验证数据展示
经过测试的应用
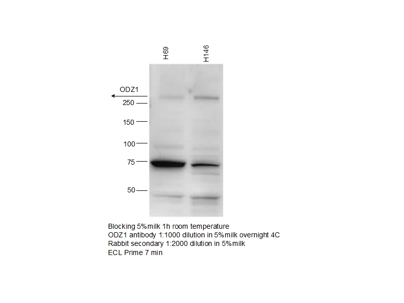
| Positive WB detected in | mouse brain tissue, H69/H146 cells, human brain tissue, rat brain tissue |
| Positive IHC detected in | human brain tissue, mouse brain tissue Note: suggested antigen retrieval with TE buffer pH 9.0; (*) Alternatively, antigen retrieval may be performed with citrate buffer pH 6.0 |
推荐稀释比
| 应用 | 推荐稀释比 |
|---|---|
| Western Blot (WB) | WB : 1:500-1:2000 |
| Immunohistochemistry (IHC) | IHC : 1:50-1:500 |
| It is recommended that this reagent should be titrated in each testing system to obtain optimal results. | |
| Sample-dependent, Check data in validation data gallery. | |
发表文章中的应用
| WB | See 2 publications below |
产品信息
21696-1-AP targets Teneurin 1 in WB, IHC, ELISA applications and shows reactivity with human, mouse, rat samples.
| 经测试应用 | WB, IHC, ELISA Application Description |
| 文献引用应用 | WB |
| 经测试反应性 | human, mouse, rat |
| 文献引用反应性 | human |
| 免疫原 |
CatNo: Ag16289 Product name: Recombinant human ODZ1 protein Source: e coli.-derived, PGEX-4T Tag: GST Domain: 1-280 aa of BC140783 Sequence: MEQTDCKPYQPLPKVKHEMDLAYTSSSDESEDGRKPRQSYNSRETLHEYNQELRMNYNSQSRKRKEVEKSTQEMEFCETSHTLCSGYQTDMHSVSRHGYQLEMGSDVDTETEGAASPDHALRMWIRGMKSEHSSCLSSRANSALSLTDTDHERKSDGENGFKFSPVCCDMEAQAGSTQDVQSSPHNQFTFRPLPPPPPPPHACTCARKPPPAADSLQRRSMTTRSQPSPAAPAPPTSTQDSVHLHNSWVLNSNIPLETRHFLFKHGSGSSAIFSAASQNY 种属同源性预测 |
| 宿主/亚型 | Rabbit / IgG |
| 抗体类别 | Polyclonal |
| 产品类型 | Antibody |
| 全称 | odz, odd Oz/ten-m homolog 1(Drosophila) |
| 别名 | ODZ1, ODZ3, Protein Odd Oz/ten m homolog 1, Ten 1, TEN M1, Tenascin M1, Teneurin 1, Teneurin-1, TNM, TNM1 |
| 计算分子量 | 2732 aa, 306 kDa |
| 观测分子量 | 305 kDa |
| GenBank蛋白编号 | BC140783 |
| 基因名称 | Teneurin 1 |
| Gene ID (NCBI) | 10178 |
| RRID | AB_10858625 |
| 偶联类型 | Unconjugated |
| 形式 | Liquid |
| 纯化方式 | Antigen affinity purification |
| UNIPROT ID | Q9UKZ4 |
| 储存缓冲液 | PBS with 0.02% sodium azide and 50% glycerol, pH 7.3. |
| 储存条件 | Store at -20°C. Stable for one year after shipment. Aliquoting is unnecessary for -20oC storage. |
背景介绍
ODZ1 (also known as teneurin-1, TENM1), which plays a key role in central nervous system ontogenesis. ODZ1 is upregulated in Glioblastoma cells through a Stat3-mediated pathway activated by IL-6, which is released by tumor-associated monocytes. In addition, a hypoxic microenvironment regulates GBM tumor cell migration in part by inducing ODZ1 through hypomethylation of a CpG island in the ODZ1 promoter.
实验方案
| Product Specific Protocols | |
|---|---|
| IHC protocol for Teneurin 1 antibody 21696-1-AP | Download protocol |
| WB protocol for Teneurin 1 antibody 21696-1-AP | Download protocol |
| Standard Protocols | |
|---|---|
| Click here to view our Standard Protocols |
发表文章
| Species | Application | Title |
|---|---|---|
Nature The Cancer Cell Line Encyclopedia enables predictive modelling of anticancer drug sensitivity. | ||
Genet Res (Camb) Impact of Extracellular Matrix-Related Genes on the Tumor Microenvironment and Prognostic Indicators in Esophageal Cancer: A Comprehensive Analytical Study |







