验证数据展示
经过测试的应用
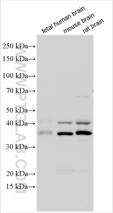
| Positive WB detected in | fetal human brain tissue, mouse brain tissue, rat brain tissue |
| Positive IHC detected in | mouse brain tissue Note: suggested antigen retrieval with TE buffer pH 9.0; (*) Alternatively, antigen retrieval may be performed with citrate buffer pH 6.0 |
| Positive IF-P detected in | mouse brain tissue |
推荐稀释比
| 应用 | 推荐稀释比 |
|---|---|
| Western Blot (WB) | WB : 1:2000-1:10000 |
| Immunohistochemistry (IHC) | IHC : 1:1000-1:4000 |
| Immunofluorescence (IF)-P | IF-P : 1:200-1:800 |
| It is recommended that this reagent should be titrated in each testing system to obtain optimal results. | |
| Sample-dependent, Check data in validation data gallery. | |
产品信息
12257-1-AP targets NECAB2 in WB, IHC, IF-P, ELISA applications and shows reactivity with human, mouse, rat samples.
| 经测试应用 | WB, IHC, IF-P, ELISA Application Description |
| 文献引用应用 | WB, IHC, IF |
| 经测试反应性 | human, mouse, rat |
| 文献引用反应性 | human, mouse |
| 免疫原 |
CatNo: Ag2909 Product name: Recombinant human NECAB2 protein Source: e coli.-derived, PGEX-4T Tag: GST Domain: 125-386 aa of BC016979 Sequence: DHMGDYEDVLASLETLNHSVLKAMGYTKKVYEGGSNVDQFVTRFLLKETANQIQSLLSSVESAVEAIEEQTSQLRQNHIKPSHSAAQTWCGSPTPASAPNHKLMAMEQGKTLPSATEDAKEEGLEAQISRLAELIGRLESKALWFDLQQRLSDEDGTNMHLQLVRQEMAVCPEQLSEFLDSLRQYLRGTTGVRNCFHITAVRLSDGFTFVIYEFWETEEAWKRHLQSPLCKAFRHVKVDTLSQPEALSRILVPAAWCTVGRD 种属同源性预测 |
| 宿主/亚型 | Rabbit / IgG |
| 抗体类别 | Polyclonal |
| 产品类型 | Antibody |
| 全称 | N-terminal EF-hand calcium binding protein 2 |
| 别名 | EFCBP2, EF-hand calcium-binding protein 2, Neuronal calcium-binding protein 2, N-terminal EF-hand calcium-binding protein 2, Stip 2 |
| 计算分子量 | 386 aa, 42 kDa |
| 观测分子量 | 43 kDa, 34 kDa |
| GenBank蛋白编号 | BC016979 |
| 基因名称 | NECAB2 |
| Gene ID (NCBI) | 54550 |
| RRID | AB_2877841 |
| 偶联类型 | Unconjugated |
| 形式 | Liquid |
| 纯化方式 | Antigen affinity purification |
| UNIPROT ID | Q7Z6G3 |
| 储存缓冲液 | PBS with 0.02% sodium azide and 50% glycerol, pH 7.3. |
| 储存条件 | Store at -20°C. Stable for one year after shipment. Aliquoting is unnecessary for -20oC storage. |
实验方案
| Product Specific Protocols | |
|---|---|
| IF protocol for NECAB2 antibody 12257-1-AP | Download protocol |
| IHC protocol for NECAB2 antibody 12257-1-AP | Download protocol |
| WB protocol for NECAB2 antibody 12257-1-AP | Download protocol |
| Standard Protocols | |
|---|---|
| Click here to view our Standard Protocols |
发表文章
| Species | Application | Title |
|---|---|---|
Science miR-183 cluster scales mechanical pain sensitivity by regulating basal and neuropathic pain genes. | ||
Development Termination of cell-type specification gene programs by miR-183 cluster determines the population sizes of low threshold mechanosensitive neurons. | ||
Signal Transduct Target Ther Multi-omic characterization of genome-wide abnormal DNA methylation reveals diagnostic and prognostic markers for esophageal squamous-cell carcinoma. | ||



