验证数据展示
经过测试的应用
| Positive WB detected in | mouse liver tissue, rat liver tissue |
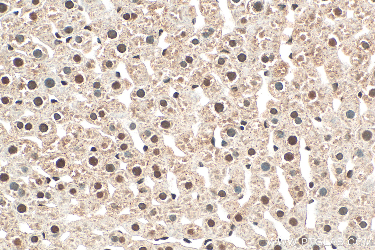
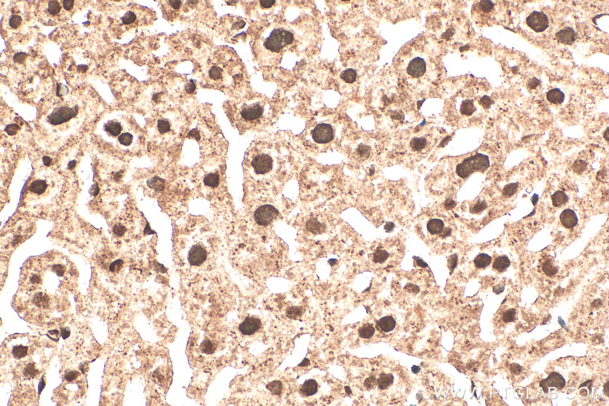
| Positive IHC detected in | rat liver tissue, mouse liver tissue Note: suggested antigen retrieval with TE buffer pH 9.0; (*) Alternatively, antigen retrieval may be performed with citrate buffer pH 6.0 |
| Positive IF/ICC detected in | HeLa cells |
推荐稀释比
| 应用 | 推荐稀释比 |
|---|---|
| Western Blot (WB) | WB : 1:500-1:2000 |
| Immunohistochemistry (IHC) | IHC : 1:50-1:500 |
| Immunofluorescence (IF)/ICC | IF/ICC : 1:50-1:500 |
| It is recommended that this reagent should be titrated in each testing system to obtain optimal results. | |
| Sample-dependent, Check data in validation data gallery. | |
产品信息
28070-1-AP targets NEK6 in WB, IHC, IF/ICC, ELISA applications and shows reactivity with human, mouse, rat samples.
| 经测试应用 | WB, IHC, IF/ICC, ELISA Application Description |
| 经测试反应性 | human, mouse, rat |
| 免疫原 |
CatNo: Ag27887 Product name: Recombinant human NEK6 protein Source: e coli.-derived, PET28a Tag: 6*His Domain: 174-313 aa of BC000101 Sequence: KPANVFITATGVVKLGDLGLGRFFSSETTAAHSLVGTPYYMSPERIHENGYNFKSDIWSLGCLLYEMAALQSPFYGDKMNLFSLCQKIEQCDYPPLPGEHYSEKLRELVSMCICPDPHQRPDIGYVHQVAKQMHIWMSST 种属同源性预测 |
| 宿主/亚型 | Rabbit / IgG |
| 抗体类别 | Polyclonal |
| 产品类型 | Antibody |
| 全称 | NIMA (never in mitosis gene a)-related kinase 6 |
| 别名 | EC:2.7.11.34, Never in mitosis A-related kinase 6, NimA related protein kinase 6, NimA-related protein kinase 6, Protein kinase SID6 1512 |
| 计算分子量 | 35 kDa |
| 观测分子量 | 35-40 kDa |
| GenBank蛋白编号 | BC000101 |
| 基因名称 | NEK6 |
| Gene ID (NCBI) | 10783 |
| 偶联类型 | Unconjugated |
| 形式 | Liquid |
| 纯化方式 | Antigen affinity purification |
| UNIPROT ID | Q9HC98 |
| 储存缓冲液 | PBS with 0.02% sodium azide and 50% glycerol, pH 7.3. |
| 储存条件 | Store at -20°C. Stable for one year after shipment. Aliquoting is unnecessary for -20oC storage. |
背景介绍
The Aspergillus nidulans 'never in mitosis A' (NIMA) is a serine/ threonine kinase that controls initiation of mitosis, whereas its inactivation is necessary for mitotic exit. NIMA-related kinases (NEKs) are a group of protein kinases that are homologous to NIMA. Evidence suggests that NEKs perform functions similar to those of NIMA. Human NIMA-related kinase 6 (NEK6, synonym: SID6-1512) is comprised of 338 amino acids and shows both nuclear and cytoplasmic localizations in HeLa cells. NEK6 is required for mitotic progression of human cells. NEK6 is phosphorylated and activated during M phase. Inhibition of Nek6 function by either overexpression of an inactive Nek6 mutant or elimination of endogenous Nek6 by siRNA arrests cells in M phase and triggers apoptosis. Recombinant human NEK6 protein produced in insect cells effectively phosphorylates histones H1 and H3, but not casein. Thus, these results suggest that, unlike other mammalian NIMA-related kinases, NEK6 is a mitotic histone kinase which regulates chromatin condensation in mammalian cells. NEK6 transcripts are ubiquitously expressed with the highest expression found in the heart and skeletal muscle, and the hNek6 gene is localized to human chromosome 9q33-34. NEK6 has four isoforms with MW 35-40 kDa.
实验方案
| Product Specific Protocols | |
|---|---|
| IF protocol for NEK6 antibody 28070-1-AP | Download protocol |
| IHC protocol for NEK6 antibody 28070-1-AP | Download protocol |
| WB protocol for NEK6 antibody 28070-1-AP | Download protocol |
| Standard Protocols | |
|---|---|
| Click here to view our Standard Protocols |



