验证数据展示
经过测试的应用
| Positive WB detected in | rat pancreas tissue, HeLa cells, mouse pancreas tissue |
| Positive IP detected in | mouse pancreas tissue |
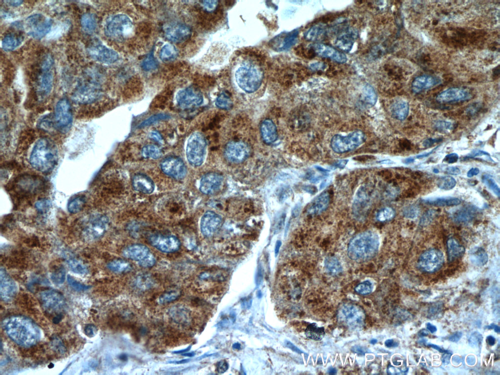
| Positive IHC detected in | human lung cancer tissue, human pancreas tissue, human skeletal muscle tissue Note: suggested antigen retrieval with TE buffer pH 9.0; (*) Alternatively, antigen retrieval may be performed with citrate buffer pH 6.0 |
推荐稀释比
| 应用 | 推荐稀释比 |
|---|---|
| Western Blot (WB) | WB : 1:2000-1:12000 |
| Immunoprecipitation (IP) | IP : 0.5-4.0 ug for 1.0-3.0 mg of total protein lysate |
| Immunohistochemistry (IHC) | IHC : 1:20-1:200 |
| It is recommended that this reagent should be titrated in each testing system to obtain optimal results. | |
| Sample-dependent, Check data in validation data gallery. | |
产品信息
10157-1-AP targets NPRL2 in WB, IHC, IF, IP, CoIP, ELISA applications and shows reactivity with human, mouse samples.
| 经测试应用 | WB, IHC, IP, ELISA Application Description |
| 文献引用应用 | WB, IHC, IF, CoIP |
| 经测试反应性 | human, mouse |
| 文献引用反应性 | human, mouse |
| 免疫原 |
CatNo: Ag0210 Product name: Recombinant human NPR2L,TUSC4 protein Source: e coli.-derived, PGEX-4T Tag: GST Domain: 1-270 aa of BC002791 Sequence: GCRIECIFFSEFHPTLGPKITYQVPEDFISRELFDTVQVYIITKPELQNKLITVTAMEKKLIGCPVCIEHKKYSRNALLFNLGFVCDAQAKTCALEPIVKKLAGYLTTLELESSFVSMEESKQKLVPIMTILLEELNASGRCTLPIDESNTIHLKVIEQRPDPPVAQEYDVPVFTKDKEDFFNSQWDLTTQQILPYIDGFRHIQKISAEADVELNLVRIAIQNLLYYGVVTLVSILQYSNVYCPTPKVQDLVDDKSLQEACLSYVTKQGH 种属同源性预测 |
| 宿主/亚型 | Rabbit / IgG |
| 抗体类别 | Polyclonal |
| 产品类型 | Antibody |
| 全称 | tumor suppressor candidate 4 |
| 别名 | TUSC4, G21 protein, GATOR1 complex protein NPRL2, Gene 21 protein, Nitrogen permease regulator 2-like protein |
| 计算分子量 | 44 kDa |
| 观测分子量 | 40, 44-50 kDa |
| GenBank蛋白编号 | BC002791 |
| 基因名称 | TUSC4 |
| Gene ID (NCBI) | 10641 |
| RRID | AB_514025 |
| 偶联类型 | Unconjugated |
| 形式 | Liquid |
| 纯化方式 | Antigen affinity purification |
| UNIPROT ID | Q8WTW4 |
| 储存缓冲液 | PBS with 0.02% sodium azide and 50% glycerol, pH 7.3. |
| 储存条件 | Store at -20°C. Stable for one year after shipment. Aliquoting is unnecessary for -20oC storage. |
背景介绍
NPRL2 (NPR2 Like, GATOR1 Complex Subunit) is a Protein Coding gene associated with Epilepsy, Familial Focal. As a component of the GATOR1 complex functions as an inhibitor of the amino acid-sensing branch of the TORC1 pathway. Homologous to yeast nitrogen permease (candidate tumor suppressor) (NM_006545, BC021984) gene encodes a protein of molecular mass of 50 kDa. Data by using overlapping and nested homozygous deletions methods indicate that this protein might be a tumor suppressor involved in the development of lung cancers.
实验方案
| Product Specific Protocols | |
|---|---|
| IHC protocol for NPRL2 antibody 10157-1-AP | Download protocol |
| IP protocol for NPRL2 antibody 10157-1-AP | Download protocol |
| WB protocol for NPRL2 antibody 10157-1-AP | Download protocol |
| Standard Protocols | |
|---|---|
| Click here to view our Standard Protocols |
发表文章
| Species | Application | Title |
|---|---|---|
Mol Carcinog Downregulation of nitrogen permease regulator like-2 activates PDK1-AKT1 and contributes to the malignant growth of glioma cells. | ||
Cancer Sci TUSC4/NPRL2, a novel PDK1-interacting protein, inhibits PDK1 tyrosine phosphorylation and its downstream signaling.
| ||
Exp Cell Res NPRL2 reduces the niraparib sensitivity of castration-resistant prostate cancer via interacting with UBE2M and enhancing neddylation. | ||









