验证数据展示
经过测试的应用
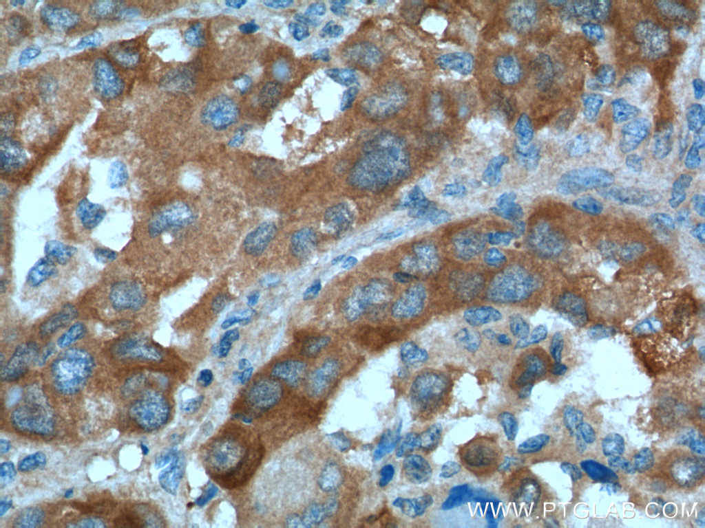
| Positive IHC detected in | human kidney tissue, human liver cancer tissue Note: suggested antigen retrieval with TE buffer pH 9.0; (*) Alternatively, antigen retrieval may be performed with citrate buffer pH 6.0 |
推荐稀释比
| 应用 | 推荐稀释比 |
|---|---|
| Immunohistochemistry (IHC) | IHC : 1:100-1:400 |
| It is recommended that this reagent should be titrated in each testing system to obtain optimal results. | |
| Sample-dependent, Check data in validation data gallery. | |
产品信息
26706-1-AP targets NPRC/NPR3 in WB, IHC, IF, ELISA applications and shows reactivity with human samples.
| 经测试应用 | IHC, ELISA Application Description |
| 文献引用应用 | WB, IHC, IF |
| 经测试反应性 | human |
| 文献引用反应性 | human |
| 免疫原 |
CatNo: Ag19071 Product name: Recombinant human NPR3 protein Source: e coli.-derived, PET28a Tag: 6*His Domain: 48-378 aa of BC131540 Sequence: LPPQKIEVLVLLPQDDSYLFSLTRVRPAIEYALRSVEGNGTGRRLLPPGTRFQVAYEDSDCGNRALFSLVDRVAAARGAKPDLILGPVCEYAAAPVARLASHWDLPMLSAGALAAGFQHKDSEYSHLTRVAPAYAKMGEMMLALFRHHHWSRAALVYSDDKLERNCYFTLEGVHEVFQEEGLHTSIYSFDETKDLDLEDIVRNIQASERVVIMCASSDTIRSIMLVAHRHGMTSGDYAFFNIELFNSSSYGDGSWKRGDKHDFEAKQAYSSLQTVTLLRTVKPEFEKFSMEVKSSVEKQGLNMEDYVNMFVEGFHDAILLYVLALHEVLRA 种属同源性预测 |
| 宿主/亚型 | Rabbit / IgG |
| 抗体类别 | Polyclonal |
| 产品类型 | Antibody |
| 全称 | natriuretic peptide receptor C/guanylate cyclase C (atrionatriuretic peptide receptor C) |
| 别名 | NPR3, ANP C, ANP-C, ANPR C, ANPRC |
| 计算分子量 | 541 aa, 60 kDa |
| GenBank蛋白编号 | BC131540 |
| 基因名称 | NPR3 |
| Gene ID (NCBI) | 4883 |
| RRID | AB_2880607 |
| 偶联类型 | Unconjugated |
| 形式 | Liquid |
| 纯化方式 | Antigen affinity purification |
| UNIPROT ID | P17342 |
| 储存缓冲液 | PBS with 0.02% sodium azide and 50% glycerol, pH 7.3. |
| 储存条件 | Store at -20°C. Stable for one year after shipment. Aliquoting is unnecessary for -20oC storage. |
背景介绍
Natriuretic peptide receptor C/guanylate cyclase C (atrionatriuretic peptide receptor C), also known as NPR3, is an atrial natriuretic peptide receptor. The family of natriuretic peptides elicit a number of vascular, renal, and endocrine effects that are important in the maintenance of blood pressure and extracellular fluid volume. NPR3 has 3 isoforms with MWs of 37~60 kDa produced by alternative splicing.
实验方案
| Product Specific Protocols | |
|---|---|
| IHC protocol for NPRC/NPR3 antibody 26706-1-AP | Download protocol |
| Standard Protocols | |
|---|---|
| Click here to view our Standard Protocols |
发表文章
| Species | Application | Title |
|---|---|---|
Sci Rep A novel immune score model predicting the prognosis and immunotherapy response of breast cancer | ||
Ann Med Construction and validation of renal cell carcinoma tumor cell differentiation-related prognostic classification (RCC-TCDC): an integrated bioinformatic analysis and clinical study | ||
J Inflamm Res A Pan-Cancer Analysis of Natriuretic Peptide Receptor 3 (NPR3) with Clinical Cohort and in vitro Validation.
|



