验证数据展示
经过测试的应用
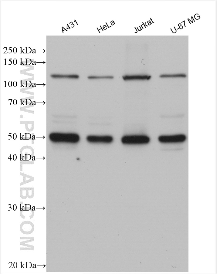
| Positive WB detected in | A431 cells, HeLa cells, Jurkat cells, Raji cells, U-87 MG cells |
| Positive IP detected in | Jurkat cells |
| Positive IHC detected in | human stomach tissue Note: suggested antigen retrieval with TE buffer pH 9.0; (*) Alternatively, antigen retrieval may be performed with citrate buffer pH 6.0 |
| Positive IF/ICC detected in | HeLa cells |
| Positive FC (Intra) detected in | HepG2 cells |
推荐稀释比
| 应用 | 推荐稀释比 |
|---|---|
| Western Blot (WB) | WB : 1:5000-1:50000 |
| Immunoprecipitation (IP) | IP : 0.5-4.0 ug for 1.0-3.0 mg of total protein lysate |
| Immunohistochemistry (IHC) | IHC : 1:50-1:500 |
| Immunofluorescence (IF)/ICC | IF/ICC : 1:200-1:800 |
| Flow Cytometry (FC) (INTRA) | FC (INTRA) : 0.40 ug per 10^6 cells in a 100 µl suspension |
| It is recommended that this reagent should be titrated in each testing system to obtain optimal results. | |
| Sample-dependent, Check data in validation data gallery. | |
产品信息
14220-1-AP targets NFKB1 p105/p50 in WB, IHC, IF/ICC, FC (Intra), IP, CoIP, ChIP, RIP, ELISA applications and shows reactivity with human, rat samples.
| 经测试应用 | WB, IHC, IF/ICC, FC (Intra), IP, ELISA Application Description |
| 文献引用应用 | WB, IHC, IF, IP, CoIP, ChIP, RIP |
| 经测试反应性 | human, rat |
| 文献引用反应性 | human, mouse, rat, pig, rabbit, canine, monkey, chicken, bovine, ducks |
| 免疫原 |
CatNo: Ag5458 Product name: Recombinant human NFKB1 protein Source: e coli.-derived, PGEX-4T Tag: GST Domain: 1-370 aa of BC051765 Sequence: MAEDDPYLGRPEQMFHLDPSLTHTIFNPEVFQPQMALPTADGPYLQILEQPKQRGFRFRYVCEGPSHGGLPGASSEKNKKSYPQVKICNYVGPAKVIVQLVTNGKNIHLHAHSLVGKHCEDGICTVTAGPKDMVVGFANLGILHVTKKKVFETLEARMTEACIRGYNPGLLVHPDLAYLQAEGGGDRQLGDREKELIRQAALQQTKEMDLSVVRLMFTAFLPDSTGSFTRRLEPVVSDAIYDSKAPNASNLKIVRMDRTAGCVTGGEEIYLLCDKVQKDDIQIRFYEEEENGGVWEGFGDFSPTDVHRQFAIVFKTPKYKDINITKPASVFVQLRRKSDLETSEPKPFLYYPEIKDKEEVQRKRQKLMPN 种属同源性预测 |
| 宿主/亚型 | Rabbit / IgG |
| 抗体类别 | Polyclonal |
| 产品类型 | Antibody |
| 全称 | nuclear factor of kappa light polypeptide gene enhancer in B-cells 1 |
| 别名 | NFKB1, DNA binding factor KBF1, DNA-binding factor KBF1, EBP 1, EBP-1 |
| 计算分子量 | 105 kDa |
| 观测分子量 | 50 kDa, 105 kDa |
| GenBank蛋白编号 | BC051765 |
| 基因名称 | NFKB1 |
| Gene ID (NCBI) | 4790 |
| RRID | AB_2153393 |
| 偶联类型 | Unconjugated |
| 形式 | Liquid |
| 纯化方式 | Antigen affinity purification |
| UNIPROT ID | P19838 |
| 储存缓冲液 | PBS with 0.02% sodium azide and 50% glycerol, pH 7.3. |
| 储存条件 | Store at -20°C. Stable for one year after shipment. Aliquoting is unnecessary for -20oC storage. |
背景介绍
NFkB is a pleiotropic transcription factor which is present in almost all cell types and is involved in many biological processed such as inflammation, immunity, differentiation, cell growth, tumorigenesis and apoptosis. NFkB is activated by various intra- and extracellular stimuli such as cytokines, oxidant free radicals, ultraviolet irradiation, and bacterial or viral products. NFkB is a family of transcription factors that consists of homo- and heterodimers of NFkB1/p50 and RelA/p65 subunits, and controls a variety of cellular events including development and immune responses. All members share a conserved amino terminus domain that includes dimerization, nuclear localization, and DNA binding regions, and a carboxy terminal transactivation domain. Serines 529 and 536 in the transactivation domain of RelA/p65 are phosphorylated in response to several stimuli including phorbol ester, IL1 alpha and TNF alpha as mediated by IkB kinase and p38 MAPK. Phosphorylation of serines 529 and 536 is critical for RelA/p65 transcriptional activity. Activated NFkB translocates into the nucleus and stimulates the expression of genes involved in a wide variety of biological functions. Inappropriate activation of NFkB has been associated with a number of inflammatory diseases while persistent inhibition of NFkB leads to inappropriate immune cell development or delayed cell growth. NFKB1 appears to have dual functions such as cytoplasmic retention of attached NF-kappa-B proteins by p105 and generation of p50 by a cotranslational processing. This antibody can bind both p105 and p50 isoforms of NFKB1.
实验方案
| Product Specific Protocols | |
|---|---|
| FC protocol for NFKB1 p105/p50 antibody 14220-1-AP | Download protocol |
| IF protocol for NFKB1 p105/p50 antibody 14220-1-AP | Download protocol |
| IHC protocol for NFKB1 p105/p50 antibody 14220-1-AP | Download protocol |
| IP protocol for NFKB1 p105/p50 antibody 14220-1-AP | Download protocol |
| WB protocol for NFKB1 p105/p50 antibody 14220-1-AP | Download protocol |
| Standard Protocols | |
|---|---|
| Click here to view our Standard Protocols |
发表文章
| Species | Application | Title |
|---|---|---|
Nat Immunol NKILA lncRNA promotes tumor immune evasion by sensitizing T cells to activation-induced cell death. | ||
Nucleic Acids Res p38-mediated FOXN3 phosphorylation modulates lung inflammation and injury through the NF-κB signaling pathway | ||
Nat Microbiol Chloroquine ameliorates carbon tetrachloride-induced acute liver injury in mice via the concomitant inhibition of inflammation and induction of apoptosis | ||
Sci Adv Microglial Ffar4 deficiency promotes cognitive impairment in the context of metabolic syndrome | ||
Biomaterials A multifunctional anti-inflammatory drug that can specifically target activated macrophages, massively deplete intracellular H2O2, and produce large amounts CO for a highly efficient treatment of osteoarthritis. | ||
J Neuroinflammation Ubiquitination-mediated upregulation of glycolytic enzyme MCT4 in promoting astrocyte reactivity during neuroinflammation |





