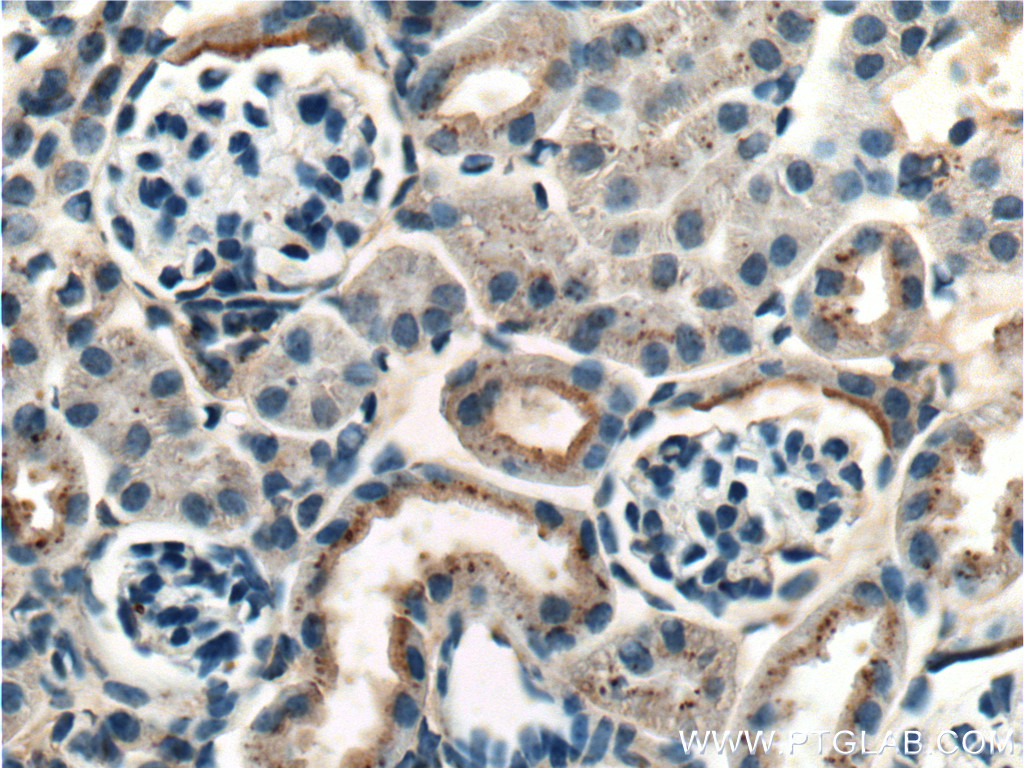
| Positive IHC detected in | human colon cancer tissue, mouse kidney tissue Note: suggested antigen retrieval with TE buffer pH 9.0; (*) Alternatively, antigen retrieval may be performed with citrate buffer pH 6.0 |
| Positive IF/ICC detected in | HaCaT cells |
推荐稀释比
| 应用 | 推荐稀释比 |
|---|---|
| Western Blot (WB) | WB : 1:5000-1:50000 |
| Immunohistochemistry (IHC) | IHC : 1:50-1:500 |
| Immunofluorescence (IF)/ICC | IF/ICC : 1:500-1:2000 |
| It is recommended that this reagent should be titrated in each testing system to obtain optimal results. | |
| Sample-dependent, Check data in validation data gallery. | |
产品信息
66378-1-Ig targets Occludin in WB, IHC, IF/ICC, ELISA applications and shows reactivity with human, mouse, rat, pig samples.
| 经测试应用 | WB, IHC, IF/ICC, ELISA Application Description |
| 文献引用应用 | WB, IHC, IF |
| 经测试反应性 | human, mouse, rat, pig |
| 文献引用反应性 | human, mouse, rat, pig, canine, bovine, sheep |
| 免疫原 |
CatNo: Ag4057 Product name: Recombinant human Occludin protein Source: e coli.-derived, PGEX-4T Tag: GST Domain: 269-522 aa of BC029886 Sequence: RKMDRYDKSNILWDKEHIYDEQPPNVEEWVKNVSAGTQDVPSPPSDYVERVDSPMAYSSNGKVNDKRFYPESSYKSTPVPEVVQELPLTSPVDDFRQPRYSSGGNFETPSKRAPAKGRAGRSKRTEQDHYETDYTTGGESCDELEEDWIREYPPITSDQQRQLYKRNFDTGLQEYKSLQSELDEINKELSRLDKELDDYREESEEYMAAADEYNRLKQVKGSADYKSKKNHCKQLKSKLSHIKKMVGDYDRQKT 种属同源性预测 |
| 宿主/亚型 | Mouse / IgG1 |
| 抗体类别 | Monoclonal |
| 产品类型 | Antibody |
| 全称 | occludin |
| 别名 | OCLN, 1D3C4 |
| 计算分子量 | 522 aa, 59 kDa |
| 观测分子量 | 59 kDa |
| GenBank蛋白编号 | BC029886 |
| 基因名称 | Occludin |
| Gene ID (NCBI) | 4950 |
| RRID | AB_2881755 |
| 偶联类型 | Unconjugated |
| 形式 | Liquid |
| 纯化方式 | Protein G purification |
| UNIPROT ID | Q16625 |
| 储存缓冲液 | PBS with 0.02% sodium azide and 50% glycerol, pH 7.3. |
| 储存条件 | Store at -20°C. Stable for one year after shipment. Aliquoting is unnecessary for -20oC storage. |
背景介绍
Occludin is an integral membrane protein located at the tight junction. It is a tetraspanin protein with four transmembrane domains, intracellular N and C termini and two extracellular loops. Occludin plays a role in the formation and regulation of the tight junction paracellular permeability barrier. Occludin can exist in different isoforms, owing to modifications at the posttranscriptional and posttranslational levels, the monomeric occludin migrates as 53-65 kDa on SDS-PAGE (PMID: 22083955; 19457074).
实验方案
| Product Specific Protocols | |
|---|---|
| IF protocol for Occludin antibody 66378-1-Ig | Download protocol |
| IHC protocol for Occludin antibody 66378-1-Ig | Download protocol |
| WB protocol for Occludin antibody 66378-1-Ig | Download protocol |
| Standard Protocols | |
|---|---|
| Click here to view our Standard Protocols |
发表文章
| Species | Application | Title |
|---|---|---|
Adv Sci (Weinh) Elevated SPARC Disrupts the Intestinal Barrier Integrity in Crohn's Disease by Interacting with OTUD4 and Activating the MYD88/NF-κB Pathway | ||
Sci Adv Astrocytic NDRG2-PPM1A interaction exacerbates blood-brain barrier disruption after subarachnoid hemorrhage | ||
Drug Des Devel Ther Shensong Yangxin Capsule Reduces the Susceptibility of Arrhythmia in db/db Mice via Inhibiting the Inflammatory Response Induced by Endothelium Dysfunction | ||
J Am Soc Nephrol Close Association Between Altered Urine-urothelium Barrier and Tertiary Lymphoid Structure Formation in the Renal Pelvis During Nephritis. | ||
Phytomedicine Study on the effects of the atractylodes macrocephala koidz-raphanus sativus l herb pair in alleviating senile constipation via the gut microbiota-SCFAs-5-HT axis |










