验证数据展示
经过测试的应用
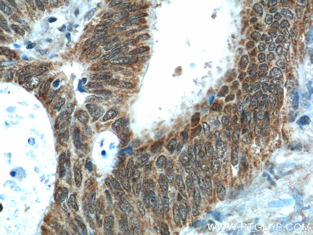
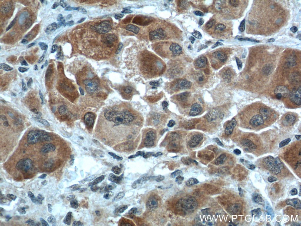
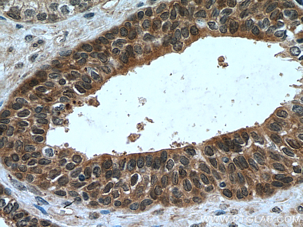
| Positive IHC detected in | human colon cancer tissue, human prostate cancer tissue, human liver cancer tissue Note: suggested antigen retrieval with TE buffer pH 9.0; (*) Alternatively, antigen retrieval may be performed with citrate buffer pH 6.0 |
推荐稀释比
| 应用 | 推荐稀释比 |
|---|---|
| Immunohistochemistry (IHC) | IHC : 1:20-1:200 |
| It is recommended that this reagent should be titrated in each testing system to obtain optimal results. | |
| Sample-dependent, Check data in validation data gallery. | |
产品信息
15056-1-AP targets NUPR1 in WB, IHC, IF, CoIP, ELISA applications and shows reactivity with human samples.
| 经测试应用 | IHC, ELISA Application Description |
| 文献引用应用 | WB, IHC, IF, CoIP |
| 经测试反应性 | human |
| 文献引用反应性 | human, mouse, rat |
| 免疫原 |
CatNo: Ag7039 Product name: Recombinant human NUPR1 protein Source: e coli.-derived, PGEX-4T Tag: GST Domain: 1-82 aa of BC002434 Sequence: MATFPPATSAPQQPPGPEDEDSSLDESDLYSLAHSYLGGGGRKGRTKREAAANTNRPSPGGHERKLVTKLQNSERKKRGARR 种属同源性预测 |
| 宿主/亚型 | Rabbit / IgG |
| 抗体类别 | Polyclonal |
| 产品类型 | Antibody |
| 全称 | nuclear protein 1 |
| 别名 | NUPR 1, Nuclear protein 1, COM1 |
| 计算分子量 | 8 kDa |
| GenBank蛋白编号 | BC002434 |
| 基因名称 | NUPR1 |
| Gene ID (NCBI) | 26471 |
| RRID | AB_2878104 |
| 偶联类型 | Unconjugated |
| 形式 | Liquid |
| 纯化方式 | Antigen affinity purification |
| UNIPROT ID | O60356 |
| 储存缓冲液 | PBS with 0.02% sodium azide and 50% glycerol, pH 7.3. |
| 储存条件 | Store at -20°C. Stable for one year after shipment. Aliquoting is unnecessary for -20oC storage. |
背景介绍
NUPR1, also named as COM1 and P8, is a small nuclear protein that is responsive to various stress stimuli. NUPR1 can be induced by hypoxia, oxidative stress, while the expression is low in physiological condition. It is associated with chemoresistance in multiple malignancies. The predicted MW of NUPR1 is 8 kDa and we also detectet bands around 17 and 38 kDa, which are similar to the papers(PMID: 29130426, 27336713, 28694771, 22961798). NUPR1 was also found in a complex with ANXA2, TRIM21, YBX1, S100A9, HSPA8, HSPA9, HSPA4, HSPA5, and ESR1, suggesting that these proteins might play a role in its functional regulation (PMID: 33542201), and it can also form a complex with PADI4 and plays crucial functions in modulating DNA-repair, favoring metastasis, or facilitating citrullination of other proteins (PMID: 36858171).
实验方案
| Product Specific Protocols | |
|---|---|
| IHC protocol for NUPR1 antibody 15056-1-AP | Download protocol |
| Standard Protocols | |
|---|---|
| Click here to view our Standard Protocols |
发表文章
| Species | Application | Title |
|---|---|---|
BMC Med NUPR1 contributes to radiation resistance by maintaining ROS homeostasis via AhR/CYP signal axis in hepatocellular carcinoma
| ||
J Cell Physiol Mechanistic study of NUPR1 in bladder cancer development through transcriptional regulation of CCR2 | ||
J Inorg Biochem Chronic nickel exposure alters extracellular vesicles to mediate cancer progression via sustained NUPR1 expression
| ||
Discov Oncol ATF4/NUPR1 axis promotes cancer cell survival and mediates immunosuppression in clear cell renal cell carcinoma | ||
Pathol Res Pract NUPR1 induces autophagy and promotes the progression of Esophageal squamous cell carcinoma via the MAPK-mTOR pathway | ||
PLoS One Adenomatous Polyposis Coli loss controls cell cycle regulators and response to paclitaxel in MDA-MB-157 metaplastic breast cancer cells. |





