验证数据展示
经过测试的应用
| Positive WB detected in | mouse brain tissue, rat brain tissue, mouse cerebellum tissue, rat cerebellum tissue |
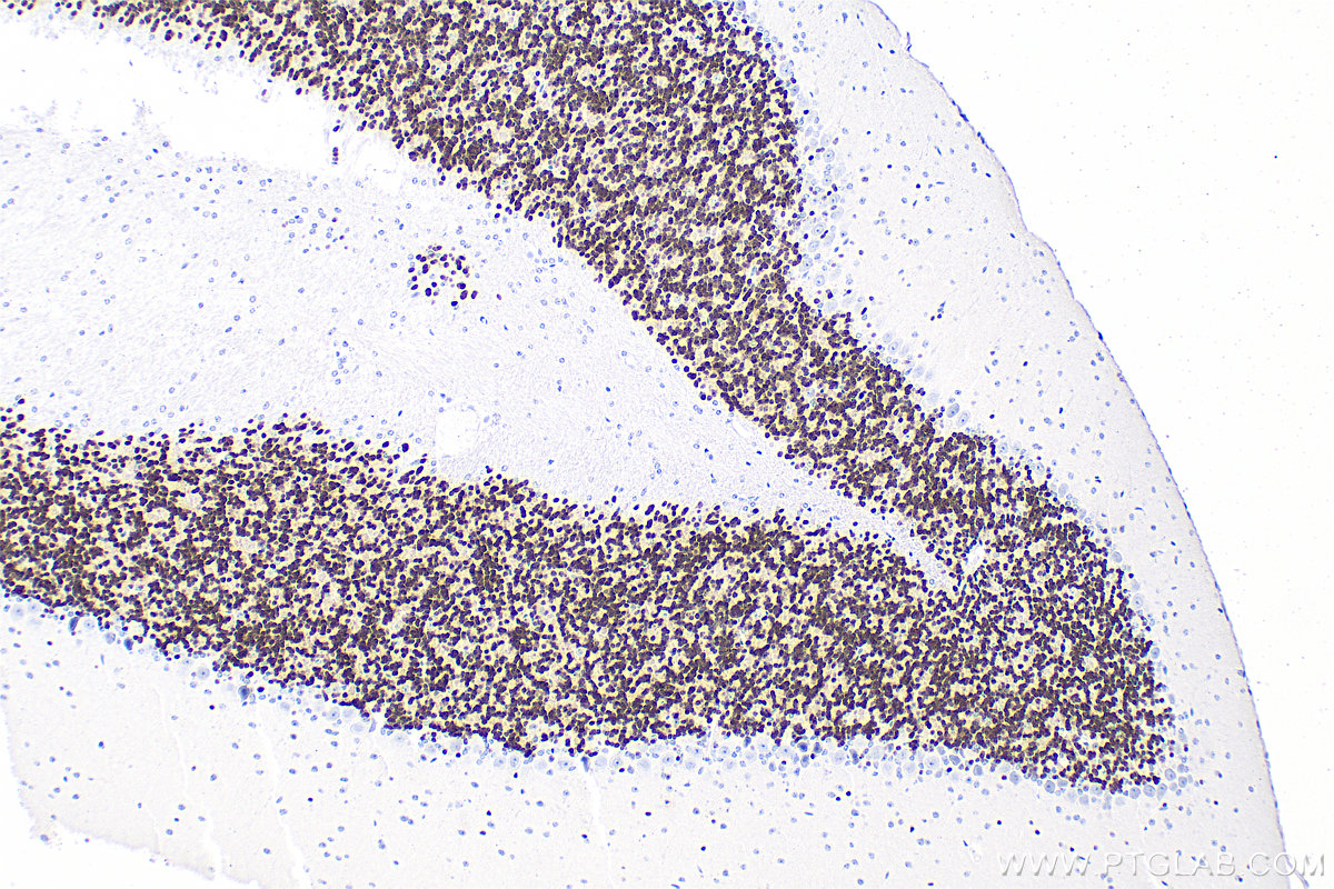
| Positive IHC detected in | mouse cerebellum tissue, rat cerebellum tissue Note: suggested antigen retrieval with TE buffer pH 9.0; (*) Alternatively, antigen retrieval may be performed with citrate buffer pH 6.0 |
| Positive IF-P detected in | rat brain tissue, rat cerebellum tissue, mouse cerebellum tissue |
| Positive IF-Fro detected in | mouse brain tissue |
| Positive FC (Intra) detected in | U-87 MG cells |
推荐稀释比
| 应用 | 推荐稀释比 |
|---|---|
| Western Blot (WB) | WB : 1:20000-1:100000 |
| Immunohistochemistry (IHC) | IHC : 1:3000-1:12000 |
| Immunofluorescence (IF)-P | IF-P : 1:200-1:800 |
| Immunofluorescence (IF)-FRO | IF-FRO : 1:50-1:500 |
| Flow Cytometry (FC) (INTRA) | FC (INTRA) : 0.20 ug per 10^6 cells in a 100 µl suspension |
| It is recommended that this reagent should be titrated in each testing system to obtain optimal results. | |
| Sample-dependent, Check data in validation data gallery. | |
产品信息
26975-1-AP targets NeuN in WB, IHC, IF-P, IF-Fro, FC (Intra), Dot blot, ELISA applications and shows reactivity with human, mouse, rat, pig samples.
| 经测试应用 | WB, IHC, IF-P, IF-Fro, FC (Intra), ELISA Application Description |
| 文献引用应用 | WB, IHC, IF, Dot blot |
| 经测试反应性 | human, mouse, rat, pig |
| 文献引用反应性 | human, mouse, rat, pig, monkey, zebrafish |
| 免疫原 |
CatNo: Ag25689 Product name: Recombinant human NeuN protein Source: e coli.-derived, PGEX-4T Tag: GST Domain: 1-100 aa of NM_001082575 Sequence: MAQPYPPAQYPPPPQNGIPAEYAPPPPHPTQDYSGQTPVPTEHGMTLYTPAQTHPEQPGSEASTQPIAGTQTVPQTDEAAQTDSQPLHPSDPTEKQQPKR 种属同源性预测 |
| 宿主/亚型 | Rabbit / IgG |
| 抗体类别 | Polyclonal |
| 产品类型 | Antibody |
| 全称 | hexaribonucleotide binding protein 3 |
| 别名 | Fox-1 homolog C, FOX3, HRNBP3, NeuN antigen, Neuronal nuclei antigen |
| 观测分子量 | 46-52 kDa |
| GenBank蛋白编号 | NM_001082575 |
| 基因名称 | NeuN |
| Gene ID (NCBI) | 146713 |
| RRID | AB_2880708 |
| 偶联类型 | Unconjugated |
| 形式 | Liquid |
| 纯化方式 | Antigen affinity purification |
| UNIPROT ID | A6NFN3 |
| 储存缓冲液 | PBS with 0.02% sodium azide and 50% glycerol, pH 7.3. |
| 储存条件 | Store at -20°C. Stable for one year after shipment. Aliquoting is unnecessary for -20oC storage. |
背景介绍
Function
NeuN, also known as FOX3 or RBFOX3, belongs to a family of tissue-specific splicing regulators and is involved in neural circuitry balance, as well as neurogenesis and synaptogenesis (PMID: 26619789).
Tissue specificity
NeuN is exclusively present in post-mitotic neurons and is absent from neural progenitors, oligodendrocytes, astrocytes, and glia (PMID: 1483388).
Involvement in disease
· NeuN cytoplasmic localization is increased in the neurons of patients with HIV-associated neurocognitive disorders (PMID: 24215932).
Isoforms
There are 4 isoforms of NeuN, migrating in the 45-50 kDa range (PMID: 21747913).
Post-translational modifications
Currently not known.
Cellular localization
NeuN predominantly localizes to the nucleus but can also be present in the cytoplasm. Isoforms of NeuN differ in their cytoplasmic/nucleus localization (PMID: 21747913).
实验方案
| Product Specific Protocols | |
|---|---|
| IF protocol for NeuN antibody 26975-1-AP | Download protocol |
| IHC protocol for NeuN antibody 26975-1-AP | Download protocol |
| WB protocol for NeuN antibody 26975-1-AP | Download protocol |
| Standard Protocols | |
|---|---|
| Click here to view our Standard Protocols |
发表文章
| Species | Application | Title |
|---|---|---|
Immunity Fate mapping of Spp1 expression reveals age-dependent plasticity of disease-associated microglia-like cells after brain injury | ||
Brain Behav Immun Egln3 expression in microglia enhances the neuroinflammatory responses in Alzheimer's disease | ||
Adv Sci (Weinh) GPR37 Activation Alleviates Bone Cancer Pain via the Inhibition of Osteoclastogenesis and Neuronal Hyperexcitability | ||
Neuron Astrocytic ApoE reprograms neuronal cholesterol metabolism and histone-acetylation-mediated memory. | ||
Sci Adv CGG repeat RNA G-quadruplexes interact with FMRpolyG to cause neuronal dysfunction in fragile X-related tremor/ataxia syndrome. | ||
Cell Death Differ Redox regulation of TRIM28 facilitates neuronal ferroptosis by promoting SUMOylation and inhibiting OPTN-selective autophagic degradation of ACSL4 |














