验证数据展示
经过测试的应用
| Positive WB detected in | HeLa cells, Jurkat cells, U2OS cells |
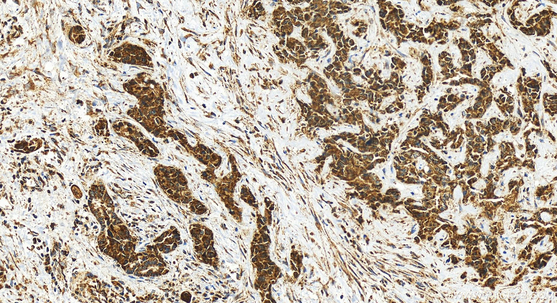
| Positive IHC detected in | human intrahepatic cholangiocarcinoma tissue Note: suggested antigen retrieval with TE buffer pH 9.0; (*) Alternatively, antigen retrieval may be performed with citrate buffer pH 6.0 |
推荐稀释比
| 应用 | 推荐稀释比 |
|---|---|
| Western Blot (WB) | WB : 1:5000-1:50000 |
| Immunohistochemistry (IHC) | IHC : 1:50-1:500 |
| It is recommended that this reagent should be titrated in each testing system to obtain optimal results. | |
| Sample-dependent, Check data in validation data gallery. | |
产品信息
19407-1-AP targets NSMAF in WB, IHC, ELISA applications and shows reactivity with human samples.
| 经测试应用 | WB, IHC, ELISA Application Description |
| 经测试反应性 | human |
| 免疫原 |
CatNo: Ag5730 Product name: Recombinant human NSMAF protein Source: e coli.-derived, PET28a Tag: 6*His Domain: 568-917 aa of BC041124 Sequence: FVTPHPRRITPKFKSLSQTSSYNASMADSPGEESFEDLTEESKTLAWNNITKLQLHEHYKIHKEAVTGITVSRNGSSVFTTSQDSTLKMFSKESKMLQRSISFSNMALSSCLLLPGDATVITSSWDNNVYFYSIAFGRRQDTLMGHDDAVSKICWHDNRLYSASWDSTVKVWSGVPAEMPGTKRHHFDLLAELEHDVSVDTISLNAASTLLVSGTKEGTVNIWDLTTATLMHQIPCHSGIVCDTAFSPDSRHVLSTGTDGCLNVIDVQTGMLISSMTSDEPQRCFVWDGNSVLSGSQSGELLVWDLLGAKISERIQGHTGAVTCIWMNEQCSSIITGGEDRQIIFWKLQY 种属同源性预测 |
| 宿主/亚型 | Rabbit / IgG |
| 抗体类别 | Polyclonal |
| 产品类型 | Antibody |
| 全称 | neutral sphingomyelinase (N-SMase) activation associated factor |
| 别名 | Protein FAN, FAN, Factor associated with N-SMase activation |
| 计算分子量 | 104 kDa |
| 观测分子量 | 100-104 kDa |
| GenBank蛋白编号 | BC041124 |
| 基因名称 | NSMAF |
| Gene ID (NCBI) | 8439 |
| RRID | AB_3085576 |
| 偶联类型 | Unconjugated |
| 形式 | Liquid |
| 纯化方式 | Antigen affinity purification |
| UNIPROT ID | Q92636 |
| 储存缓冲液 | PBS with 0.02% sodium azide and 50% glycerol, pH 7.3. |
| 储存条件 | Store at -20°C. Stable for one year after shipment. Aliquoting is unnecessary for -20oC storage. |
背景介绍
NSMAF is a WD-repeat protein that binds the cytoplasmic sphingomyelinase activation domain of the 55kD tumor necrosis factor receptor. This protein is required for TNF-mediated activation of neutral sphingomyelinase and may play a role in regulating TNF-induced cellular responses such as inflammation.
实验方案
| Product Specific Protocols | |
|---|---|
| IHC protocol for NSMAF antibody 19407-1-AP | Download protocol |
| WB protocol for NSMAF antibody 19407-1-AP | Download protocol |
| Standard Protocols | |
|---|---|
| Click here to view our Standard Protocols |



