验证数据展示
经过测试的应用
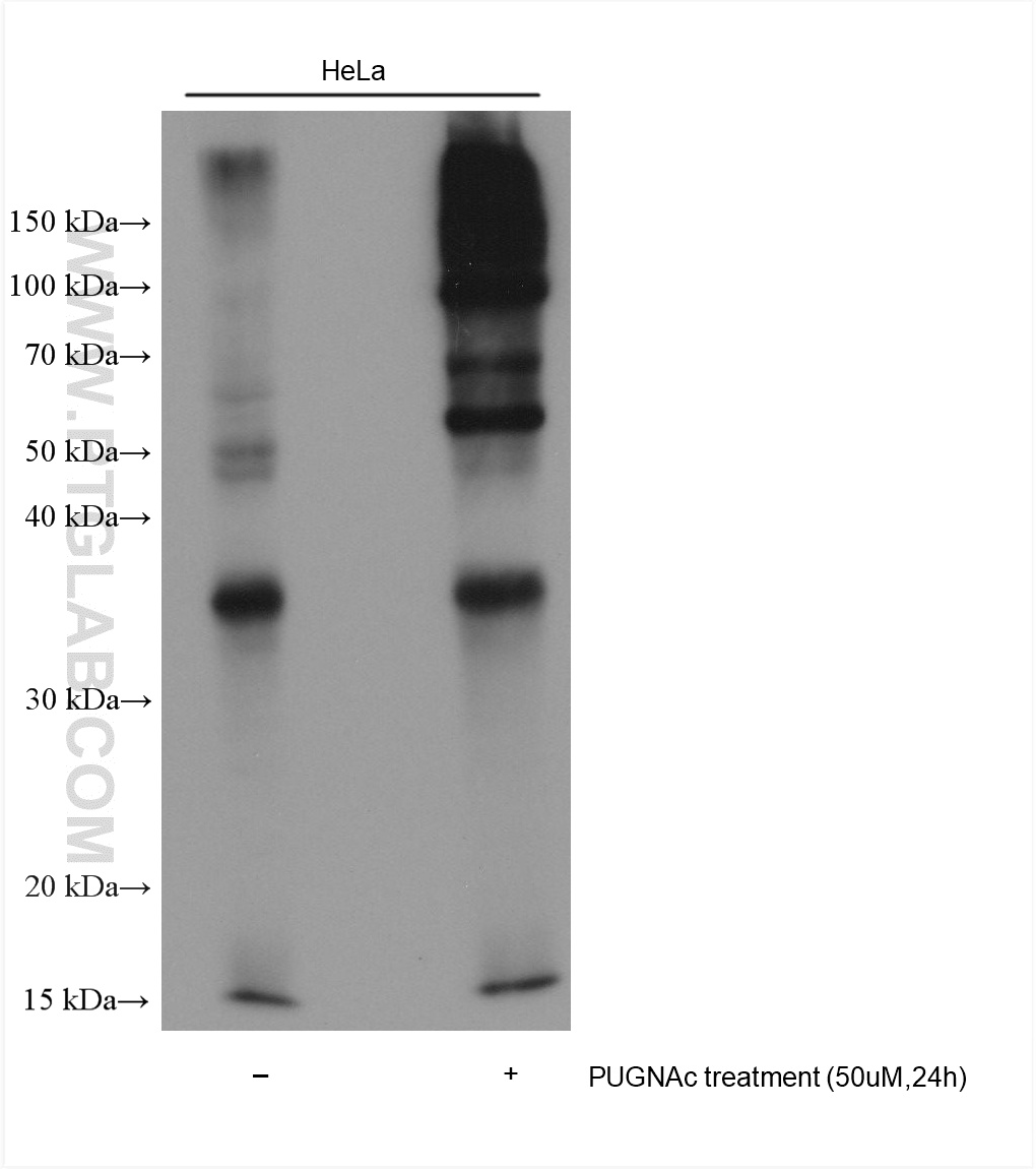
| Positive WB detected in | HeLa cells |
For this antibody, it is recommended to use BSA as the blocking agent, avoiding using milk in the blocking or dilution buffers.
推荐稀释比
| 应用 | 推荐稀释比 |
|---|---|
| Western Blot (WB) | WB : 1:5000-1:50000 |
| It is recommended that this reagent should be titrated in each testing system to obtain optimal results. | |
| Sample-dependent, Check data in validation data gallery. | |
产品信息
65292-1-Ig targets O-GlcNAc in WB, IHC, IP applications and shows reactivity with n/a samples.
| 经测试应用 | WB Application Description |
| 文献引用应用 | WB, IHC, IP |
| 经测试反应性 | n/a |
| 文献引用反应性 | human, mouse, rat |
| 免疫原 |
N/A 种属同源性预测 |
| 宿主/亚型 | Mouse / IgM |
| 抗体类别 | Monoclonal |
| 产品类型 | Antibody |
| 全称 | O-GlcNAc |
| 别名 | glycosylation, O Glc, O-Glc, O-glycosylation, O-linked GlcNAc |
| 基因名称 | |
| Gene ID (NCBI) | |
| RRID | AB_3670285 |
| 偶联类型 | Unconjugated |
| 形式 | Liquid |
| 纯化方式 | Thiophilic affinity chromatograph |
| 储存缓冲液 | PBS with 0.09% sodium azide, pH 7.3. |
| 储存条件 | Store at 2-8°C. Stable for one year after shipment. |
背景介绍
O-GlcNAc (O-linked β-N-acetylgulcosamine) is a post-translational modification of serine and threonine residues in proteins. O-GlcNAc modification is abundant in all multicellular eukaryotes, exclusively found on nuclear and cytoplasmic proteins rather than membrane proteins and secretory proteins (PMID: 11269319; 10924527). O-GlcNAc is attached to the protein backbone by enzymatic addition of the N-acetylgulcosamine (GlcNAc) moiety of uridine 5′-diphospho (UDP)-GlcNAc to the hydroxyl oxygen of serines or threonines by the O-linked β-N-acetylgulcosamine transferase (OGT). O-GlcNAc glycosylated proteins can be reversibly deglycosylated by β-D-N-acetylgulcosaminase (O-GlcNAcase) (PMID: 21526146). O-GlcNAc modification couples many biological processes and plays important roles in development, normal physiology and physiopathology (PMID: 32349769).
实验方案
| Product Specific Protocols | |
|---|---|
| WB protocol for O-GlcNAc antibody 65292-1-Ig | Download protocol |
| Standard Protocols | |
|---|---|
| Click here to view our Standard Protocols |
发表文章
| Species | Application | Title |
|---|---|---|
Neurochem Int Thiamet-G ameliorates Parkinson's disease-associated cognitive impairment via increasing O-GlcNAcylation of STING in the microglia. | ||
J Biol Chem Metformin attenuates O-GlcNAc modification to improve renal function via AMPK/mTOR signaling in diabetic nephropathy. | ||
J Cell Mol Med Astragalus Polysaccharide Enhances O-GlcNAcylation Through OGT to Improve Intervertebral Disc Degeneration in Rats. | ||
Cell Death Dis O-GlcNAcylation of YAP1 promotes lung transplant ischemia-reperfusion injury via binding to HIF1α transcription factor and activating autophagy and mitophagy. |
