验证数据展示
经过测试的应用
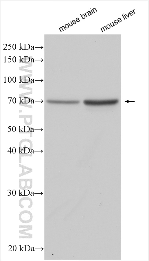
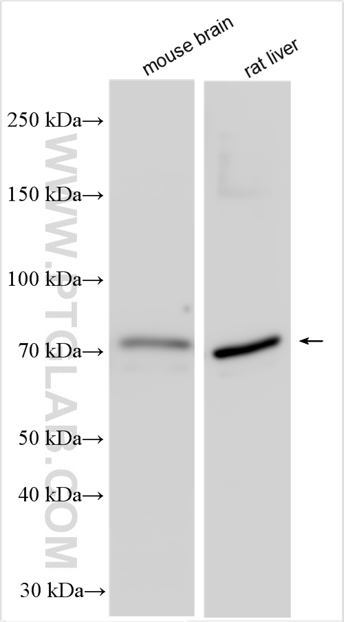
| Positive WB detected in | mouse brain tissue, mouse liver tissue, rat liver tissue |
推荐稀释比
| 应用 | 推荐稀释比 |
|---|---|
| Western Blot (WB) | WB : 1:500-1:2000 |
| It is recommended that this reagent should be titrated in each testing system to obtain optimal results. | |
| Sample-dependent, Check data in validation data gallery. | |
产品信息
30158-1-AP targets NUP85 in WB, ELISA applications and shows reactivity with Human, mouse, rat samples.
| 经测试应用 | WB, ELISA Application Description |
| 经测试反应性 | Human, mouse, rat |
| 免疫原 |
CatNo: Ag33004 Product name: Recombinant human Pericentrin protein Source: e coli.-derived, PGEX-4T Tag: GST Domain: 200-350 aa of BC000697 Sequence: VTILVLQGRLDEARQMLSKEADASPASAGICRIMGDLMRTMPILSPGNTQTLTELELKWQHWHEECERYLQDSTFATSPHLESLLKIMLGDEAALLEQKELLSNWYHFLVTRLLYSNPTVKPIDLHYYAQSSLDLFLGGESSPEPLDNILL 种属同源性预测 |
| 宿主/亚型 | Rabbit / IgG |
| 抗体类别 | Polyclonal |
| 产品类型 | Antibody |
| 全称 | nucleoporin 85kDa |
| 别名 | 85 kDa nucleoporin, FLJ12549, FROUNT, nucleoporin 85kDa, Nucleoporin Nup75, Nucleoporin Nup85, Nup75, NUP85 |
| 计算分子量 | 75 kDa |
| 观测分子量 | 70 kDa |
| GenBank蛋白编号 | BC000697 |
| 基因名称 | NUP85 |
| Gene ID (NCBI) | 79902 |
| RRID | AB_3086251 |
| 偶联类型 | Unconjugated |
| 形式 | Liquid |
| 纯化方式 | Antigen affinity purification |
| UNIPROT ID | Q9BW27 |
| 储存缓冲液 | PBS with 0.02% sodium azide and 50% glycerol, pH 7.3. |
| 储存条件 | Store at -20°C. Stable for one year after shipment. Aliquoting is unnecessary for -20oC storage. |
背景介绍
Nucleoporin 85 (Nup85) (also known as FROUNT) is a protein that in humans is encoded by the NUP85 gene. This gene encodes a protein component of the Nup107-160 subunit of the nuclear pore complex. Nuclear pore complexes are embedded in the nuclear envelope and promote bidirectional transport of macromolecules between the cytoplasm and nucleus. The encoded protein can also bind to the C-terminus of chemokine (C-C motif) receptor 2 (CCR2) and promote chemotaxis of monocytes, thereby participating in the inflammatory response.
实验方案
| Product Specific Protocols | |
|---|---|
| WB protocol for NUP85 antibody 30158-1-AP | Download protocol |
| Standard Protocols | |
|---|---|
| Click here to view our Standard Protocols |

