验证数据展示
经过测试的应用
| Positive WB detected in | mouse small intestine tissue |
| Positive IP detected in | mouse kidney tissue |
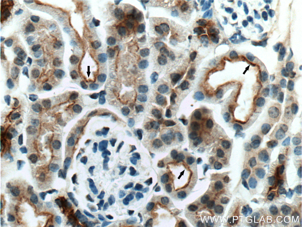
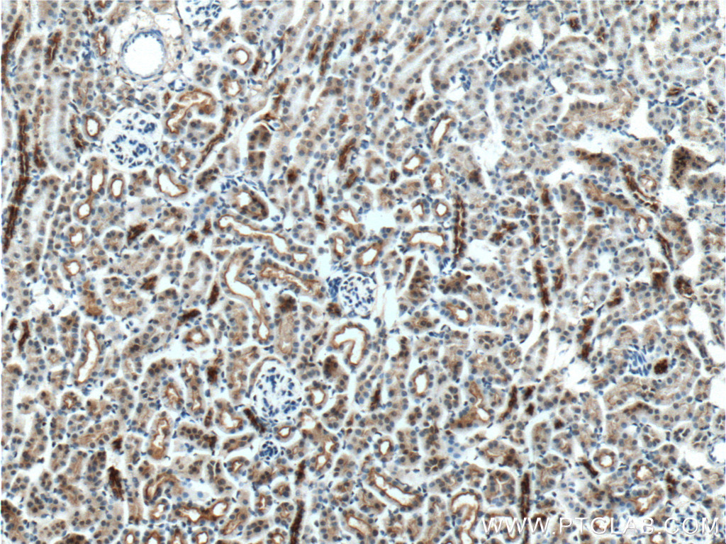
| Positive IHC detected in | mouse kidney tissue Note: suggested antigen retrieval with TE buffer pH 9.0; (*) Alternatively, antigen retrieval may be performed with citrate buffer pH 6.0 |
推荐稀释比
| 应用 | 推荐稀释比 |
|---|---|
| Western Blot (WB) | WB : 1:500-1:2000 |
| Immunoprecipitation (IP) | IP : 0.5-4.0 ug for 1.0-3.0 mg of total protein lysate |
| Immunohistochemistry (IHC) | IHC : 1:50-1:500 |
| It is recommended that this reagent should be titrated in each testing system to obtain optimal results. | |
| Sample-dependent, Check data in validation data gallery. | |
产品信息
27190-1-AP targets NHE3 in WB, IHC, IF, IP, ELISA applications and shows reactivity with human, mouse samples.
| 经测试应用 | WB, IHC, IP, ELISA Application Description |
| 文献引用应用 | WB, IHC, IF |
| 经测试反应性 | human, mouse |
| 文献引用反应性 | human, mouse, pig |
| 免疫原 |
CatNo: Ag25637 Product name: Recombinant human SLC9A3 protein Source: e coli.-derived, PGEX-4T Tag: GST Domain: 665-834 aa of BC101669 Sequence: KSTKLGLNQNKKAAKLYKRERAQKRRNSSIPNGKLPMESPAQNFTIKEKDLELSDTEEPPNYDEEMSGGIEFLASVTKDTASDSPAGIDNPVFSPDEALDRSLLARLPPWLSPGETVVPSQRARTQIPYSPGTFRRLMPFRLSSKSVDSFLQADGPEERPPAALPESTHM 种属同源性预测 |
| 宿主/亚型 | Rabbit / IgG |
| 抗体类别 | Polyclonal |
| 产品类型 | Antibody |
| 全称 | solute carrier family 9 (sodium/hydrogen exchanger), member 3 |
| 别名 | SLC9A3, NHE-3 |
| 计算分子量 | 834 aa, 93 kDa |
| 观测分子量 | 80-100 kDa |
| GenBank蛋白编号 | BC101669 |
| 基因名称 | NHE3 |
| Gene ID (NCBI) | 6550 |
| RRID | AB_2880793 |
| 偶联类型 | Unconjugated |
| 形式 | Liquid |
| 纯化方式 | Antigen affinity purification |
| UNIPROT ID | P48764 |
| 储存缓冲液 | PBS with 0.02% sodium azide and 50% glycerol, pH 7.3. |
| 储存条件 | Store at -20°C. Stable for one year after shipment. Aliquoting is unnecessary for -20oC storage. |
背景介绍
SLC9A3, also known as NHE3, belongs to the sodium hydrogen exchange protein family (NHE) and is mainly responsible for regulating the concentration of sodium and hydrogen ions inside and outside the cell. SLC9A3 is a Major apical Na+/H+ exchanger in kidney and intestine, playing an important role in renal and intestine Na+ absorption and blood pressure regulation (PMID:24622516, 2635877). Mutations in SLC9A3 cause Congenital Sodium Diarrhea (PMID: 26358773, 31276831).
实验方案
| Product Specific Protocols | |
|---|---|
| IHC protocol for NHE3 antibody 27190-1-AP | Download protocol |
| IP protocol for NHE3 antibody 27190-1-AP | Download protocol |
| WB protocol for NHE3 antibody 27190-1-AP | Download protocol |
| Standard Protocols | |
|---|---|
| Click here to view our Standard Protocols |
发表文章
| Species | Application | Title |
|---|---|---|
Hypertension Renal Natriuretic Peptide Receptor-C Deficiency Attenuates NaCl Cotransporter Activity in Angiotensin II-Induced Hypertension. | ||
Hypertension Podocyte Injury Augments Intrarenal Angiotensin II Generation and Sodium Retention in a Megalin-Dependent Manner. | ||
Mol Oncol Ryanodine receptor 2 promotes colorectal cancer metastasis by the ROS/BACH1 axis | ||
J Virol Pemetrexed alleviates piglet diarrhea by blocking the interaction between porcine epidemic diarrhea virus nucleocapsid protein and Ezrin | ||
Food Funct EPA and DHA differentially coordinate the crosstalk between host and gut microbiota and block DSS-induced colitis in mice by a reinforced colonic mucus barrier. | ||
Front Vet Sci Effects of Guava (Psidium guajava L.) Leaf Extract on the Metabolomics of Serum and Feces in Weaned Piglets Challenged by Escherichia coli. |



