验证数据展示
产品信息
84799-4-PBS targets NDE1 as part of a matched antibody pair:
MP01589-1: 84799-2-PBS capture and 84799-4-PBS detection (validated in Cytometric bead array, Sandwich ELISA)
Unconjugated rabbit recombinant monoclonal antibody in PBS only (BSA and azide free) storage buffer at a concentration of 1 mg/mL, ready for conjugation. Created using Proteintech’s proprietary in-house recombinant technology. Recombinant production enables unrivalled batch-to-batch consistency, easy scale-up, and future security of supply.
This conjugation ready format makes antibodies ideal for use in many applications including: ELISAs, multiplex assays requiring matched pairs, mass cytometry, and multiplex imaging applications.Antibody use should be optimized by the end user for each application and assay.
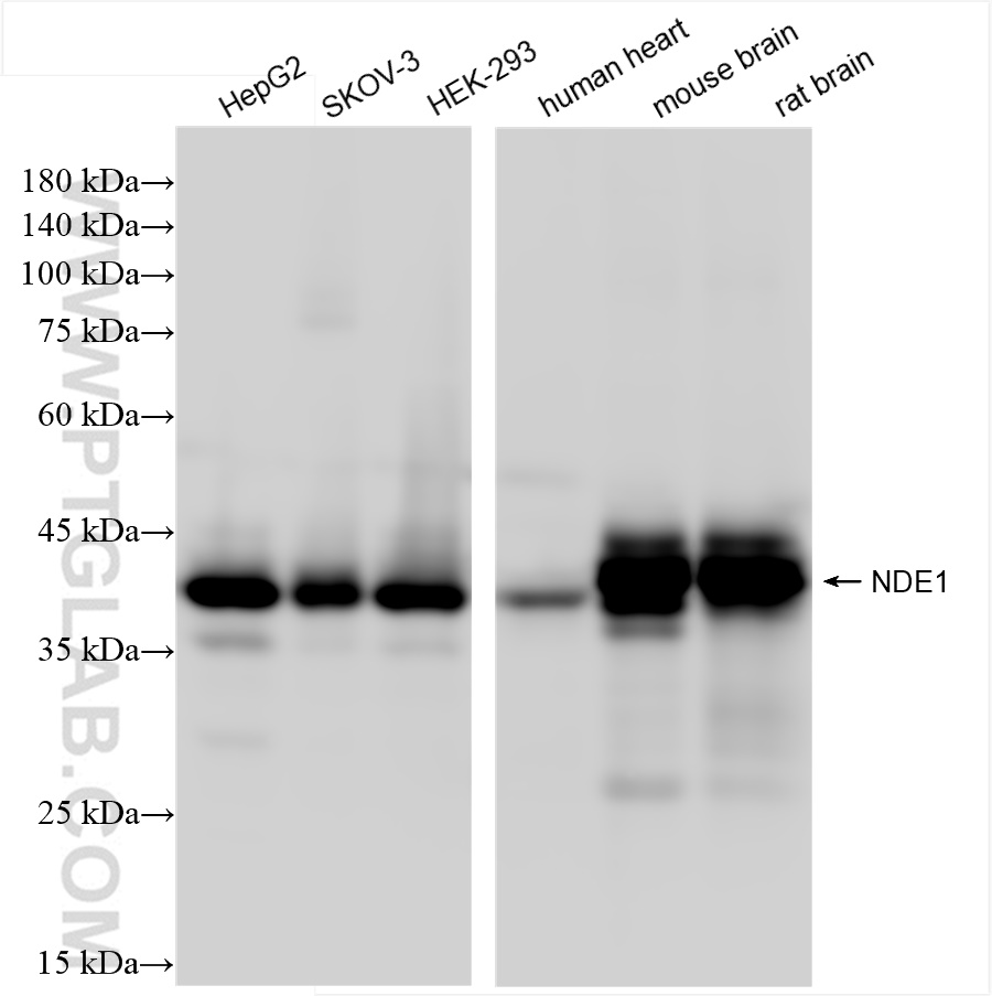
| 经测试应用 | WB, IHC, IF/ICC, Cytometric bead array, Sandwich ELISA, Indirect ELISA Application Description |
| 经测试反应性 | human, mouse, rat |
| 免疫原 |
CatNo: Ag0336 Product name: Recombinant human NDE1 protein Source: e coli.-derived, PGEX-4T Tag: GST Domain: 41-282 aa of BC001421 Sequence: EGSREYEAELETQLQQIETRNRDLLSENNRLRMELETIKEKFEVQHSEGYRQISALEDDLAQTKAIKDQLQKYIRELEQANDDLERAKRATIMSLEDFEQRLNQAIERNAFLESELDEKENLLESVQRLKDEARDLRQELAVQQKQEKPRTPMPSSVEAERTDTAVQATGSVPSTPIAHRGPSSSLNTPGSFRRGLDDSTGGTPLTPAARISALNIVGDLLRKVGALESKLASCRNLVYDQS 种属同源性预测 |
| 宿主/亚型 | Rabbit / IgG |
| 抗体类别 | Recombinant |
| 产品类型 | Antibody |
| 全称 | nudE nuclear distribution gene E homolog 1 (A. nidulans) |
| 别名 | 242340H4, HOM TES 87, NudE, NUDE1 |
| 计算分子量 | 335 aa, 38 kDa |
| 观测分子量 | 40 kDa |
| GenBank蛋白编号 | BC001421 |
| 基因名称 | NDE1 |
| Gene ID (NCBI) | 54820 |
| 偶联类型 | Unconjugated |
| 形式 | Liquid |
| 纯化方式 | Protein A purification |
| UNIPROT ID | Q9NXR1 |
| 储存缓冲液 | PBS only, pH 7.3. |
| 储存条件 | Store at -80°C. The product is shipped with ice packs. Upon receipt, store it immediately at -80°C |
背景介绍
NDE1 (NUDE /NUDE1) is a LIS1-interacting protein. A signaling pathway containing NDE1, LIS1, and cytoplasmic dynein is conserved for eukaryotic nuclear migration and has profound impact on neuronal migration during development of the central nervous system. LIS1 and dynein have been shown to be involved in mitosis and NDE1 participates in a subset of dynein function in M phase. NDE1 is specifically phosphorylated in M phase in its serine/threonine phosphorylation motifs, probably by Cdc2 and also Erk1 and Erk2. A fraction of NDEl binds to centrosomes strongly in interphase and is localized to mitotic spindles in early M phase. Phosphorylation of NDE1 also regulates the cell-cycle-dependent distribution, possibly by increasing its dissociation rate at the microtubule-organizing center.








