验证数据展示
经过测试的应用
| Positive WB detected in | BxPC-3 cells, HepG2 cells, L02 cells |
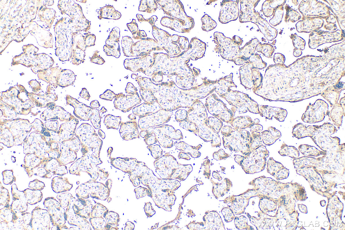
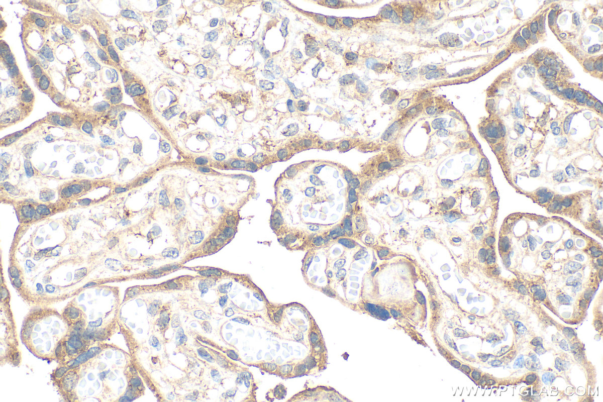
| Positive IHC detected in | human placenta tissue Note: suggested antigen retrieval with TE buffer pH 9.0; (*) Alternatively, antigen retrieval may be performed with citrate buffer pH 6.0 |
推荐稀释比
| 应用 | 推荐稀释比 |
|---|---|
| Western Blot (WB) | WB : 1:2000-1:10000 |
| Immunohistochemistry (IHC) | IHC : 1:200-1:800 |
| It is recommended that this reagent should be titrated in each testing system to obtain optimal results. | |
| Sample-dependent, Check data in validation data gallery. | |
产品信息
28167-1-AP targets NEU1 in WB, IHC, ELISA applications and shows reactivity with human samples.
| 经测试应用 | WB, IHC, ELISA Application Description |
| 经测试反应性 | human |
| 免疫原 |
CatNo: Ag27945 Product name: Recombinant human NEU1 protein Source: e coli.-derived, PET28a Tag: 6*His Domain: 96-415 aa of BC011900 Sequence: ARKMSSSDEGAKFIALRRSMDQGSTWSPTAFIVNDGDVPDGLNLGAVVSDVETGVVFLFYSLCAHKAGCQVASTMLVWSKDDGVSWSTPRNLSLDIGTEVFAPGPGSGIQKQREPRKGRLIVCGHGTLERDGVFCLLSDDHGASWRYGSGVSGIPYGQPKQENDFNPDECQPYELPDGSVVINARNQNNYHCHCRIVLRSYDACDTLRPRDVTFDPELVDPVVAAGAVVTSSGIVFFSNPAHPEFRVNLTLRWSFSNGTSWRKETVQLWPGPSGYSSLATLEGSMDGEEQAPQLYVLYEKGRNHYTESISVAKISVYGTL 种属同源性预测 |
| 宿主/亚型 | Rabbit / IgG |
| 抗体类别 | Polyclonal |
| 产品类型 | Antibody |
| 全称 | sialidase 1 (lysosomal sialidase) |
| 别名 | Acetylneuraminyl hydrolase, EC:3.2.1.18, G9 sialidase, Lysosomal sialidase, N acetyl alpha neuraminidase 1 |
| 计算分子量 | 45 kDa |
| 观测分子量 | 45 kDa |
| GenBank蛋白编号 | BC011900 |
| 基因名称 | NEU1 |
| Gene ID (NCBI) | 4758 |
| 偶联类型 | Unconjugated |
| 形式 | Liquid |
| 纯化方式 | Antigen affinity purification |
| UNIPROT ID | Q99519 |
| 储存缓冲液 | PBS with 0.02% sodium azide and 50% glycerol, pH 7.3. |
| 储存条件 | Store at -20°C. Stable for one year after shipment. Aliquoting is unnecessary for -20oC storage. |
背景介绍
NEU1 (lysosomal sialidase) encodes a kind of lysosomal enzyme that could cleave terminal sialic acids from glycoproteins or glycolipids to regulate various biological processes by conformational change (PMID:28130415). In the lysosome, NEU1 is one member of a heterotrimeric complex, the others are beta-galactosidase and cathepsin A. The NEU1 is widely expressed in mammalian tissues and involved in lysosomal storage disorder sialidosis, autoimmune diseases and the malignancy and metastasis of cancer cells (PMID:19075514). NUE1 also expresses on the plasma membrane where it modulates several signalling molecules about inflammation, exocytosis, phagocytosis, cell adhesion and proliferation (PMID:21928149). Additionally, it is reported that mutations in human NEU1 could lead to sialidosis (PMID:14517945).
实验方案
| Product Specific Protocols | |
|---|---|
| IHC protocol for NEU1 antibody 28167-1-AP | Download protocol |
| WB protocol for NEU1 antibody 28167-1-AP | Download protocol |
| Standard Protocols | |
|---|---|
| Click here to view our Standard Protocols |


