验证数据展示
经过测试的应用
| Positive WB detected in | HeLa cells, HepG2 cells |
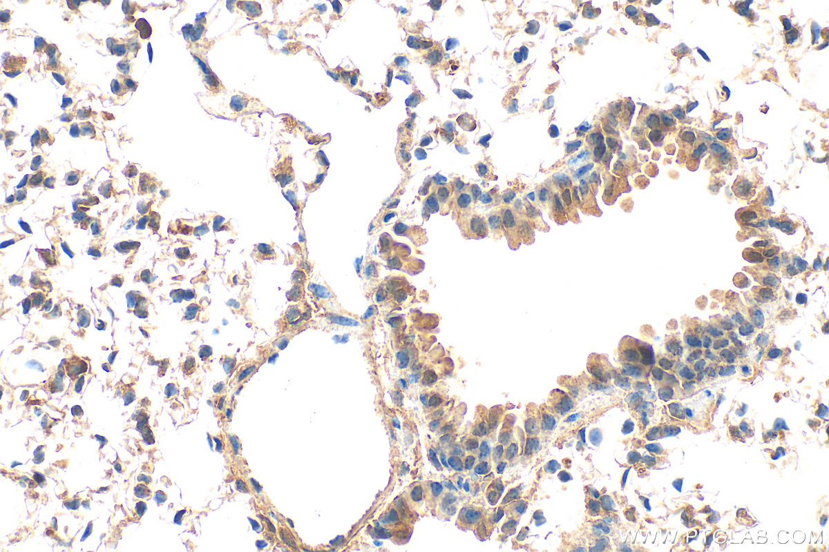
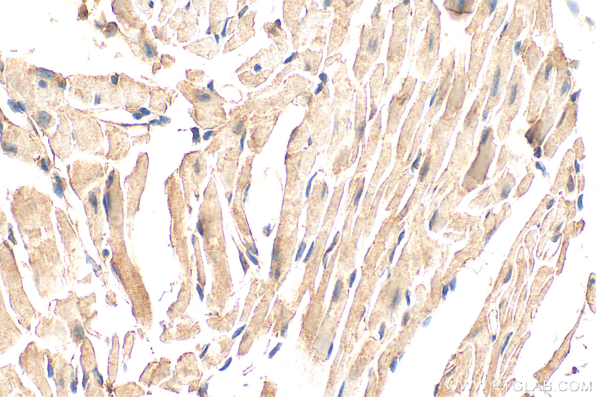
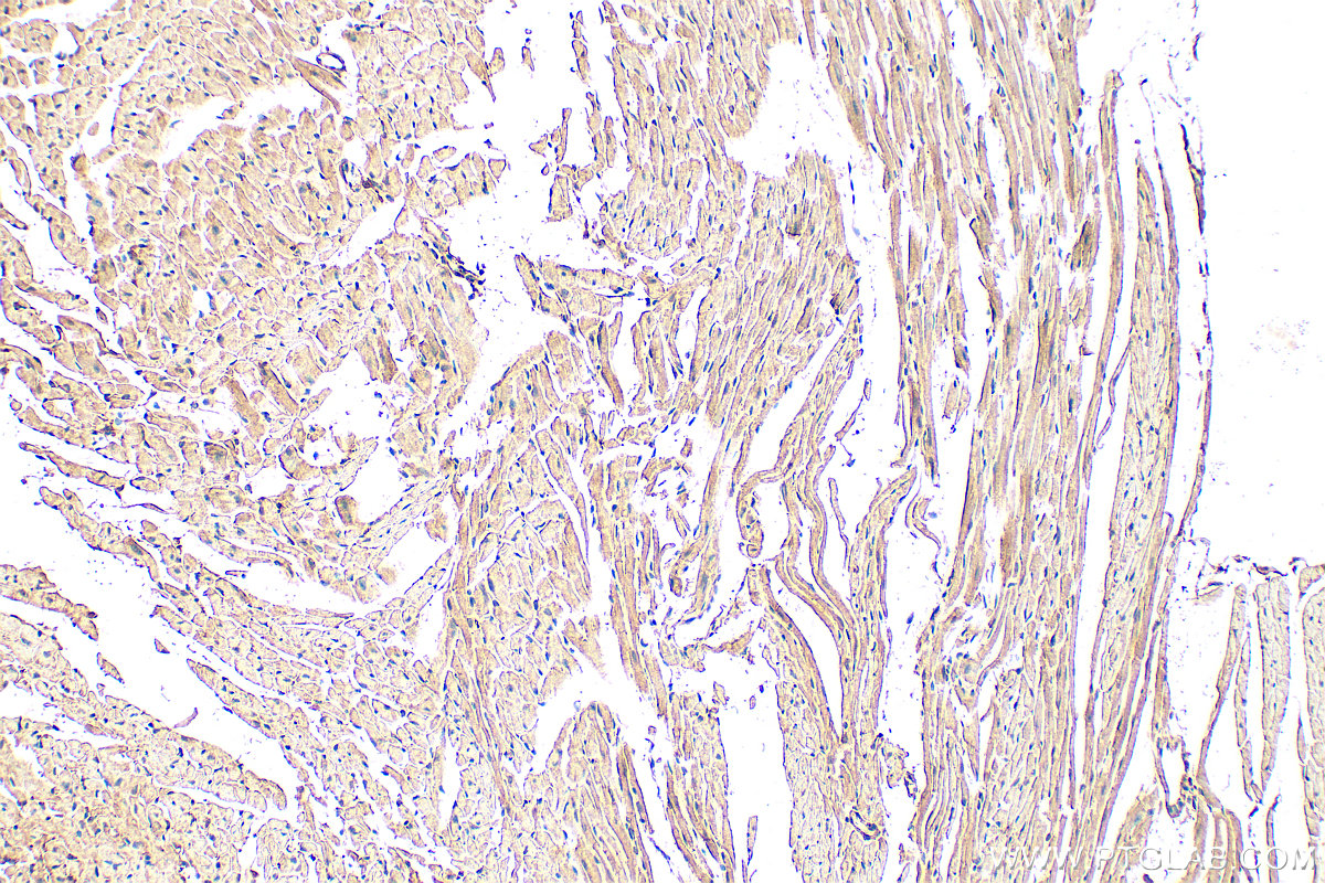
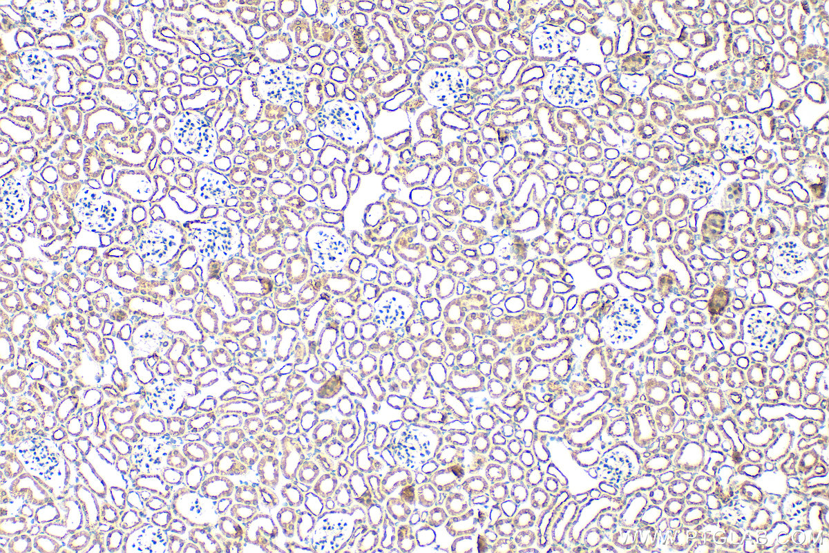
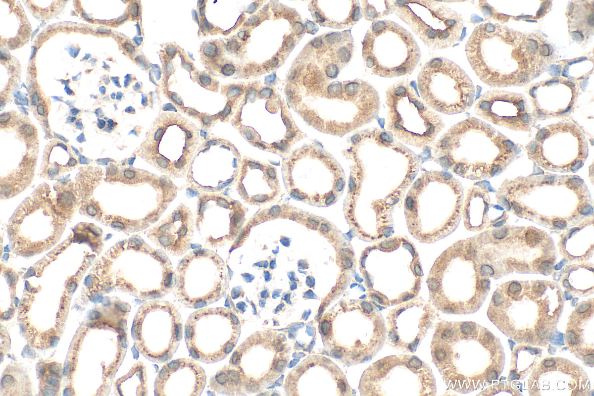
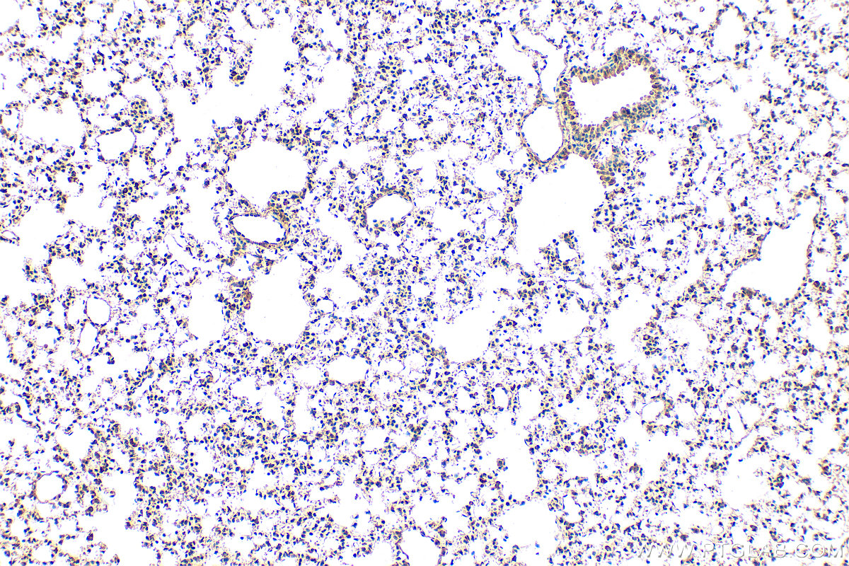
| Positive IHC detected in | mouse lung tissue, mouse heart tissue, mouse kidney tissue Note: suggested antigen retrieval with TE buffer pH 9.0; (*) Alternatively, antigen retrieval may be performed with citrate buffer pH 6.0 |
推荐稀释比
| 应用 | 推荐稀释比 |
|---|---|
| Western Blot (WB) | WB : 1:500-1:2000 |
| Immunohistochemistry (IHC) | IHC : 1:50-1:500 |
| It is recommended that this reagent should be titrated in each testing system to obtain optimal results. | |
| Sample-dependent, Check data in validation data gallery. | |
产品信息
33280-1-AP targets NOTCH4 in WB, IHC, ELISA applications and shows reactivity with human, mouse samples.
| 经测试应用 | WB, IHC, ELISA Application Description |
| 经测试反应性 | human, mouse |
| 免疫原 |
CatNo: Ag36738 Product name: Recombinant human NOTCH4 protein Source: e coli.-derived, PET28a Tag: 6*His Domain: 309-648 aa of BC140782 Sequence: DCSEDVDECETQGPPHCRNGGTCQNSAGSFHCVCVSGWGGTSCEENLDDCIAATCAPGSTCIDRVGSFSCLCPPGRTGLLCHLEDMCLSQPCHGDAQCSTNPLTGSTLCLCQPGYSGPTCHQDLDECLMAQQGPSPCEHGGSCLNTPGSFNCLCPPGYTGSRCEADHNECLSQPCHPGSTCLDLLATFHCLCPPGLEGQLCEVETNECASAPCLNHADCHDLLNGFQCICLPGFSGTRCEEDIDECRSSPCANGGQCQDQPGAFHCKCLPGFEGPRCQTEVDECLSDPCPVGASCLDLPGAFFCLCPSGFTGQLCEVPLCAPNLCQPKQICKDQKDKANC 种属同源性预测 |
| 宿主/亚型 | Rabbit / IgG |
| 抗体类别 | Polyclonal |
| 产品类型 | Antibody |
| 全称 | Notch homolog 4 (Drosophila) |
| 别名 | hNotch4, INT3, Notch 4, Notch 4 extracellular truncation, Notch 4 intracellular domain |
| 计算分子量 | 2003 aa, 210 kDa |
| 观测分子量 | 210 kDa |
| GenBank蛋白编号 | BC140782 |
| 基因名称 | NOTCH4 |
| Gene ID (NCBI) | 4855 |
| 偶联类型 | Unconjugated |
| 形式 | Liquid |
| 纯化方式 | Antigen affinity Purification |
| UNIPROT ID | Q99466 |
| 储存缓冲液 | PBS with 0.02% sodium azide and 50% glycerol, pH 7.3. |
| 储存条件 | Store at -20°C. Stable for one year after shipment. Aliquoting is unnecessary for -20oC storage. |
背景介绍
Neurogenic locus notch homolog protein 4 (NOTCH4) is a receptor involved in the Notch signaling pathway, which is synthesized as a precursor that undergoes proteolytic cleavage to form an active receptor. NOTCH4 interacts with various ligands, leading to the release of the Notch intracellular domain (NICD), which translocates to the nucleus and regulates gene expression (PMID: 28794168; 19379690; 17148788). NOTCH4 is involved in various biological processes, including embryonic development, immune cell differentiation, and tumorigenesis (PMID: 24667410; 34925319).
实验方案
| Product Specific Protocols | |
|---|---|
| IHC protocol for NOTCH4 antibody 33280-1-AP | Download protocol |
| WB protocol for NOTCH4 antibody 33280-1-AP | Download protocol |
| Standard Protocols | |
|---|---|
| Click here to view our Standard Protocols |






