验证数据展示
产品信息
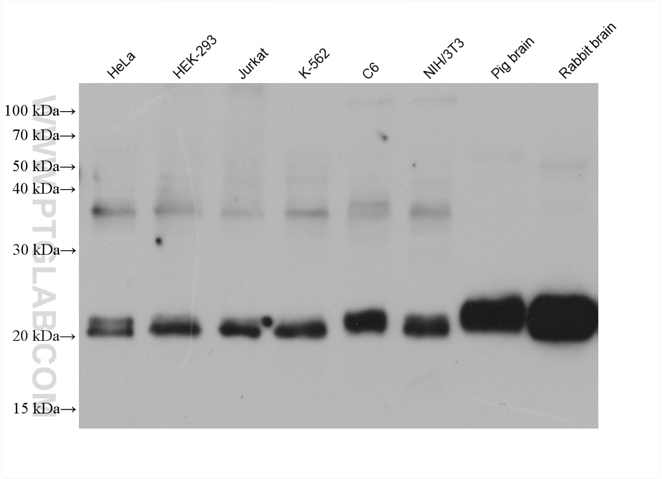
60934-3-PBS targets NRAS in WB, Indirect ELISA applications and shows reactivity with human, mouse, rat, pig, rabbit samples.
| 经测试应用 | WB, Indirect ELISA Application Description |
| 经测试反应性 | human, mouse, rat, pig, rabbit |
| 免疫原 |
CatNo: Ag29746 Product name: Recombinant human NRAS protein Source: e coli.-derived, PET28a Tag: 6*His Domain: 1-189 aa of BC005219 Sequence: MTEYKLVVVGAGGVGKSALTIQLIQNHFVDEYDPTIEDSYRKQVVIDGETCLLDILDTAGQEEYSAMRDQYMRTGEGFLCVFAINNSKSFADINLYREQIKRVKDSDDVPMVLVGNKCDLPTRTVDTKQAHELAKSYGIPFIETSAKTRQGVEDAFYTLVREIRQYRMKKLNSSDDGTQGCMGLPCVVM 种属同源性预测 |
| 宿主/亚型 | Mouse / IgG2a |
| 抗体类别 | Monoclonal |
| 产品类型 | Antibody |
| 全称 | neuroblastoma RAS viral (v-ras) oncogene homolog |
| 别名 | HRAS1, EC:3.6.5.2, GTPase NRas, N ras, NRAS1 |
| 计算分子量 | 21 kDa |
| 观测分子量 | 21 kDa |
| GenBank蛋白编号 | BC005219 |
| 基因名称 | NRAS |
| Gene ID (NCBI) | 4893 |
| 偶联类型 | Unconjugated |
| 形式 | Liquid |
| 纯化方式 | Protein A purification |
| UNIPROT ID | P01111 |
| 储存缓冲液 | PBS only, pH 7.3. |
| 储存条件 | Store at -80°C. The product is shipped with ice packs. Upon receipt, store it immediately at -80°C |
背景介绍
NRAS, also named as N-ras and NRAS1, is neuroblastoma RAS viral (v-ras) oncogene homolog from the mammalian ras gene family and it is a member of the small GTPase superfamily. RAS proteins are involved in signal transduction pathways, and bind GDP/GTP and possess intrinsic GTPase activity. It is mapped on chromosome 1, and it is activated in HL60, a promyelocytic leukemia line. Defects in NRAS are a cause of juvenile myelomonocytic leukemia (JMML).
