验证数据展示
产品信息
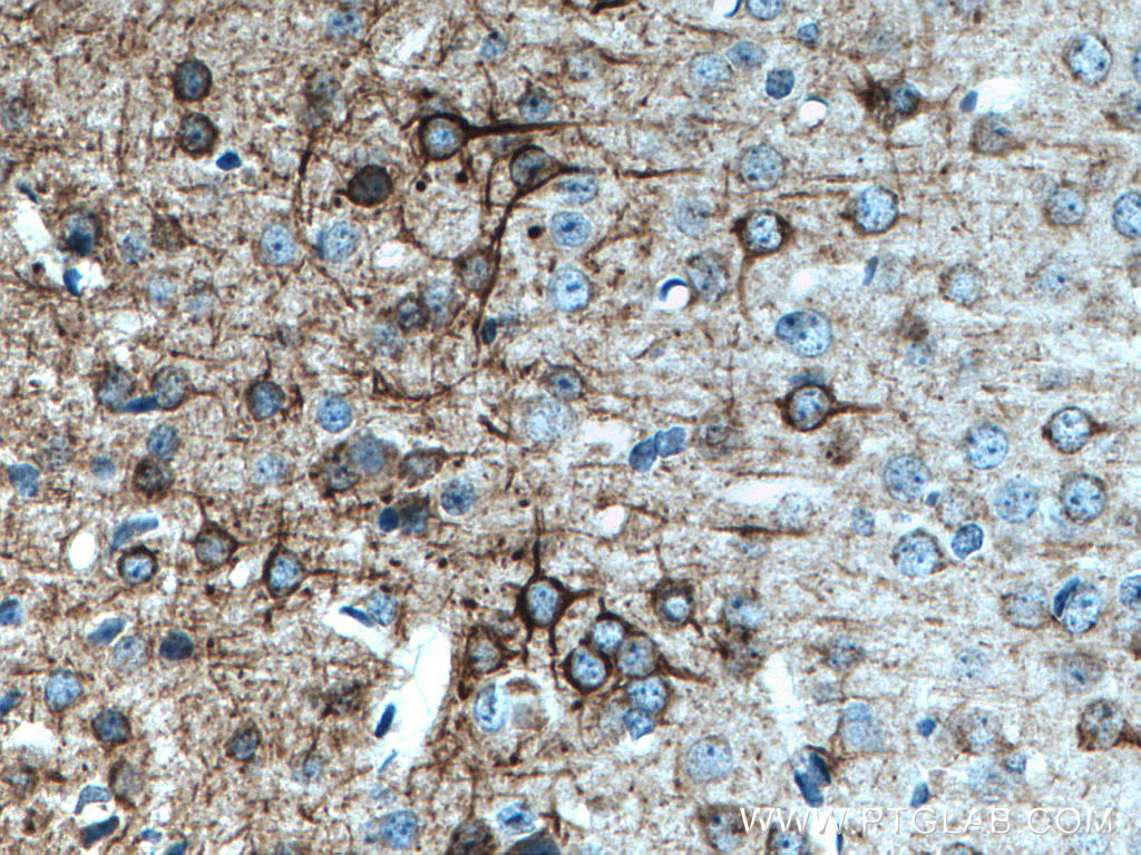
66396-1-PBS targets NF-M in WB, IHC, IF/ICC, IF-P, FC (Intra), ELISA applications and shows reactivity with human, mouse, rat samples.
| 经测试应用 | WB, IHC, IF/ICC, IF-P, FC (Intra), ELISA Application Description |
| 经测试反应性 | human, mouse, rat |
| 免疫原 |
CatNo: Ag22709 Product name: Recombinant human NEFM protein Source: e coli.-derived, PGEX-4T Tag: GST Domain: 1-97 aa of BC002421 Sequence: MSYTLDSLGNPSAYRRVTETRSSFSRVSGSPSSGFRSQSWSRGSPSTVSSSYKRSMLAPRLAYSSAMLSSAESSLDFSQSSSLLNGGSGPGGDYKLS 种属同源性预测 |
| 宿主/亚型 | Mouse / IgG1 |
| 抗体类别 | Monoclonal |
| 产品类型 | Antibody |
| 全称 | neurofilament, medium polypeptide |
| 别名 | NEFM, 2E3B12, NEF3, neurofilament, NF M |
| 计算分子量 | 102 kDa |
| 观测分子量 | 140 kDa |
| GenBank蛋白编号 | BC002421 |
| 基因名称 | NF-M |
| Gene ID (NCBI) | 4741 |
| RRID | AB_2881770 |
| 偶联类型 | Unconjugated |
| 形式 | Liquid |
| 纯化方式 | Protein G purification |
| UNIPROT ID | P07197 |
| 储存缓冲液 | PBS only, pH 7.3. |
| 储存条件 | Store at -80°C. The product is shipped with ice packs. Upon receipt, store it immediately at -80°C |
背景介绍
NEFM, also named as NEF3 and NFM, belongs to the intermediate filament family. Neurofilaments are the 10 nm intermediate filaments found specifically in neurons. They are a major component of the cell's cytoskeleton, and provide support for normal axonal radial growth. Neurofilaments usually contain three intermediate filament proteins: L, M, and H which are involved in the maintenance of neuronal caliber. The names given to the three major neurofilament subunits are based upon the apparent molecular weight of the mammalian subunits on SDS-PAGE: NF-L, 65-68 kDa; NF-M,140-160 kDa and NF-H, 200-220 kDa.









