验证数据展示
经过测试的应用
| Positive WB detected in | Jurkat cells, K-562 cells | 
| Positive IP detected in | K-562 cells | 
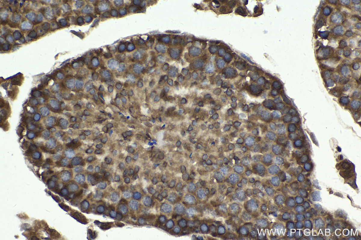
| Positive IHC detected in | mouse testis tissue, human testis tissue Note: suggested antigen retrieval with TE buffer pH 9.0; (*) Alternatively, antigen retrieval may be performed with citrate buffer pH 6.0 | 
推荐稀释比
| 应用 | 推荐稀释比 | 
|---|---|
| Western Blot (WB) | WB : 1:2000-1:12000 | 
| Immunoprecipitation (IP) | IP : 0.5-4.0 ug for 1.0-3.0 mg of total protein lysate | 
| Immunohistochemistry (IHC) | IHC : 1:500-1:2000 | 
| It is recommended that this reagent should be titrated in each testing system to obtain optimal results. | |
| Sample-dependent, Check data in validation data gallery. | |
产品信息
18222-1-AP targets NFATC3 in WB, IHC, IF, IP, ChIP, ELISA applications and shows reactivity with human samples.
| 经测试应用 | WB, IHC, IP, ELISA Application Description | 
| 文献引用应用 | WB, IHC, IF, IP, chIP | 
| 经测试反应性 | human | 
| 文献引用反应性 | human, mouse, rat | 
| 免疫原 | CatNo: Ag12985 Product name: Recombinant human NFATC3 protein Source: e coli.-derived, PGEX-4T Tag: GST Domain: 1-205 aa of BC001050 Sequence: MTTANCGAHDELDFKLVFGEDGAPAPPPPGSRPADLEPDDCASIYIFNVDPPPSTLTTPLCLPHHGLPSHSSVLSPSFQLQSHKNYEGTCEIPESKYSPLGGPKPFECPSIQITSISPNCHQELDAHEDDLQINDPEREFLERPSRDHLYLPLEPSYRESSLSPSPASSISSRSWFSDASSCESLSHIYDDVDSELNEAAARFTL种属同源性预测 | 
| 宿主/亚型 | Rabbit / IgG | 
| 抗体类别 | Polyclonal | 
| 产品类型 | Antibody | 
| 全称 | nuclear factor of activated T-cells, cytoplasmic, calcineurin-dependent 3 | 
| 别名 | NF AT4, NF ATc3, NFAT4, NF-AT4, NF-AT4c | 
| 计算分子量 | 116 kDa | 
| 观测分子量 | 130-170 kDa | 
| GenBank蛋白编号 | BC001050 | 
| 基因名称 | NFATC3 | 
| Gene ID (NCBI) | 4775 | 
| RRID | AB_2152773 | 
| 偶联类型 | Unconjugated | 
| 形式 | Liquid | 
| 纯化方式 | Antigen affinity purification | 
| UNIPROT ID | Q12968 | 
| 储存缓冲液 | PBS with 0.02% sodium azide and 50% glycerol, pH 7.3. | 
| 储存条件 | Store at -20°C. Stable for one year after shipment. Aliquoting is unnecessary for -20oC storage. | 
背景介绍
NFAT (nuclear factors of activated T cells) proteins are a family of transcription factors originally identified as mediators of activation of cytokine genes in response to antigenic stimulation of T cells. NFAT proteins also play varied roles in cells outside of the immune system [PMID:11877454]. NFATc3 has specifically been implicated in vasculature development, regulation of smooth muscle contractile phenotype, and modulation of vascular smooth muscle contractility [PMID:11439183,17148444]. The calculated molecular weight of NFATC3 is 115 kDa, but the post-modified protein is about 130-170 kDa (PMID: 15728531, PMID: 15857835)
实验方案
| Product Specific Protocols | |
|---|---|
| IHC protocol for NFATC3 antibody 18222-1-AP | Download protocol | 
| IP protocol for NFATC3 antibody 18222-1-AP | Download protocol | 
| WB protocol for NFATC3 antibody 18222-1-AP | Download protocol | 
| Standard Protocols | |
|---|---|
| Click here to view our Standard Protocols | 
发表文章
| Species | Application | Title | 
|---|---|---|
| Immunity Metformin inhibition of mitochondrial ATP and DNA synthesis abrogates NLRP3 inflammasome activation and pulmonary inflammation. | ||
| Gastroenterology Regulator of Calcineurin 1 Gene Isoform 4, Downregulated in Hepatocellular Carcinoma, Prevents Proliferation, Migration, and Invasive Activity of Cancer Cells and Growth of Orthotopic Tumors by Inhibiting Nuclear Translocation of NFAT1. | ||
| Cell Death Differ Trim39 regulates neuronal apoptosis by acting as a SUMO-targeted E3 ubiquitin-ligase for the transcription factor NFATc3. | ||
| Oncogene Regulator of calcineurin 1 gene isoform 4 in pancreatic ductal adenocarcinoma regulates the progression of tumor cells. | ||
| Cancer Lett TRPC3 promotes tumorigenesis of gastric cancer via the CNB2/GSK3β/NFATc2 signaling pathway. | ||
| Cell Biol Toxicol HNRNPA2B1 stabilizes NFATC3 levels to potentiate its combined actions with FOSL1 to mediate vasculogenic mimicry in GBM cells | 






