验证数据展示
经过测试的应用
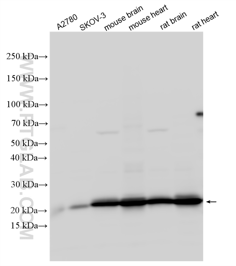
| Positive WB detected in | A2780 cells, SKOV-3 cells, mouse brain tissue, mouse heart tissue, rat brain tissue, rat heart tissue |
| Positive IHC detected in | human liver cancer tissue, mouse skeletal muscle tissue Note: suggested antigen retrieval with TE buffer pH 9.0; (*) Alternatively, antigen retrieval may be performed with citrate buffer pH 6.0 |
| Positive IF/ICC detected in | A431 cells |
推荐稀释比
| 应用 | 推荐稀释比 |
|---|---|
| Western Blot (WB) | WB : 1:500-1:2000 |
| Immunohistochemistry (IHC) | IHC : 1:100-1:400 |
| Immunofluorescence (IF)/ICC | IF/ICC : 1:175-1:700 |
| It is recommended that this reagent should be titrated in each testing system to obtain optimal results. | |
| Sample-dependent, Check data in validation data gallery. | |
发表文章中的应用
| WB | See 1 publications below |
产品信息
25172-1-AP targets NDUFS8 in WB, IHC, IF/ICC, ELISA applications and shows reactivity with human, mouse samples.
| 经测试应用 | WB, IHC, IF/ICC, ELISA Application Description |
| 文献引用应用 | WB |
| 经测试反应性 | human, mouse |
| 文献引用反应性 | mouse |
| 免疫原 |
CatNo: Ag18531 Product name: Recombinant human NDUFS8 protein Source: e coli.-derived, PGEX-4T Tag: GST Domain: 1-210 aa of BC119754 Sequence: MRCLTTPMLLRALAQAARAGPPGGRSLHSSAVAATYKYVNMQDPEMDMKSVTDRAARTLLWTELFRGLGMTLSYLFREPATINYPFEKGPLSPRFRGEHALRRYPSGEERCIACKLCEAICPAQAITIEAEPRADGSRRTTRYDIDMTKCIYCGFCQEACPVDAIVEGPNFEFSTETHEELLYNKEKLLNNGDKWEAEIAANIQADYLYR 种属同源性预测 |
| 宿主/亚型 | Rabbit / IgG |
| 抗体类别 | Polyclonal |
| 产品类型 | Antibody |
| 全称 | NADH dehydrogenase (ubiquinone) Fe-S protein 8, 23kDa (NADH-coenzyme Q reductase) |
| 别名 | CI 23kD, CI-23kD, Complex I 23kD, Complex I-23kD, EC:7.1.1.2 |
| 计算分子量 | 210 aa, 24 kDa |
| 观测分子量 | 24 kDa |
| GenBank蛋白编号 | BC119754 |
| 基因名称 | NDUFS8 |
| Gene ID (NCBI) | 4728 |
| RRID | AB_2879939 |
| 偶联类型 | Unconjugated |
| 形式 | Liquid |
| 纯化方式 | Antigen affinity purification |
| UNIPROT ID | O00217 |
| 储存缓冲液 | PBS with 0.02% sodium azide and 50% glycerol, pH 7.3. |
| 储存条件 | Store at -20°C. Stable for one year after shipment. Aliquoting is unnecessary for -20oC storage. |
背景介绍
NADH: ubiquinone oxidoreductase core subunit S8 (NDUFS8), also called TYKY, is an essential core subunit and component of the iron-sulfur (FeS) fragment of mitochondrial complex I directly involved in the electron transfer process and energy metabolism (PMID: 36557887). Pathogenic variants of the NDUFS8 are relevant to infantile-onset and severe diseases, including Leigh syndrome, cancer, and diabetes mellitus (PMID: 36557887). Knockdown of NDUFS8 impaired mitochondrial function, increased ROS, disrupted redox homeostasis, induced apoptosis, and suppressed proliferation and migration of HCC cells (PMID: 40914145).
实验方案
| Product Specific Protocols | |
|---|---|
| IF protocol for NDUFS8 antibody 25172-1-AP | Download protocol |
| IHC protocol for NDUFS8 antibody 25172-1-AP | Download protocol |
| WB protocol for NDUFS8 antibody 25172-1-AP | Download protocol |
| Standard Protocols | |
|---|---|
| Click here to view our Standard Protocols |





