验证数据展示
经过测试的应用
| Positive WB detected in | Jurkat cells | 
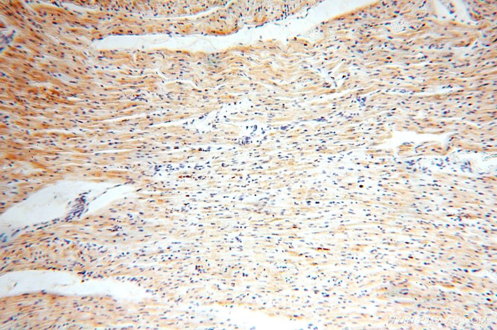
| Positive IHC detected in | human colon cancer tissue, human heart tissue,  human kidney tissue,  human skin tissue,  mouse heart tissue,  human liver tissue,  human spleen tissue,  human ovary tissue Note: suggested antigen retrieval with TE buffer pH 9.0; (*) Alternatively, antigen retrieval may be performed with citrate buffer pH 6.0 | 
推荐稀释比
| 应用 | 推荐稀释比 | 
|---|---|
| Western Blot (WB) | WB : 1:1000-1:6000 | 
| Immunohistochemistry (IHC) | IHC : 1:50-1:500 | 
| It is recommended that this reagent should be titrated in each testing system to obtain optimal results. | |
| Sample-dependent, Check data in validation data gallery. | |
产品信息
16098-1-AP targets NUDT8 in WB, IHC, ELISA applications and shows reactivity with human, mouse, rat samples.
| 经测试应用 | WB, IHC, ELISA Application Description | 
| 经测试反应性 | human, mouse, rat | 
| 免疫原 | CatNo: Ag8945 Product name: Recombinant human NUDT8 protein Source: e coli.-derived, PGEX-4T Tag: GST Domain: 1-141 aa of BC018644 Sequence: MLPDCLSAEGELRCRRLLAGATARLRARPASAAVLVPLCSVRGVPALLYTLRSSRLTGRHKGDVSFPGGKCDPADQDVVHTALRETREELGLAVPEEHVWGLLRPVYDPQKATVVPVLAGVGPLDPQSLRPNSEEVSWGI种属同源性预测 | 
| 宿主/亚型 | Rabbit / IgG | 
| 抗体类别 | Polyclonal | 
| 产品类型 | Antibody | 
| 全称 | nudix (nucleoside diphosphate linked moiety X)-type motif 8 | 
| 别名 | EC:3.6.1.-, Mitochondrial coenzyme A diphosphatase NUDT8, Nucleoside diphosphate-linked moiety X motif 8, Nudix motif 8 | 
| 计算分子量 | 236 aa, 25 kDa | 
| 观测分子量 | 25 kDa | 
| GenBank蛋白编号 | BC018644 | 
| 基因名称 | NUDT8 | 
| Gene ID (NCBI) | 254552 | 
| RRID | AB_2154132 | 
| 偶联类型 | Unconjugated | 
| 形式 | Liquid | 
| 纯化方式 | Antigen affinity purification | 
| UNIPROT ID | Q8WV74 | 
| 储存缓冲液 | PBS with 0.02% sodium azide and 50% glycerol, pH 7.3. | 
| 储存条件 | Store at -20°C. Stable for one year after shipment. Aliquoting is unnecessary for -20oC storage. | 
背景介绍
NUDT8 belongs to the Nudix hydrolase family, which is involved in intracellular metabolic processes, especially related to the decomposition and degradation of nucleotides. NUDT8 is a novel CoA diphosphohydrolase that localizes to the mitochondria and is broadly expressed in mitochondria-rich organs such as the heart, kidneys, liver, and brown adipose tissue(PMID: 31004344).
实验方案
| Product Specific Protocols | |
|---|---|
| IHC protocol for NUDT8 antibody 16098-1-AP | Download protocol | 
| WB protocol for NUDT8 antibody 16098-1-AP | Download protocol | 
| Standard Protocols | |
|---|---|
| Click here to view our Standard Protocols | 



















