验证数据展示
经过测试的应用
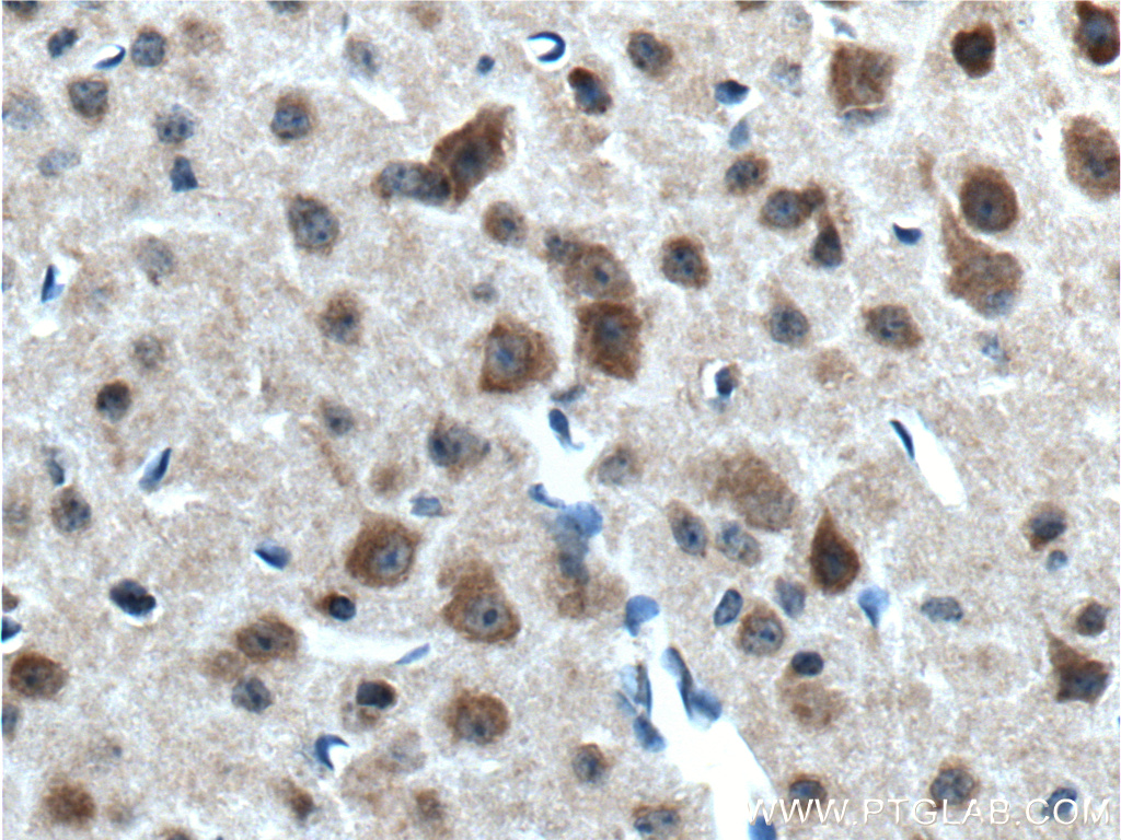
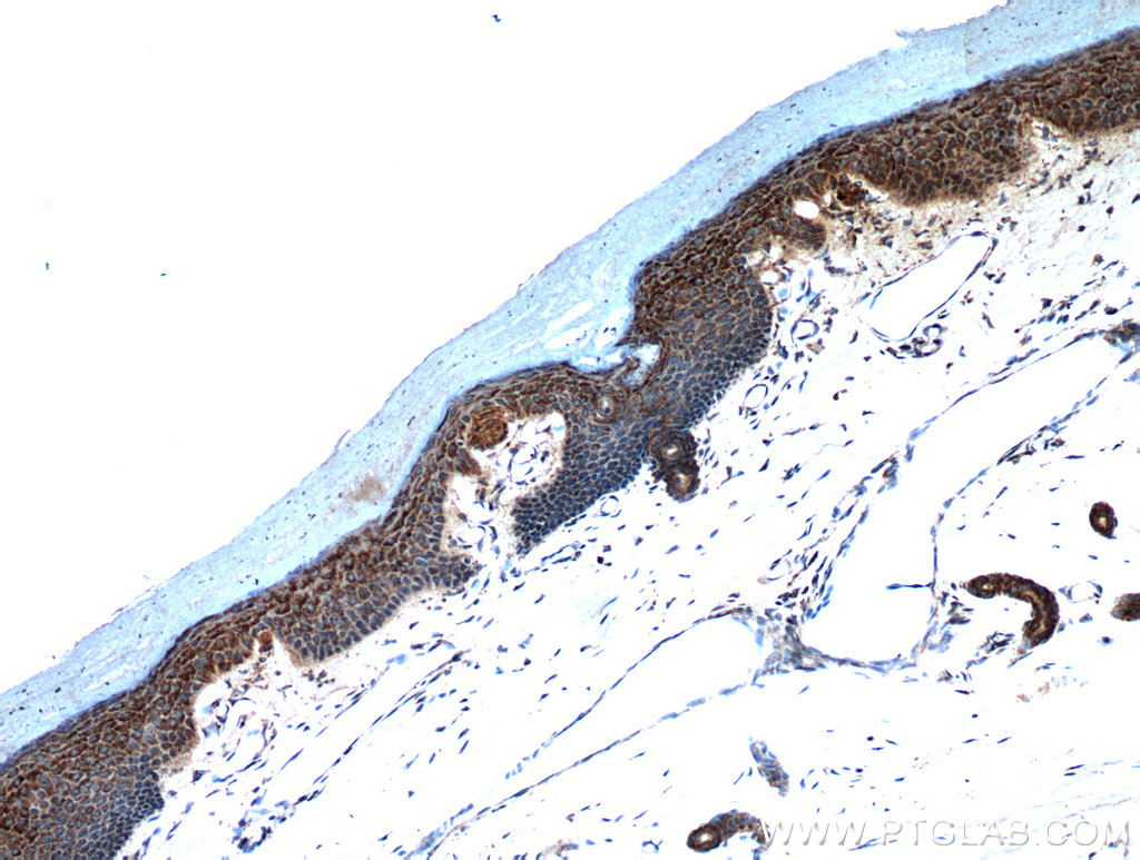
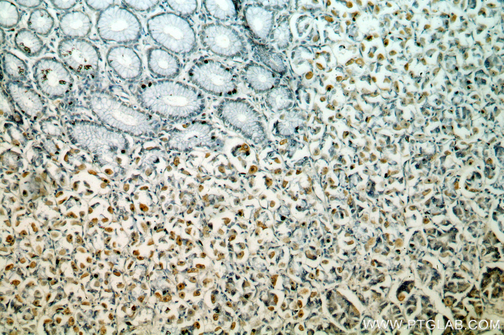
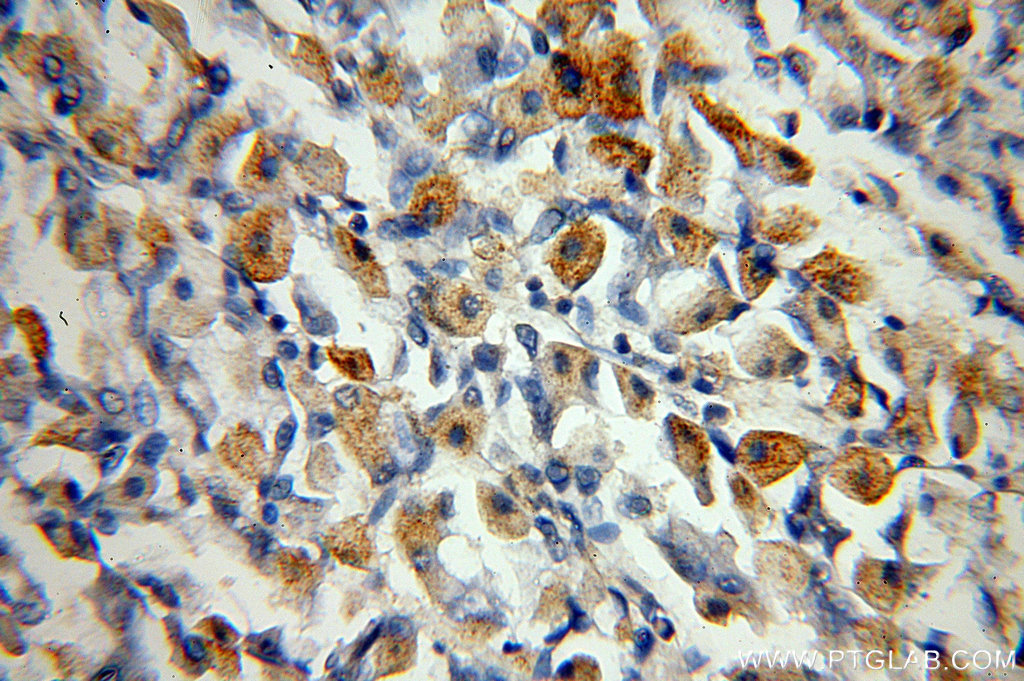
| Positive IHC detected in | mouse brain tissue, human brain tissue, human breast cancer tissue, human skin tissue, human stomach tissue Note: suggested antigen retrieval with TE buffer pH 9.0; (*) Alternatively, antigen retrieval may be performed with citrate buffer pH 6.0 |
推荐稀释比
| 应用 | 推荐稀释比 |
|---|---|
| Immunohistochemistry (IHC) | IHC : 1:50-1:500 |
| It is recommended that this reagent should be titrated in each testing system to obtain optimal results. | |
| Sample-dependent, Check data in validation data gallery. | |
发表文章中的应用
| WB | See 2 publications below |
| IHC | See 2 publications below |
产品信息
10888-1-AP targets neuromedin B in WB, IHC, ELISA applications and shows reactivity with human, mouse samples.
| 经测试应用 | IHC, ELISA Application Description |
| 文献引用应用 | WB, IHC |
| 经测试反应性 | human, mouse |
| 文献引用反应性 | human, monkey, chimpanzee |
| 免疫原 |
CatNo: Ag0842 Product name: Recombinant human NMB protein Source: e coli.-derived, PGEX-4T Tag: GST Domain: 1-154 aa of BC007407 Sequence: MARRAGGARMFGSLLLFALLAAGVAPLSWDLPEPRSRASKIRVHSRGNLWATGHFMGKKSLEPSSPSPLGTATHTSLRDQRLQLSHDLLGILLLKKALGVSLSRPAPQIQEAAGTNTAEMTPIMGQTQQRGLDCAHPGKVLNGTLLMAPSGCKS 种属同源性预测 |
| 宿主/亚型 | Rabbit / IgG |
| 抗体类别 | Polyclonal |
| 产品类型 | Antibody |
| 全称 | neuromedin B |
| 别名 | neuromedin B, NMB |
| 计算分子量 | 16 kDa |
| GenBank蛋白编号 | BC007407 |
| 基因名称 | NMB |
| Gene ID (NCBI) | 4828 |
| RRID | AB_10895967 |
| 偶联类型 | Unconjugated |
| 形式 | Liquid |
| 纯化方式 | Antigen affinity purification |
| UNIPROT ID | P08949 |
| 储存缓冲液 | PBS with 0.02% sodium azide and 50% glycerol, pH 7.3. |
| 储存条件 | Store at -20°C. Stable for one year after shipment. Aliquoting is unnecessary for -20oC storage. |
背景介绍
Neuromedin B (NMB) is a bombesin-like peptide, which inhibits food intake and modulates stress-related behaviour. It exerts its function via NMB receptor (NMB-R). NMB is encoded in a 76-amino acid precursor. The mature NMB was reported to be a 10-amino-acid peptide, giving two bands of 1.2 kDa and 1.5 kDa in western blotting. NMB is expressed in brain, gastrointestinal tract, pancreas, adrenals, and adipose tissue. It regulates exocrine and endocrine secretions, cell growth, body temperature and blood pressure and glucose level in vivo.
实验方案
| Product Specific Protocols | |
|---|---|
| IHC protocol for neuromedin B antibody 10888-1-AP | Download protocol |
| WB protocol for neuromedin B antibody 10888-1-AP | Download protocol |
| Standard Protocols | |
|---|---|
| Click here to view our Standard Protocols |
发表文章
| Species | Application | Title |
|---|---|---|
Brain Struct Funct The von Economo neurons in frontoinsular and anterior cingulate cortex in great apes and humans. | ||
Front Immunol NMB promotes the progression of colorectal cancer by regulating the NF-κB/P65 signaling pathway | ||
Cancer Lett Neuromedin B receptor antagonist suppresses tumor angiogenesis and tumor growth in vitro and in vivo. | ||





















