验证数据展示
经过测试的应用
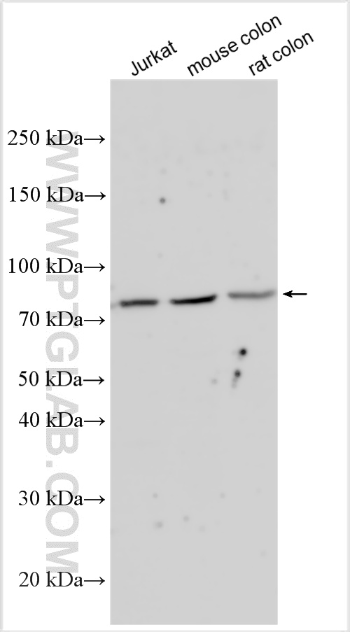
| Positive WB detected in | Jurkat cells, HeLa cells, mouse colon tissue, rat colon tissue |
| Positive IF/ICC detected in | PC-3 cells |
推荐稀释比
| 应用 | 推荐稀释比 |
|---|---|
| Western Blot (WB) | WB : 1:500-1:2000 |
| Immunofluorescence (IF)/ICC | IF/ICC : 1:200-1:800 |
| It is recommended that this reagent should be titrated in each testing system to obtain optimal results. | |
| Sample-dependent, Check data in validation data gallery. | |
发表文章中的应用
| KD/KO | See 1 publications below |
| WB | See 5 publications below |
| IHC | See 2 publications below |
产品信息
13906-1-AP targets NR1D2 in WB, IHC, IF/ICC, ELISA applications and shows reactivity with human, mouse, rat samples.
| 经测试应用 | WB, IF/ICC, ELISA Application Description |
| 文献引用应用 | WB, IHC |
| 经测试反应性 | human, mouse, rat |
| 文献引用反应性 | human, mouse, rat |
| 免疫原 |
CatNo: Ag4881 Product name: Recombinant human NR1D2 protein Source: e coli.-derived, PGEX-4T Tag: GST Domain: 1-351 aa of BC045613 Sequence: MEVNAGGVIAYISSSSSASSHASCHSEGSENSFQSSSSSVPSSPNSSNSDTNGNPKNGDLANIEGILKNDRIDCSMKTSKSSAPGMTKSHSGVTKFSGMVLLCKVCGDVASGFHYGVHACEGCKGFFRRSIQQNIQYKKCLKNENCSIMRMNRNRCQQCRFKKCLSVGMSRDAVRFGRIPKREKQRMLIEMQSAMKTMMNSQFSGHLQNDTLVEHHEQTALPAQEQLRPKPQLEQENIKSSSPPSSDFAKEEVIGMVTRAHKDTFMYNQEQQENSAESMQPKRGERIRKNMEQYNLNHDHCGNGLSSHFPCSESQQHLNGQFKGRNIMHYPNGHAICIANGHCMNFSNAYT 种属同源性预测 |
| 宿主/亚型 | Rabbit / IgG |
| 抗体类别 | Polyclonal |
| 产品类型 | Antibody |
| 全称 | nuclear receptor subfamily 1, group D, member 2 |
| 别名 | BD73, EAR 1R, EAR-1R, Rev erb beta, Rev-erb alpha-related receptor |
| 计算分子量 | 579 aa, 65 kDa |
| 观测分子量 | 70 kDa |
| GenBank蛋白编号 | BC045613 |
| 基因名称 | NR1D2 |
| Gene ID (NCBI) | 9975 |
| RRID | AB_2877986 |
| 偶联类型 | Unconjugated |
| 形式 | Liquid |
| 纯化方式 | Antigen affinity purification |
| UNIPROT ID | Q14995 |
| 储存缓冲液 | PBS with 0.02% sodium azide and 50% glycerol, pH 7.3. |
| 储存条件 | Store at -20°C. Stable for one year after shipment. Aliquoting is unnecessary for -20oC storage. |
背景介绍
NR1D2 (Nuclear Receptor Subfamily 1 Group D Member 2), also known as Rev-erbβ, is a nuclear receptor that functions as a heme-dependent transcriptional repressor and plays a critical role in regulating circadian rhythms and metabolic homeostasis. As an integral component of the circadian clock, NR1D2 forms a negative feedback loop by repressing the expression of core clock genes such as BMAL1 and CLOCK. It exerts its repressive function by binding to specific DNA response elements and recruiting corepressor complexes like NCOR1/HDAC3. Beyond its role in circadian regulation, NR1D2 is involved in lipid and energy metabolism, inflammatory responses, and mitochondrial function. The protein is widely expressed in tissues such as skeletal muscle, brown adipose tissue, and the heart, where it helps coordinate physiological processes with the daily light-dark cycle.
实验方案
| Product Specific Protocols | |
|---|---|
| IF protocol for NR1D2 antibody 13906-1-AP | Download protocol |
| WB protocol for NR1D2 antibody 13906-1-AP | Download protocol |
| Standard Protocols | |
|---|---|
| Click here to view our Standard Protocols |
发表文章
| Species | Application | Title |
|---|---|---|
Am J Physiol Heart Circ Physiol Differential effects of REV-ERBα/β agonism on cardiac gene expression, metabolism, and contractile function in a mouse model of circadian disruption. | ||
Xenobiotica Identification of rhythmic human CYPs and their circadian regulators using synchronized hepatoma cells. | ||
Cell Death Dis SR9009 inhibits lethal prostate cancer subtype 1 by regulating the LXRα/FOXM1 pathway independently of REV-ERBs
| ||
NPJ Biofilms Microbiomes Alleviation of Limosilactobacillus reuteri in polycystic ovary syndrome protects against circadian dysrhythmia-induced dyslipidemia via capric acid and GALR1 signaling | ||
J Biomed Sci Secretome from estrogen-responding human placenta-derived mesenchymal stem cells rescues ovarian function and circadian rhythm in mice with cyclophosphamide-induced primary ovarian insufficiency |




