验证数据展示
经过测试的应用
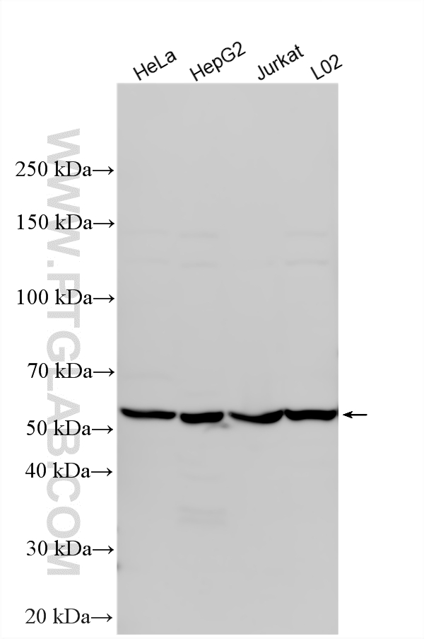
| Positive WB detected in | HeLa cells, HepG2 cells, Jurkat cells, L02 cells |
推荐稀释比
| 应用 | 推荐稀释比 |
|---|---|
| Western Blot (WB) | WB : 1:1000-1:6000 |
| It is recommended that this reagent should be titrated in each testing system to obtain optimal results. | |
| Sample-dependent, Check data in validation data gallery. | |
发表文章中的应用
| WB | See 1 publications below |
产品信息
17025-1-AP targets NOC4L in WB, ELISA applications and shows reactivity with human, mouse, rat samples.
| 经测试应用 | WB, ELISA Application Description |
| 文献引用应用 | WB |
| 经测试反应性 | human, mouse, rat |
| 文献引用反应性 | human |
| 免疫原 |
CatNo: Ag10313 Product name: Recombinant human NOC4L protein Source: e coli.-derived, PET28a Tag: 6*His Domain: 166-516 aa of BC071958 Sequence: LLLSQFREYLDYDDTRYHTMQAAVDAVARVTGQHPEVPPAFWNNAFTLLSAVSLPRREPTVSSFYVKRAELWDTWKVAHLKEHRRVFQAMWLSFLKHKLPLSLYKKVLLIVHDAILPQLAQPTLMIDFLTRACDLGGALSLLALNGLFILIHKHNLEYPDFYRKLYGLLDPSVFHVKYRARFFHLADLFLSSSHLPAYLVAAFAKRLARLALTAPPEALLMVLPFICNLLRRHPACRVLVHRPHGPELDADPYDPGEEDPAQSRALESSLWELQALQRHYHPEVSKAASVINQALSMPEVSIAPLLELTAYEIFERDLKKKGPEPVPLEFIPAQGLLGRPGELCAQHFTLS 种属同源性预测 |
| 宿主/亚型 | Rabbit / IgG |
| 抗体类别 | Polyclonal |
| 产品类型 | Antibody |
| 全称 | nucleolar complex associated 4 homolog (S. cerevisiae) |
| 别名 | NET49, NOC4, NOC4-like protein, Nucleolar complex-associated protein 4-like protein |
| 计算分子量 | 516 aa, 59 kDa |
| 观测分子量 | 59 kDa |
| GenBank蛋白编号 | BC071958 |
| 基因名称 | NOC4L |
| Gene ID (NCBI) | 79050 |
| RRID | AB_2235938 |
| 偶联类型 | Unconjugated |
| 形式 | Liquid |
| 纯化方式 | Antigen affinity purification |
| UNIPROT ID | Q9BVI4 |
| 储存缓冲液 | PBS with 0.02% sodium azide and 50% glycerol, pH 7.3. |
| 储存条件 | Store at -20°C. Stable for one year after shipment. Aliquoting is unnecessary for -20oC storage. |
实验方案
| Product Specific Protocols | |
|---|---|
| WB protocol for NOC4L antibody 17025-1-AP | Download protocol |
| Standard Protocols | |
|---|---|
| Click here to view our Standard Protocols |
