验证数据展示
经过测试的应用
| Positive WB detected in | mouse kidney tissue, HEK-293 cells, HeLa cells |
| Positive IP detected in | HEK-293 cells |
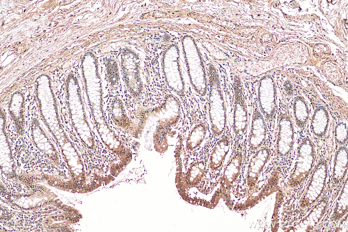
| Positive IHC detected in | human kidney tissue, human colon tissue, mouse kidney tissue Note: suggested antigen retrieval with TE buffer pH 9.0; (*) Alternatively, antigen retrieval may be performed with citrate buffer pH 6.0 |
| Positive IF/ICC detected in | HepG2 cells, HEK-293 cells |
推荐稀释比
| 应用 | 推荐稀释比 |
|---|---|
| Western Blot (WB) | WB : 1:1000-1:8000 |
| Immunoprecipitation (IP) | IP : 0.5-4.0 ug for 1.0-3.0 mg of total protein lysate |
| Immunohistochemistry (IHC) | IHC : 1:50-1:500 |
| Immunofluorescence (IF)/ICC | IF/ICC : 1:200-1:800 |
| It is recommended that this reagent should be titrated in each testing system to obtain optimal results. | |
| Sample-dependent, Check data in validation data gallery. | |
产品信息
21854-1-AP targets NR3C2 in WB, IHC, IF/ICC, IP, chIP, ELISA applications and shows reactivity with human, mouse samples.
| 经测试应用 | WB, IHC, IF/ICC, IP, ELISA Application Description |
| 文献引用应用 | WB, IHC, IF, chIP |
| 经测试反应性 | human, mouse |
| 文献引用反应性 | human, mouse, rat, monkey |
| 免疫原 |
CatNo: Ag16410 Product name: Recombinant human NR3C2 protein Source: e coli.-derived, PGEX-4T Tag: GST Domain: 1-350 aa of BC111758 Sequence: METKGYHSLPEGLDMERRWGQVSQAVERSSLGPTERTDENNYMEIVNVSCVSGAIPNNSTQGSSKEKQELLPCLQQDNNRPGILTSDIKTELESKELSATVAESMGLYMDSVRDADYSYEQQNQQGSMSPAKIYQNVEQLVKFYKGNGHRPSTLSCVNTPLRSFMSDSGSSVNGGVMRAIVKSPIMCHEKSPSVCSPLNMTSSVCSPAGINSVSSTTASFGSFPVHSPITQGTPLTCSPNVENRGSRSHSPAHASNVGSPLSSPLSSMKSSISSPPSHCSVKSPVSSPNNVTLRSSVSSPANINNSRCSVSSPSNTNNRSTLSSPAASTVGSICSPVNNAFSYTASGTSA 种属同源性预测 |
| 宿主/亚型 | Rabbit / IgG |
| 抗体类别 | Polyclonal |
| 产品类型 | Antibody |
| 全称 | nuclear receptor subfamily 3, group C, member 2 |
| 别名 | MCR, MLR, MR |
| 计算分子量 | 984 aa, 107 kDa |
| 观测分子量 | 94-110 kDa |
| GenBank蛋白编号 | BC111758 |
| 基因名称 | NR3C2 |
| Gene ID (NCBI) | 4306 |
| RRID | AB_10858785 |
| 偶联类型 | Unconjugated |
| 形式 | Liquid |
| 纯化方式 | Antigen affinity purification |
| UNIPROT ID | P08235 |
| 储存缓冲液 | PBS with 0.02% sodium azide and 50% glycerol, pH 7.3. |
| 储存条件 | Store at -20°C. Stable for one year after shipment. Aliquoting is unnecessary for -20oC storage. |
背景介绍
Nuclear receptor subfamily 3 group C member 2 (NR3C2), also known as Mineralocorticoid receptor (MCR or MR), is a member of the steroid/thyroid /retinoic nuclear hormone receptor superfamily that has been shown to activate gene transcription in response to aldosterone binding. Regulation of the mineralocorticoid receptors occurs through either receptor down-regulation (negative autoregulation) or hormone-mediated upregulation (positive autoregulation). MCR association with HSP 90 appears to be required for hormone binding to MCR and subsequent MCR activation.
实验方案
| Product Specific Protocols | |
|---|---|
| IF protocol for NR3C2 antibody 21854-1-AP | Download protocol |
| IHC protocol for NR3C2 antibody 21854-1-AP | Download protocol |
| IP protocol for NR3C2 antibody 21854-1-AP | Download protocol |
| WB protocol for NR3C2 antibody 21854-1-AP | Download protocol |
| Standard Protocols | |
|---|---|
| Click here to view our Standard Protocols |
发表文章
| Species | Application | Title |
|---|---|---|
EMBO Rep High salt activates p97 to reduce host antiviral immunity by restricting Viperin induction. | ||
Inflamm Res Aldosterone induces renal lymphangiogenesis through macrophage-lymphatic endothelial cell transformation and Inhibition by esaxerenone | ||
Oncotarget Impact of prenatal cold stress on placental physiology, inflammatory response, and apoptosis in rats. | ||
Int Immunopharmacol UUO induces lung fibrosis with macrophage-myofibroblast transition in rats. | ||
Behav Brain Res Possible mechanisms of prenatal cold stress induced-anxiety-like behavior depression in offspring rats. |











