验证数据展示
经过测试的应用
| Positive WB detected in | rat kidney tissue |
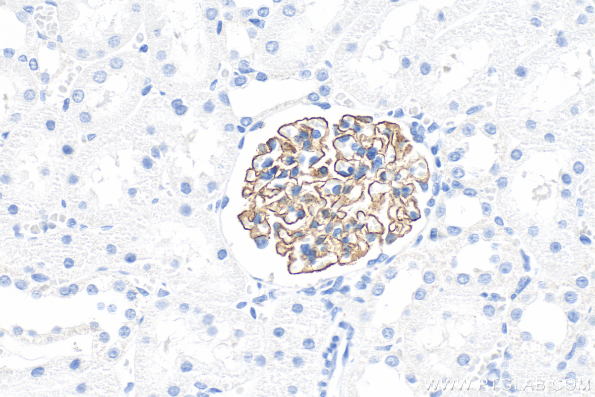
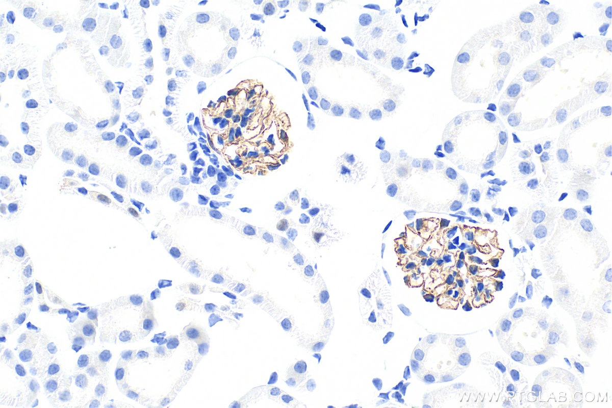
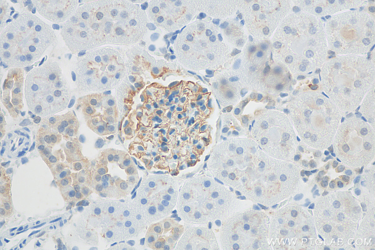
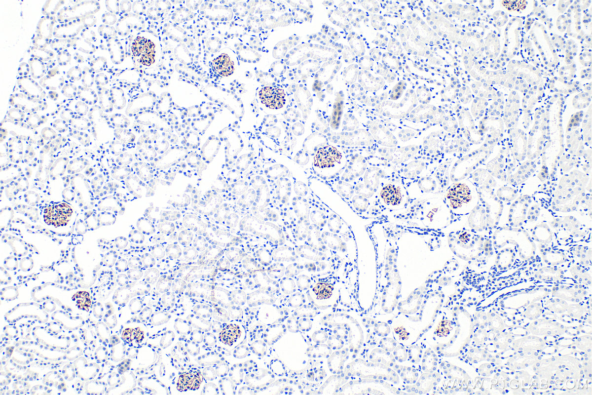
| Positive IHC detected in | rat kidney tissue, mouse kidney tissue Note: suggested antigen retrieval with TE buffer pH 9.0; (*) Alternatively, antigen retrieval may be performed with citrate buffer pH 6.0 |
| Positive IF-P detected in | rat kidney tissue, mouse kidney tissue |
| Positive IF-Fro detected in | mouse kidney tissue |
推荐稀释比
| 应用 | 推荐稀释比 |
|---|---|
| Western Blot (WB) | WB : 1:500-1:1000 |
| Immunohistochemistry (IHC) | IHC : 1:1000-1:4000 |
| Immunofluorescence (IF)-P | IF-P : 1:500-1:2000 |
| Immunofluorescence (IF)-FRO | IF-FRO : 1:50-1:500 |
| It is recommended that this reagent should be titrated in each testing system to obtain optimal results. | |
| Sample-dependent, Check data in validation data gallery. | |
产品信息
20384-1-AP targets NPHS2 in WB, IHC, IF-P, IF-Fro, ELISA applications and shows reactivity with human, mouse, rat samples.
| 经测试应用 | WB, IHC, IF-P, IF-Fro, ELISA Application Description |
| 文献引用应用 | WB, IHC, IF, ELISA |
| 经测试反应性 | human, mouse, rat |
| 文献引用反应性 | human, mouse, rat, rabbit, zebrafish |
| 免疫原 |
CatNo: Ag14213 Product name: Recombinant human NPHS2 protein Source: e coli.-derived, PGEX-4T Tag: GST Domain: 124-315 aa of BC029141 Sequence: CVKVVQEYERVIIFRLGHLLPGRAKGPGLFFFLPCLDTYHKVDLRLQTLEIPFHEVALDSVTCIWGIKVERIEIKDVRLPAGLQHSLAVEAEAQRQAKVRMIAAEAEKAASESLRMAAEILSGTPAAVQLRYLHTLQSLSTEKPSTVVLPLPFDLLNCLSSPSNRTQGSLPFPSPSKPVEPLNPKKKDSPML 种属同源性预测 |
| 宿主/亚型 | Rabbit / IgG |
| 抗体类别 | Polyclonal |
| 产品类型 | Antibody |
| 全称 | nephrosis 2, idiopathic, steroid-resistant (podocin) |
| 别名 | PDCN, Podocin, SRN1 |
| 计算分子量 | 383 aa, 42 kDa |
| 观测分子量 | 42 kDa |
| GenBank蛋白编号 | BC029141 |
| 基因名称 | NPHS2 |
| Gene ID (NCBI) | 7827 |
| RRID | AB_10697662 |
| 偶联类型 | Unconjugated |
| 形式 | Liquid |
| 纯化方式 | Antigen affinity purification |
| UNIPROT ID | Q9NP85 |
| 储存缓冲液 | PBS with 0.02% sodium azide and 50% glycerol, pH 7.3. |
| 储存条件 | Store at -20°C. Stable for one year after shipment. Aliquoting is unnecessary for -20oC storage. |
背景介绍
NPHS2 (also known as Podocin) is a membrane protein located on the podocyte foot process and is the critical component of the glomerular filtration barrier. Mutations of NPHS2 cause recessive steroidresistant nephrotic syndrome. Two isoforms of NPHS2 exist with molecular weights of 42 kDa and 35 kDa, respectively. (PMID: 21499232)
实验方案
| Product Specific Protocols | |
|---|---|
| IF protocol for NPHS2 antibody 20384-1-AP | Download protocol |
| IHC protocol for NPHS2 antibody 20384-1-AP | Download protocol |
| WB protocol for NPHS2 antibody 20384-1-AP | Download protocol |
| Standard Protocols | |
|---|---|
| Click here to view our Standard Protocols |
发表文章
| Species | Application | Title |
|---|---|---|
Kidney Int A small molecule chaperone rescues keratin-8 mediated trafficking of misfolded podocin to correct genetic Nephrotic Syndrome | ||
Phytomedicine Deciphering the pharmacological mechanisms of Rostellularia procumbens (L) Nees. Extract alleviates adriamycin-induced nephropathy in vivo and in vitro | ||
Phytomedicine Wen-Shen-Jian-Pi-Hua-Tan decoction protects against early obesity-related glomerulopathy by improving renal bile acid composition and suppressing lipogenesis, inflammation, and fibrosis | ||
Front Immunol Canagliflozin reverses Th1/Th2 imbalance and promotes podocyte autophagy in rats with membranous nephropathy | ||
Cell Mol Life Sci IPSC-induced podocytes from a BORS patient with EYA1 gene mutation showed glucocorticoid-resistant and cytoskeletal rearrangement | ||









