验证数据展示
经过测试的应用
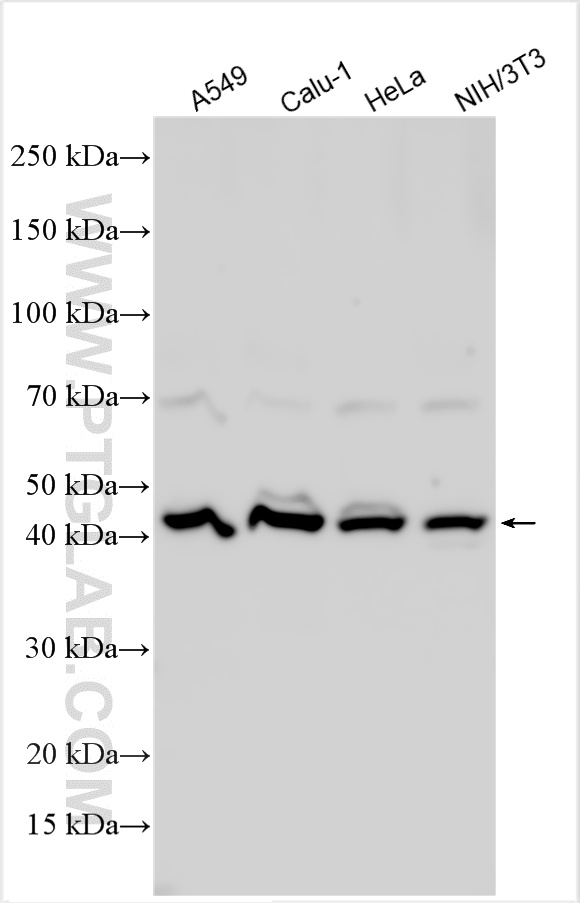
| Positive WB detected in | A549 cells, Calu-1 cells, HeLa cells, NIH/3T3 cells |
推荐稀释比
| 应用 | 推荐稀释比 |
|---|---|
| Western Blot (WB) | WB : 1:1000-1:6000 |
| It is recommended that this reagent should be titrated in each testing system to obtain optimal results. | |
| Sample-dependent, Check data in validation data gallery. | |
产品信息
22069-1-AP targets OXGR1 in WB, ELISA applications and shows reactivity with human, mouse samples.
| 经测试应用 | WB, ELISA Application Description |
| 经测试反应性 | human, mouse |
| 免疫原 |
CatNo: Ag17186 Product name: Recombinant human OXGR1 protein Source: e coli.-derived, PET28a Tag: 6*His Domain: 255-337 aa of BC103881 Sequence: LPFHILRVIRIESRLLSISCSIENQIHEAYIVSRPLAALNTFGNLLLYVVVSDNFQQAVCSTVRCKVSGNLEQAKKISYSNNP 种属同源性预测 |
| 宿主/亚型 | Rabbit / IgG |
| 抗体类别 | Polyclonal |
| 产品类型 | Antibody |
| 全称 | oxoglutarate (alpha-ketoglutarate) receptor 1 |
| 别名 | 2 oxoglutarate receptor 1, Alpha ketoglutarate receptor 1, G protein coupled receptor 80, G protein coupled receptor 99, GPR80 |
| 计算分子量 | 337 aa, 38 kDa |
| 观测分子量 | 38-42 kDa |
| GenBank蛋白编号 | BC103881 |
| 基因名称 | OXGR1 |
| Gene ID (NCBI) | 27199 |
| 偶联类型 | Unconjugated |
| 形式 | Liquid |
| 纯化方式 | Antigen affinity purification |
| UNIPROT ID | Q96P68 |
| 储存缓冲液 | PBS with 0.02% sodium azide and 50% glycerol, pH 7.3. |
| 储存条件 | Store at -20°C. Stable for one year after shipment. Aliquoting is unnecessary for -20oC storage. |
背景介绍
2-oxoglutarate receptor 1(OXGR1) also known as GPR99, belongs to the G-protein coupled receptor family. OXGR1is expressed in renal cortical connecting tubule and collecting duct type B intercalated cells. When stimulated by its ligand, OXGR1 mediates cellular calcium uptake, which acts as a signal to promote the chloride-bicarbonate exchanger SLC26A4. Dominant loss-of-function OXGR1 variants are associated with recurrent calcium oxalate NL/NC disease(PMID: 36571463).
实验方案
| Product Specific Protocols | |
|---|---|
| WB protocol for OXGR1 antibody 22069-1-AP | Download protocol |
| Standard Protocols | |
|---|---|
| Click here to view our Standard Protocols |
