验证数据展示
经过测试的应用
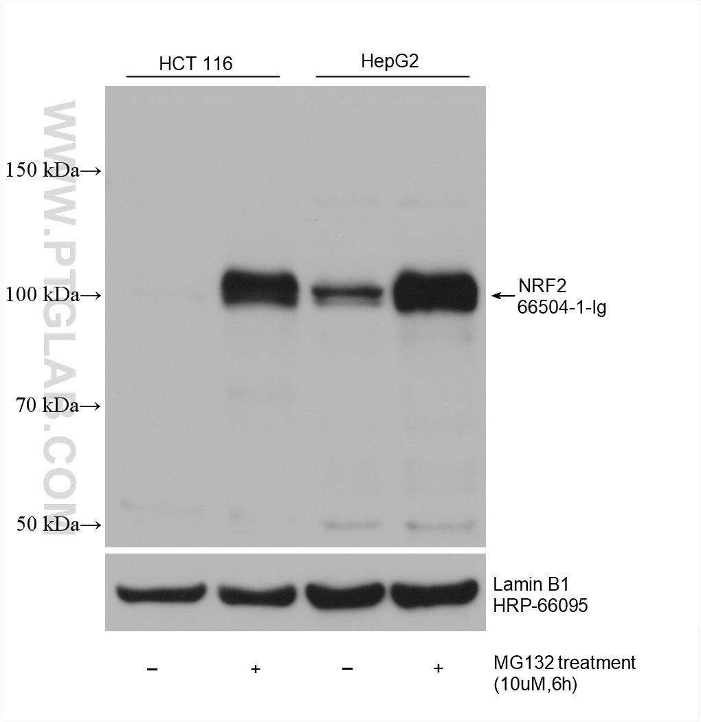
| Positive WB detected in | MG132 treated HCT 116 cells, MG132 treated NIH/3T3 cells, MG132 treated HepG2 cells |
推荐稀释比
| 应用 | 推荐稀释比 |
|---|---|
| Western Blot (WB) | WB : 1:5000-1:50000 |
| It is recommended that this reagent should be titrated in each testing system to obtain optimal results. | |
| Sample-dependent, Check data in validation data gallery. | |
产品信息
66504-1-Ig targets NRF2, NFE2L2 in WB, IHC, IF, IP, CoIP, ChIP, ELISA applications and shows reactivity with human, mouse samples.
| 经测试应用 | WB, ELISA Application Description |
| 文献引用应用 | WB, IHC, IF, IP, CoIP, ChIP |
| 经测试反应性 | human, mouse |
| 文献引用反应性 | human, mouse, rat, pig, zebrafish |
| 免疫原 |
CatNo: Ag9469 Product name: Recombinant human NRF2, NFE2L2 protein Source: e coli.-derived, PET28a Tag: 6*His Domain: 256-605 aa of BC011558 Sequence: SILSTEDPNQLTVNSLNSDATVNTDFGDEFYSAFIAEPSISNSMPSPATLSHSLSELLNGPIDVSDLSLCKAFNQNHPESTAEFNDSDSGISLNTSPSVASPEHSVESSSYGDTLLGLSDSEVEELDSAPGSVKQNGPKTPVHSSGDMVQPLSPSQGQSTHVHDAQCENTPEKELPVSPGHRKTPFTKDKHSSRLEAHLTRDELRAKALHIPFPVEKIINLPVVDFNEMMSKEQFNEAQLALIRDIRRRGKNKVAAQNCRKRKLENIVELEQDLDHLKDEKEKLLKEKGENDKSLHLLKKQLSTLYLEVFSMLRDEDGKPYSPSEYSLQQTRDGNVFLVPKSKKPDVKKN 种属同源性预测 |
| 宿主/亚型 | Mouse / IgG2b |
| 抗体类别 | Monoclonal |
| 产品类型 | Antibody |
| 全称 | nuclear factor (erythroid-derived 2)-like 2 |
| 别名 | NFE2L2, NRF2, 1E9E3, HEBP1, NF-E2-related factor 2 |
| 计算分子量 | 605 aa, 68 kDa |
| 观测分子量 | 110 kDa |
| GenBank蛋白编号 | BC011558 |
| 基因名称 | NRF2 |
| Gene ID (NCBI) | 4780 |
| RRID | AB_2881867 |
| 偶联类型 | Unconjugated |
| 形式 | Liquid |
| 纯化方式 | Protein A purification |
| UNIPROT ID | Q16236 |
| 储存缓冲液 | PBS with 0.02% sodium azide and 50% glycerol, pH 7.3. |
| 储存条件 | Store at -20°C. Stable for one year after shipment. Aliquoting is unnecessary for -20oC storage. |
背景介绍
NRF2, also named as NFE2L2, belongs to the bZIP family and CNC subfamily. It is a transcription activator that binds to antioxidant response (ARE) elements in the promoter regions of target genes. NRF2 is important for the coordinated up-regulation of genes in response to oxidative stress. It may be involved in the transcriptional activation of genes of the beta-globin cluster by mediating enhancer activity of hypersensitive site 2 of the beta-globin locus control region. Nrf2 is a key player in the regulation of genes encoding for many antioxidative response enzymes.The expression of NRF2 may be induced under oxidative stress (PMID:14567983).In lung cancer, Nrf2 activation in malignant cells has been associated with tumor progression and chemotherapy resistance(PMID:20534738). Identifying patients with abnormal NRF2 expression may be important for selection for chemotherapy in NSCLC. As new investigators break into the emerging field of Nrf2 research, confusion regarding the correct migratory pattern of Nrf2 is causing doubts about the accuracy and reproducibility of published results. This letter provides solid evidence that the actually observed molecular weight of Nrf2 is about 70kDa and 95-110 kDa. (PMID: 22703241).
实验方案
| Product Specific Protocols | |
|---|---|
| WB protocol for NRF2, NFE2L2 antibody 66504-1-Ig | Download protocol |
| Standard Protocols | |
|---|---|
| Click here to view our Standard Protocols |
发表文章
| Species | Application | Title |
|---|---|---|
J Clin Invest FAM117B promotes gastric cancer growth and drug resistance by targeting the KEAP1/NRF2 signaling pathway | ||
Nat Commun Pyridoxine induces glutathione synthesis via PKM2-mediated Nrf2 transactivation and confers neuroprotection. | ||
Aging Cell Lysyl oxidase-like 2 inhibitor rescues D-galactose-induced skeletal muscle fibrosis. | ||
Redox Biol Inhibition of STAT3-ferroptosis negative regulatory axis suppresses tumor growth and alleviates chemoresistance in gastric cancer. | ||
Cell Rep Targeting CXCR1 alleviates hyperoxia-induced lung injury through promoting glutamine metabolism | ||
Phytomedicine Tiliroside targets TBK1 to induce ferroptosis and sensitize hepatocellular carcinoma to sorafenib
|

