验证数据展示
经过测试的应用
| Positive WB detected in | A431 cells, HeLa cells, HepG2 cells, mouse brain tissue, rat brain tissue |
| Positive IP detected in | mouse brain tissue |
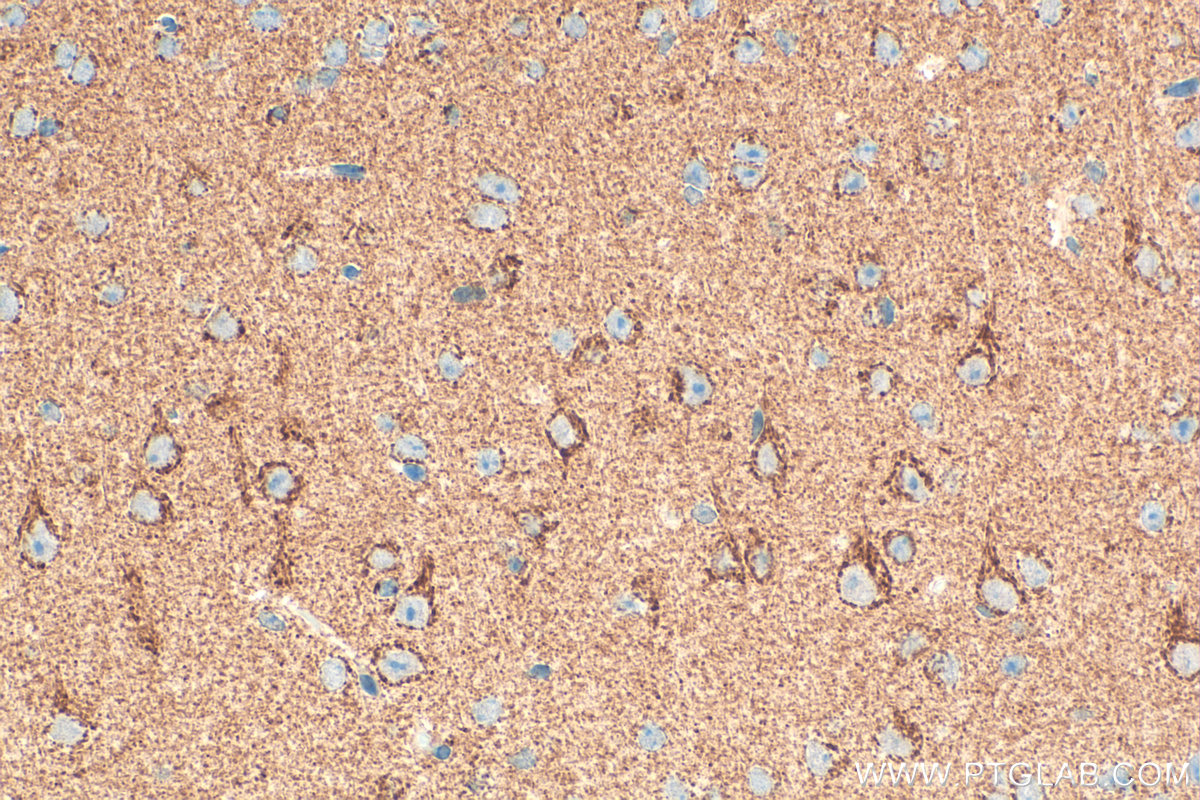
| Positive IHC detected in | mouse brain tissue Note: suggested antigen retrieval with TE buffer pH 9.0; (*) Alternatively, antigen retrieval may be performed with citrate buffer pH 6.0 |
推荐稀释比
| 应用 | 推荐稀释比 |
|---|---|
| Western Blot (WB) | WB : 1:5000-1:50000 |
| Immunoprecipitation (IP) | IP : 0.5-4.0 ug for 1.0-3.0 mg of total protein lysate |
| Immunohistochemistry (IHC) | IHC : 1:200-1:800 |
| It is recommended that this reagent should be titrated in each testing system to obtain optimal results. | |
| Sample-dependent, Check data in validation data gallery. | |
发表文章中的应用
| KD/KO | See 1 publications below |
| WB | See 1 publications below |
产品信息
32465-1-AP targets OPA1 in WB, IHC, IP, ELISA applications and shows reactivity with human, mouse, rat samples.
| 经测试应用 | WB, IHC, IP, ELISA Application Description |
| 文献引用应用 | WB |
| 经测试反应性 | human, mouse, rat |
| 文献引用反应性 | human |
| 免疫原 |
CatNo: Ag38295 Product name: Recombinant human OPA1 protein Source: e coli.-derived, PGEX-4T Tag: GST Domain: 261-560 aa of BC075805 Sequence: KKSLIDMYSEVLDVLSDYDASYNTQDHLPRVVVVGDQSAGKTSVLEMIAQARIFPRGSGEMMTRSPVKVTLSEGPHHVALFKDSSREFDLTKEEDLAALRHEIELRMRKNVKEGCTVSPETISLNVKGPGLQRMVLVDLPGVINTVTSGMAPDTKETIFSISKAYMQNPNAIILCIQDGSVDAERSIVTDLVSQMDPHGRRTIFVLTKVDLAEKNVASPSRIQQIIEGKLFPMKALGYFAVVTGKGNSSESIEAIREYEEEFFQNSKLLKTSMLKAHQVTTRNLSLAVSDCFWKMVRESV 种属同源性预测 |
| 宿主/亚型 | Rabbit / IgG |
| 抗体类别 | Polyclonal |
| 产品类型 | Antibody |
| 全称 | optic atrophy 1 (autosomal dominant) |
| 别名 | Dynamin-like GTPase OPA1, long form, Dynamin-like GTPase OPA1, mitochondrial, Dynamin-like GTPase OPA1, short form, EC:3.6.5.5, OPA 1 |
| 计算分子量 | 960 aa, 112 kDa |
| 观测分子量 | 80-100 kDa |
| GenBank蛋白编号 | BC075805 |
| 基因名称 | OPA1 |
| Gene ID (NCBI) | 4976 |
| RRID | AB_3742618 |
| 偶联类型 | Unconjugated |
| 形式 | Liquid |
| 纯化方式 | Antigen affinity Purification |
| UNIPROT ID | O60313 |
| 储存缓冲液 | PBS with 0.02% sodium azide and 50% glycerol, pH 7.3. |
| 储存条件 | Store at -20°C. Stable for one year after shipment. Aliquoting is unnecessary for -20oC storage. |
背景介绍
OPA1 is a nuclear-encoded mitochondrial protein with similarity to dynamin-related GTPases. OPA1 localizes to the inner mitochondrial membrane and helps regulate mitochondrial stability and energy output. This protein also sequesters cytochrome c. OPA1 is associated with the inner membrane and protects cells from apoptosis by regulating inner membrane dynamics. Mutation of OPA1 causes the disease dominant optic atrophy, a degeneration of the retinal ganglion cells. OPA1 undergoes complex posttranscriptional regulation and posttranslational proteolysis. OPA1 is regulated by proteolytic cleavage, which degrades long OPA1 isoforms into short isoforms.
实验方案
| Product Specific Protocols | |
|---|---|
| IHC protocol for OPA1 antibody 32465-1-AP | Download protocol |
| IP protocol for OPA1 antibody 32465-1-AP | Download protocol |
| WB protocol for OPA1 antibody 32465-1-AP | Download protocol |
| Standard Protocols | |
|---|---|
| Click here to view our Standard Protocols |



