验证数据展示
产品信息
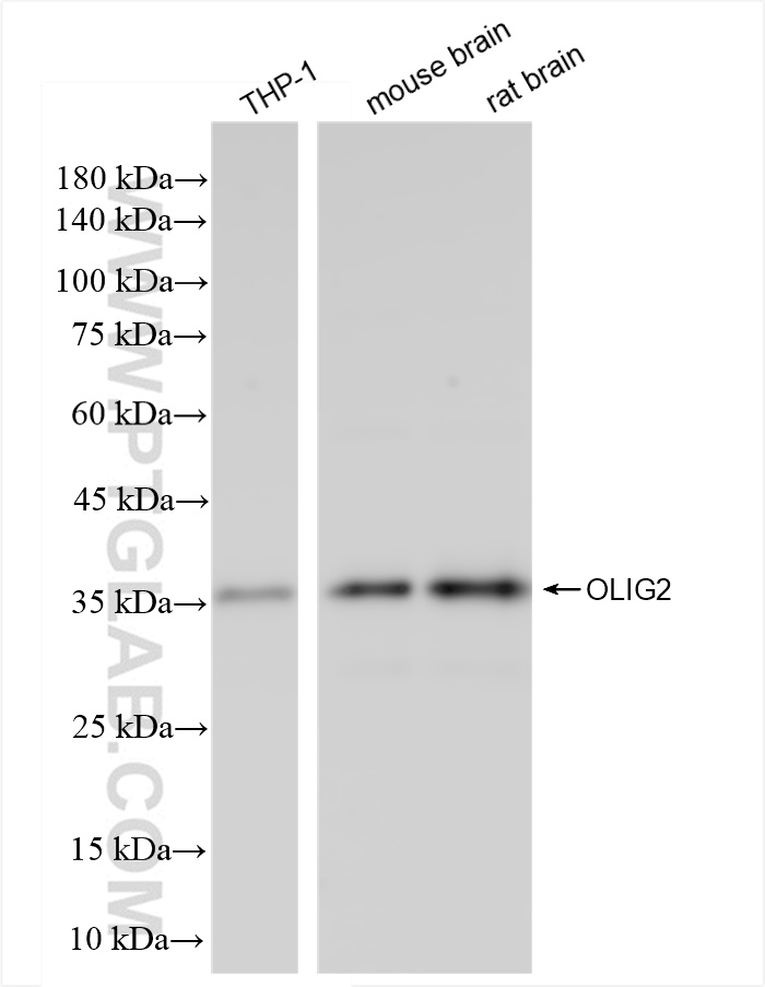
82806-7-PBS targets OLIG2 in WB, IF-P, Indirect ELISA applications and shows reactivity with human, mouse, rat samples.
| 经测试应用 | WB, IF-P, Indirect ELISA Application Description |
| 经测试反应性 | human, mouse, rat |
| 免疫原 |
CatNo: Ag5089 Product name: Recombinant human OLIG2 protein Source: e coli.-derived, PGEX-4T Tag: GST Domain: 1-323 aa of BC047511 Sequence: MDSDASLVSSRPSSPEPDDLFLPARSKGSSGSAFTGGTVSSSTPSDCPPELSAELRGAMGSAGAHPGDKLGGSGFKSSSSSTSSSTSSAAASSTKKDKKQMTEPELQQLRLKINSRERKRMHDLNIAMDGLREVMPYAHGPSVRKLSKITTLLLARNYILMLTNSLEEMKRLVSEIYGGHHAGFHPSACGGLAHSAPLPAATAHPAAAAHAAHHPAVHHPILPPAAAAAAAAAAAAAVSSASLPGSGLPSVGSIRPPHGLLKSPSAAAAAPLGGGGGGSGASGGFQHWGGMPCPCSMCQVPPPHHHVSAMGAGSLPRLTSDAK 种属同源性预测 |
| 宿主/亚型 | Rabbit / IgG |
| 抗体类别 | Recombinant |
| 产品类型 | Antibody |
| 全称 | oligodendrocyte lineage transcription factor 2 |
| 别名 | 240839C1, 5O7, bHLHb1, bHLHe19, Class B basic helix-loop-helix protein 1 |
| 计算分子量 | 32 kDa |
| 观测分子量 | 35 kDa |
| GenBank蛋白编号 | BC047511 |
| 基因名称 | OLIG2 |
| Gene ID (NCBI) | 10215 |
| RRID | AB_3670559 |
| 偶联类型 | Unconjugated |
| 形式 | Liquid |
| 纯化方式 | Protein A purfication |
| UNIPROT ID | Q13516 |
| 储存缓冲液 | PBS only, pH 7.3. |
| 储存条件 | Store at -80°C. The product is shipped with ice packs. Upon receipt, store it immediately at -80°C |
背景介绍
OLIG2, also named as BHLHB1, BHLHE19, PRKCBP2 and RACK17, is required for oligodendrocyte and motor neuron specification in the spinal cord, as well as for the development of somatic motor neurons in the hindbrain. Cooperates with OLIG1, OLIG2 establish the pMN domain of the embryonic neural tube. Antagonist of V2 interneuron and of NKX2-2-induced V3 interneuron development. OLIG2 is widely expressed in subsets of glia cells and progenitors, and it is strongly induced at different sites by both acute and chronic injury, albeit with different mechanisms. OLIG2 acts as a repressor of neurogenesis in cells reacting to brain injury. It may represent an effective approach towards evoking neuronal repair from parenchymal precursors.(PMID:19390819 )


