验证数据展示
经过测试的应用
| Positive WB detected in | HeLa cells, Jurkat cells, LNCaP cells, MCF-7 cells, mouse brain tissue, mouse heart tissue, mouse spleen tissue | 
| Positive IP detected in | Jurkat cells | 
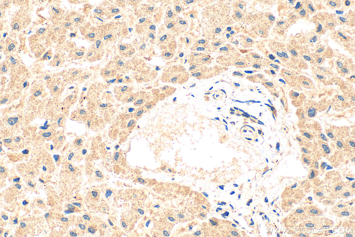
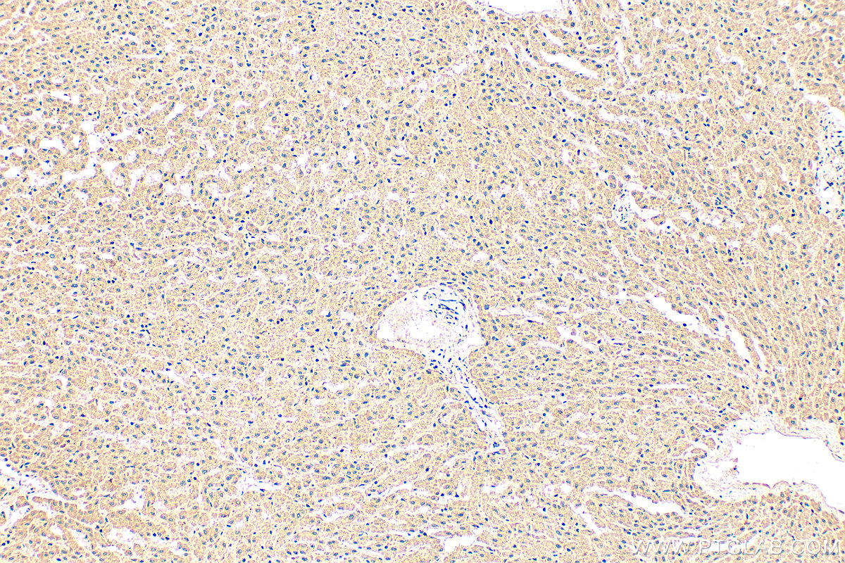
| Positive IHC detected in | human liver tissue Note: suggested antigen retrieval with TE buffer pH 9.0; (*) Alternatively, antigen retrieval may be performed with citrate buffer pH 6.0 | 
推荐稀释比
| 应用 | 推荐稀释比 | 
|---|---|
| Western Blot (WB) | WB : 1:1000-1:6000 | 
| Immunoprecipitation (IP) | IP : 0.5-4.0 ug for 1.0-3.0 mg of total protein lysate | 
| Immunohistochemistry (IHC) | IHC : 1:50-1:500 | 
| It is recommended that this reagent should be titrated in each testing system to obtain optimal results. | |
| Sample-dependent, Check data in validation data gallery. | |
发表文章中的应用
| WB | See 1 publications below | 
| IF | See 1 publications below | 
产品信息
15765-1-AP targets NMRAL1 in WB, IHC, IF, IP, ELISA applications and shows reactivity with human, mouse samples.
| 经测试应用 | WB, IHC, IP, ELISA Application Description | 
| 文献引用应用 | WB, IF | 
| 经测试反应性 | human, mouse | 
| 文献引用反应性 | mouse, rat | 
| 免疫原 | CatNo: Ag8401 Product name: Recombinant human NMRAL1 protein Source: e coli.-derived, PGEX-4T Tag: GST Domain: 1-299 aa of BC007364 Sequence: MVDKKLVVVFGGTGAQGGSVARTLLEDGTFKVRVVTRNPRKKAAKELRLQGAEVVQGDQDDQVIMELALNGAYATFIVTNYWESCSQEQEVKQGKLLADLARRLGLHYVVYSGLENIKKLTAGRLAAAHFDGKGEVEEYFRDIGVPMTSVRLPCYFENLLSHFLPQKAPDGKSYLLSLPTGDVPMDGMSVSDLGPVVLSLLKMPEKYVGQNIGLSTCRHTAEEYAALLTKHTRKVVHDAKMTPEDYEKLGFPGARDLANMFRFYALRPDRDIELTLRLNPKALTLDQWLEQHKGDFNLL种属同源性预测 | 
| 宿主/亚型 | Rabbit / IgG | 
| 抗体类别 | Polyclonal | 
| 产品类型 | Antibody | 
| 全称 | NmrA-like family domain containing 1 | 
| 别名 | HSCARG, NmrA-like family domain-containing protein 1, SDR48A1 | 
| 计算分子量 | 299 aa, 33 kDa | 
| 观测分子量 | 33 kDa | 
| GenBank蛋白编号 | BC007364 | 
| 基因名称 | NMRAL1 | 
| Gene ID (NCBI) | 57407 | 
| RRID | AB_2153154 | 
| 偶联类型 | Unconjugated | 
| 形式 | Liquid | 
| 纯化方式 | Antigen affinity purification | 
| UNIPROT ID | Q9HBL8 | 
| 储存缓冲液 | PBS with 0.02% sodium azide and 50% glycerol, pH 7.3. | 
| 储存条件 | Store at -20°C. Stable for one year after shipment. Aliquoting is unnecessary for -20oC storage. | 
实验方案
| Product Specific Protocols | |
|---|---|
| IHC protocol for NMRAL1 antibody 15765-1-AP | Download protocol | 
| IP protocol for NMRAL1 antibody 15765-1-AP | Download protocol | 
| WB protocol for NMRAL1 antibody 15765-1-AP | Download protocol | 
| Standard Protocols | |
|---|---|
| Click here to view our Standard Protocols | 
发表文章
| Species | Application | Title | 
|---|---|---|
| Cell Metab Stamp2 controls macrophage inflammation through nicotinamide adenine dinucleotide phosphate homeostasis and protects against atherosclerosis. | ||
| Diabetes Metab Syndr Obes STAMP2 Attenuates Cardiac Dysfunction and Insulin Resistance in Diabetic Cardiomyopathy via NMRAL1-Mediated NF-κB Inhibition in Type 2 Diabetic Rats | 






