验证数据展示
经过测试的应用
| Positive WB detected in | human placenta tissue, A2780 cells |
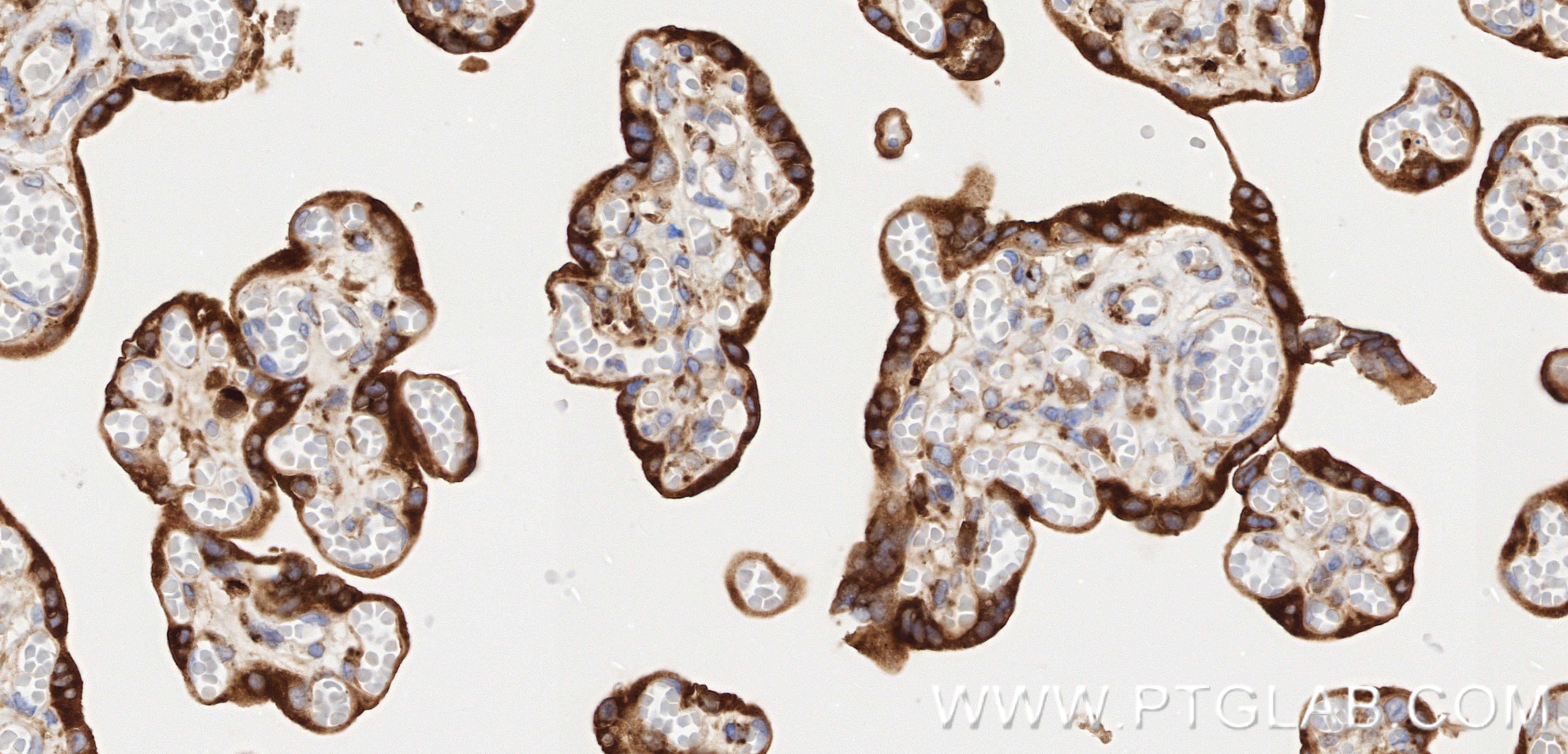
| Positive IHC detected in | human placenta tissue Note: suggested antigen retrieval with TE buffer pH 9.0; (*) Alternatively, antigen retrieval may be performed with citrate buffer pH 6.0 |
推荐稀释比
| 应用 | 推荐稀释比 |
|---|---|
| Western Blot (WB) | WB : 1:5000-1:50000 |
| Immunohistochemistry (IHC) | IHC : 1:500-1:2000 |
| It is recommended that this reagent should be titrated in each testing system to obtain optimal results. | |
| Sample-dependent, Check data in validation data gallery. | |
产品信息
83223-6-RR targets Nectin-4/PVRL4 in WB, IHC, ELISA applications and shows reactivity with human samples.
| 经测试应用 | WB, IHC, ELISA Application Description |
| 经测试反应性 | human |
| 免疫原 |
CatNo: Eg0415 Product name: Recombinant human nectin 4 protein Source: mammalian cells-derived, pHZ-KIsec-C-6*HIS Tag: C-6*HIS Domain: 32-349 aa of BC010423 Sequence: GELETSDVVTVVLGQDAKLPCFYRGDSGEQVGQVAWARVDAGEGAQELALLHSKYGLHVSPAYEGRVEQPPPPRNPLDGSVLLRNAVQADEGEYECRVSTFPAGSFQARLRLRVLVPPLPSLNPGPALEEGQGLTLAASCTAEGSPAPSVTWDTEVKGTTSSRSFKHSRSAAVTSEFHLVPSRSMNGQPLTCVVSHPGLLQDQRITHILHVSFLAEASVRGLEDQNLWHIGREGAMLKCLSEGQPPPSYNWTRLDGPLPSGVRVDGDTLGFPPLTTEHSGIYVCHVSNEFSSRDSQVTVDVLDPQEDSGKQVDLVSAS 种属同源性预测 |
| 宿主/亚型 | Rabbit / IgG |
| 抗体类别 | Recombinant |
| 产品类型 | Antibody |
| 全称 | poliovirus receptor-related 4 |
| 别名 | Nectin-4, PVRL4, 240009E2, Ig superfamily receptor LNIR, LNIR |
| 计算分子量 | 510 aa, 55 kDa |
| 观测分子量 | 66 kDa |
| GenBank蛋白编号 | BC010423 |
| 基因名称 | Nectin-4 |
| Gene ID (NCBI) | 81607 |
| RRID | AB_3670908 |
| 偶联类型 | Unconjugated |
| 形式 | Liquid |
| 纯化方式 | Protein A purfication |
| UNIPROT ID | Q96NY8 |
| 储存缓冲液 | PBS with 0.02% sodium azide and 50% glycerol, pH 7.3. |
| 储存条件 | Store at -20°C. Stable for one year after shipment. Aliquoting is unnecessary for -20oC storage. |
背景介绍
Nectin-4, also known as PVRL4, is a type-I transmembrane glycoprotein that belongs to the nectin subfamily of immunoglobulin-like adhesion molecules that participate in Ca(2+)-independent cell-cell adhesion (PMID: 18703497). The extracellular domain of Nectin-4, which contains three immunoglobulin-like domains (V and two C2-type domains, VCC), can be proteolytically cleaved to release a soluble form. Nectin-4 interacts with afadin via its carboxyl-terminal cytoplasmic sequence and trans-interacts with nectin-1/PRR1 through V domain interaction (PMID: 11544254). It acts as a receptor for measles virus (PMID: 22048310). Nectin-4 is overexpressed in multiple human malignancies and the aberrant expression is correlated with cancer progression and poor prognostic (PMID: 35131876). Nectin-4 can be detected as a soluble form of 43 kDa and a transmembrane form of 66 kDa (PMID: 15784625).
实验方案
| Product Specific Protocols | |
|---|---|
| IHC protocol for Nectin-4/PVRL4 antibody 83223-6-RR | Download protocol |
| WB protocol for Nectin-4/PVRL4 antibody 83223-6-RR | Download protocol |
| Standard Protocols | |
|---|---|
| Click here to view our Standard Protocols |


