验证数据展示
经过测试的应用
| Positive WB detected in | mouse ovary tissue, HepG2 cells |
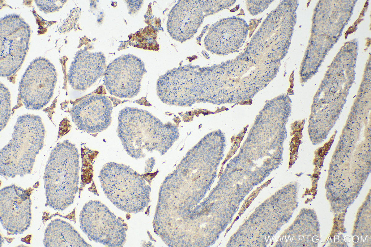
| Positive IHC detected in | mouse testis tissue Note: suggested antigen retrieval with TE buffer pH 9.0; (*) Alternatively, antigen retrieval may be performed with citrate buffer pH 6.0 |
推荐稀释比
| 应用 | 推荐稀释比 |
|---|---|
| Western Blot (WB) | WB : 1:200-1:1000 |
| Immunohistochemistry (IHC) | IHC : 1:50-1:500 |
| It is recommended that this reagent should be titrated in each testing system to obtain optimal results. | |
| Sample-dependent, Check data in validation data gallery. | |
产品信息
14763-1-AP targets NLN in WB, IHC, ELISA applications and shows reactivity with human, mouse, rat samples.
| 经测试应用 | WB, IHC, ELISA Application Description |
| 经测试反应性 | human, mouse, rat |
| 免疫原 |
CatNo: Ag6524 Product name: Recombinant human NLN protein Source: e coli.-derived, PGEX-4T Tag: GST Domain: 289-607 aa of BC001644 Sequence: KVAKLLGYSTHADFVLEMNTAKSTSRVTAFLDDLSQKLKPLGEAEREFILNLKKKECKDRGFEYDGKINAWDLYYYMTQTEELKYSIDQEFLKEYFPIEVVTEGLLNTYQELLGLSFEQMTDAHVWNKSVTLYTVKDKATGEVLGQFYLDLYPREGKYNHAACFGLQPGCLLPDGSRMMAVAALVVNFSQPVAGRPSLLRHDEVRTYFHEFGHVMHQICAQVSFFFPPVNLPISFFRKLLDCCQVSAPNRFFQKLNVFKNFIGLLQNQNFPYPVLFHNIFLLGGSSTSERCLLNNSLWKKNKTICKERLQILCFFLLIL 种属同源性预测 |
| 宿主/亚型 | Rabbit / IgG |
| 抗体类别 | Polyclonal |
| 产品类型 | Antibody |
| 全称 | neurolysin (metallopeptidase M3 family) |
| 别名 | AGTBP, Angiotensin binding protein, Angiotensin-binding protein, EC:3.4.24.16, KIAA1226 |
| 计算分子量 | 81 kDa |
| 观测分子量 | 75 kDa |
| GenBank蛋白编号 | BC001644 |
| 基因名称 | NLN |
| Gene ID (NCBI) | 57486 |
| RRID | AB_2151973 |
| 偶联类型 | Unconjugated |
| 形式 | Liquid |
| 纯化方式 | Antigen affinity purification |
| UNIPROT ID | Q9BYT8 |
| 储存缓冲液 | PBS with 0.02% sodium azide and 50% glycerol, pH 7.3. |
| 储存条件 | Store at -20°C. Stable for one year after shipment. Aliquoting is unnecessary for -20oC storage. |
背景介绍
NLN(Neurolysin, mitochondrial) is also named as AGTBP, KIAA1226 and belongs to the peptidase M3 family. It is an enzyme involved in the metabolic inactivation of bioactive peptides and functions as a monomer of molecular mass 78 kDa. It also can be dected the molecular weight between 70 kDa and 85 kDa according to the reports (PMID:10095765, 11092934). The full length protein has a transit peptide with 37 amino acids.
实验方案
| Product Specific Protocols | |
|---|---|
| IHC protocol for NLN antibody 14763-1-AP | Download protocol |
| WB protocol for NLN antibody 14763-1-AP | Download protocol |
| Standard Protocols | |
|---|---|
| Click here to view our Standard Protocols |



