验证数据展示
经过测试的应用
| Positive WB detected in | HepG2 cells, human skeletal muscle tissue, mouse liver tissue | 
| Positive IP detected in | HepG2 cells | 
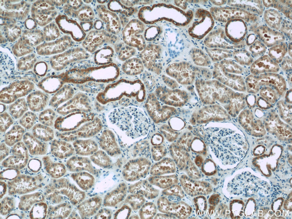
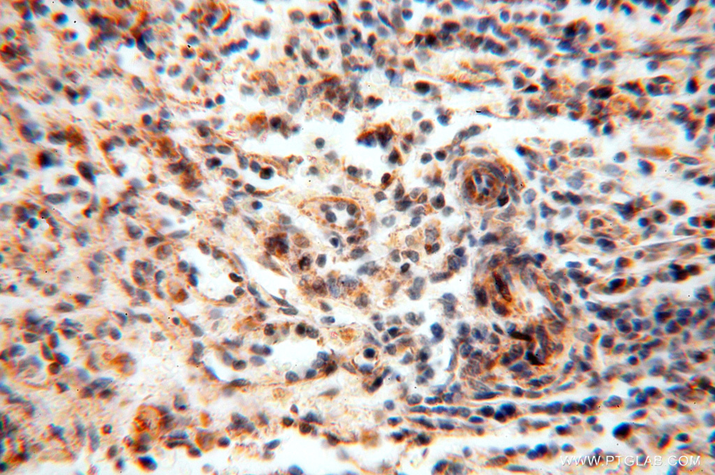
| Positive IHC detected in | human ovary cancer tissue, human brain tissue,  human heart tissue,  human kidney tissue,  human ovary tissue,  human placenta tissue,  human skin tissue,  human spleen tissue Note: suggested antigen retrieval with TE buffer pH 9.0; (*) Alternatively, antigen retrieval may be performed with citrate buffer pH 6.0 | 
推荐稀释比
| 应用 | 推荐稀释比 | 
|---|---|
| Western Blot (WB) | WB : 1:500-1:2000 | 
| Immunoprecipitation (IP) | IP : 0.5-4.0 ug for 1.0-3.0 mg of total protein lysate | 
| Immunohistochemistry (IHC) | IHC : 1:500-1:2000 | 
| It is recommended that this reagent should be titrated in each testing system to obtain optimal results. | |
| Sample-dependent, Check data in validation data gallery. | |
发表文章中的应用
| KD/KO | See 1 publications below | 
| WB | See 9 publications below | 
产品信息
15589-1-AP targets NDUFB10 in WB, IHC, IP, ELISA applications and shows reactivity with human, mouse, rat samples.
| 经测试应用 | WB, IHC, IP, ELISA Application Description | 
| 文献引用应用 | WB | 
| 经测试反应性 | human, mouse, rat | 
| 文献引用反应性 | human, mouse | 
| 免疫原 | CatNo: Ag7922 Product name: Recombinant human NDUFB10 protein Source: e coli.-derived, PGEX-4T Tag: GST Domain: 1-172 aa of BC005829 Sequence: MPDSWDKDVYPEPPRRTPVQPNPIVYMMKAFDLIVDRPVTLVREFIERQHAKNRYYYYHRQYRRVPDITECKEEDIMCMYEAEMQWKRDYKVDQEIINIMQDRLKACQQREGQNYQQNCIKEVEQFTQVAKAYQDRYQDLGAYSSARKCLAKQRQRMLQERKAAKEAAAATS种属同源性预测 | 
| 宿主/亚型 | Rabbit / IgG | 
| 抗体类别 | Polyclonal | 
| 产品类型 | Antibody | 
| 全称 | NADH dehydrogenase (ubiquinone) 1 beta subcomplex, 10, 22kDa | 
| 别名 | PDSW, NADH-ubiquinone oxidoreductase PDSW subunit, Complex I-PDSW, Complex I PDSW, CI-PDSW | 
| 计算分子量 | 22 kDa | 
| 观测分子量 | 22 kDa | 
| GenBank蛋白编号 | BC005829 | 
| 基因名称 | NDUFB10 | 
| Gene ID (NCBI) | 4716 | 
| RRID | AB_2150790 | 
| 偶联类型 | Unconjugated | 
| 形式 | Liquid | 
| 纯化方式 | Antigen affinity purification | 
| UNIPROT ID | O96000 | 
| 储存缓冲液 | PBS with 0.02% sodium azide and 50% glycerol, pH 7.3. | 
| 储存条件 | Store at -20°C. Stable for one year after shipment. Aliquoting is unnecessary for -20oC storage. | 
背景介绍
NDUFB10(NADH dehydrogenase [ubiquinone] 1 beta subcomplex subunit 10) is also named as PDSW and belongs to the complex I NDUFB10 subunit family. It is an accessory subunit of the mitochondrial membrane respiratory chain NADH dehydrogenase (Complex I), that is believed not to be involved in catalysis. The Complex I functions in the transfer of electrons from NADH to the respiratory chain.
实验方案
| Product Specific Protocols | |
|---|---|
| IHC protocol for NDUFB10 antibody 15589-1-AP | Download protocol | 
| IP protocol for NDUFB10 antibody 15589-1-AP | Download protocol | 
| WB protocol for NDUFB10 antibody 15589-1-AP | Download protocol | 
| Standard Protocols | |
|---|---|
| Click here to view our Standard Protocols | 
发表文章
| Species | Application | Title | 
|---|---|---|
| Cell Stem Cell LIN28 Regulates Stem Cell Metabolism and Conversion to Primed Pluripotency. | ||
| Nat Cell Biol LIN28 phosphorylation by MAPK/ERK couples signalling to the post-transcriptional control of pluripotency. | ||
| Mol Cell Identification of TMEM126A as OXA1L-interacting protein reveals cotranslational quality control in mitochondria | ||
| Cell Rep A Role for Mitochondrial Translation in Promotion of Viability in K-Ras Mutant Cells.
 | ||
| Front Endocrinol (Lausanne) GIT2 Acts as a Systems-Level Coordinator of Neurometabolic Activity and Pathophysiological Aging. | 


























