验证数据展示
经过测试的应用
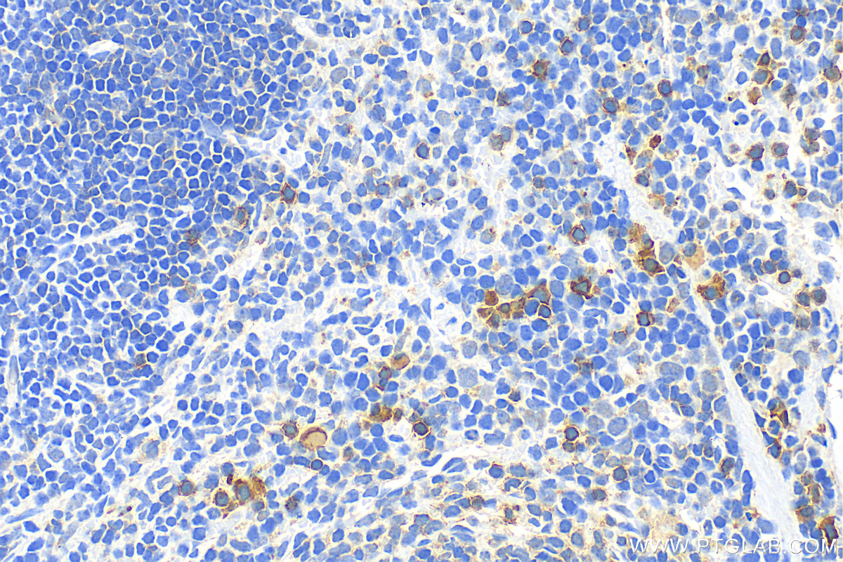
| Positive IHC detected in | mouse spleen tissue Note: suggested antigen retrieval with TE buffer pH 9.0; (*) Alternatively, antigen retrieval may be performed with citrate buffer pH 6.0 |
推荐稀释比
| 应用 | 推荐稀释比 |
|---|---|
| Immunohistochemistry (IHC) | IHC : 1:200-1:800 |
| It is recommended that this reagent should be titrated in each testing system to obtain optimal results. | |
| Sample-dependent, Check data in validation data gallery. | |
产品信息
31984-1-AP targets NKp46/NCR1 in IHC, ELISA applications and shows reactivity with mouse samples.
| 经测试应用 | IHC, ELISA Application Description |
| 经测试反应性 | mouse |
| 免疫原 |
Recombinant protein 种属同源性预测 |
| 宿主/亚型 | Rabbit / IgG |
| 抗体类别 | Polyclonal |
| 产品类型 | Antibody |
| 全称 | natural cytotoxicity triggering receptor 1 |
| 别名 | Ncr1, Natural killer cell p46-related protein, mNKp46, Lymphocyte antigen 94, Ly94 |
| 计算分子量 | 37kDa |
| GenBank蛋白编号 | NM_010746.3 |
| 基因名称 | NKp46/NCR1 |
| Gene ID (NCBI) | 17086 |
| RRID | AB_3670165 |
| 偶联类型 | Unconjugated |
| 形式 | Liquid |
| 纯化方式 | Antigen affinity Purification |
| UNIPROT ID | Q8C567 |
| 储存缓冲液 | PBS with 0.02% sodium azide and 50% glycerol, pH 7.3. |
| 储存条件 | Store at -20°C. Stable for one year after shipment. Aliquoting is unnecessary for -20oC storage. |
背景介绍
NKp46, also known as NCR1 or CD335, is an Ig-like superfamily cell surface receptor that is highly conserved in mammals (PMID: 22021440). NKp46 is a type I transmembrane glycoprotein consisting of two extracellular Ig-like domains, a transmembrane domain, and an intracellular tail (PMID: 9730896). It is expressed on NK cells, rare T-cell subsets and a mucosal population of NKp46+ innate lymphoid cells (PMID: 9730896; 22021440). NKp46 is the major triggering receptor involved in the natural cytotoxicity (PMID: 10359120; 10092106; 15356098).
实验方案
| Product Specific Protocols | |
|---|---|
| IHC protocol for NKp46/NCR1 antibody 31984-1-AP | Download protocol |
| Standard Protocols | |
|---|---|
| Click here to view our Standard Protocols |

