验证数据展示
经过测试的应用
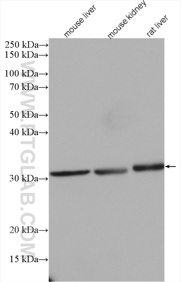
| Positive WB detected in | mouse liver tissue, human kidney tissue, human brain tissue, human heart tissue, mouse kidney tissue, rat liver tissue |
推荐稀释比
| 应用 | 推荐稀释比 |
|---|---|
| Western Blot (WB) | WB : 1:500-1:3000 |
| It is recommended that this reagent should be titrated in each testing system to obtain optimal results. | |
| Sample-dependent, Check data in validation data gallery. | |
发表文章中的应用
| WB | See 2 publications below |
| IHC | See 1 publications below |
产品信息
16438-1-AP targets NIT2 in WB, IHC, ELISA applications and shows reactivity with human, mouse, rat samples.
| 经测试应用 | WB, ELISA Application Description |
| 文献引用应用 | WB, IHC |
| 经测试反应性 | human, mouse, rat |
| 文献引用反应性 | human, mouse |
| 免疫原 |
CatNo: Ag9756 Product name: Recombinant human NIT2 protein Source: e coli.-derived, PGEX-4T Tag: GST Domain: 1-276 aa of BC020620 Sequence: MTSFRLALIQLQISSIKSDNVTRACSFIREAATQGAKIVSLPECFNSPYGAKYFPEYAEKIPGESTQKLSEVAKECSIYLIGGSIPEEDAGKLYNTCAVFGPDGTLLAKYRKIHLFDIDVPGKITFQESKTLSPGDSFSTFDTPYCRVGLGICYDMRFAELAQIYAQRGCQLLVYPGAFNLTTGPAHWELLQRSRAVDNQVYVATASPARDDKASYVAWGHSTVVNPWGEALAKAGTEEAIVYSDIDLKKLAEIRQQIPVFRQKRSDLYAVEMKKP 种属同源性预测 |
| 宿主/亚型 | Rabbit / IgG |
| 抗体类别 | Polyclonal |
| 产品类型 | Antibody |
| 全称 | nitrilase family, member 2 |
| 别名 | NIT2, nitrilase family, member 2, Nitrilase homolog 2, Omega amidase NIT2 |
| 计算分子量 | 276 aa, 31 kDa |
| 观测分子量 | 31 kDa |
| GenBank蛋白编号 | BC020620 |
| 基因名称 | NIT2 |
| Gene ID (NCBI) | 56954 |
| RRID | AB_2151317 |
| 偶联类型 | Unconjugated |
| 形式 | Liquid |
| 纯化方式 | Antigen affinity purification |
| UNIPROT ID | Q9NQR4 |
| 储存缓冲液 | PBS with 0.02% sodium azide and 50% glycerol, pH 7.3. |
| 储存条件 | Store at -20°C. Stable for one year after shipment. Aliquoting is unnecessary for -20oC storage. |
实验方案
| Product Specific Protocols | |
|---|---|
| WB protocol for NIT2 antibody 16438-1-AP | Download protocol |
| Standard Protocols | |
|---|---|
| Click here to view our Standard Protocols |
发表文章
| Species | Application | Title |
|---|---|---|
Mol Biol Rep NIT2 overexpression predicts poor prognosis in tongue squamous cell carcinoma patients. | ||



