验证数据展示
经过测试的应用
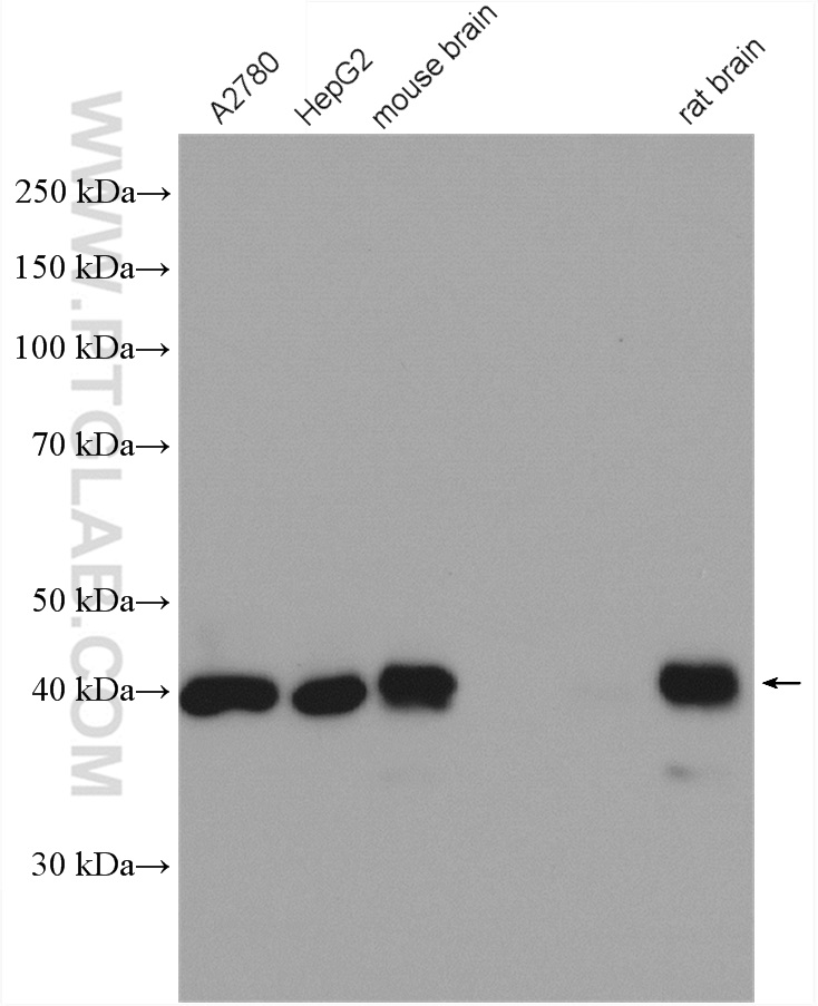
| Positive WB detected in | A2780 cells, HEK-293 cells, HeLa cells, HepG2 cells, mouse ovary tissue, mouse brain tissue, rat brain tissue | 
| Positive IP detected in | HEK-293 cells | 
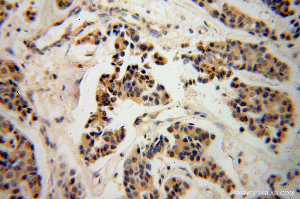
| Positive IHC detected in | human breast cancer tissue,  human colon cancer tissue Note: suggested antigen retrieval with TE buffer pH 9.0; (*) Alternatively, antigen retrieval may be performed with citrate buffer pH 6.0 | 
| Positive IF-P detected in | human breast cancer tissue | 
| Positive IF/ICC detected in | MCF-7 cells | 
推荐稀释比
| 应用 | 推荐稀释比 | 
|---|---|
| Western Blot (WB) | WB : 1:500-1:3000 | 
| Immunoprecipitation (IP) | IP : 0.5-4.0 ug for 1.0-3.0 mg of total protein lysate | 
| Immunohistochemistry (IHC) | IHC : 1:20-1:200 | 
| Immunofluorescence (IF)-P | IF-P : 1:200-1:800 | 
| Immunofluorescence (IF)/ICC | IF/ICC : 1:200-1:800 | 
| It is recommended that this reagent should be titrated in each testing system to obtain optimal results. | |
| Sample-dependent, Check data in validation data gallery. | |
产品信息
10233-1-AP targets NDE1 in WB, IHC, IF/ICC, IF-P, IP, CoIP, ELISA applications and shows reactivity with human, mouse, rat samples.
| 经测试应用 | WB, IHC, IF/ICC, IF-P, IP, ELISA Application Description | 
| 文献引用应用 | WB, IHC, IF, IP, CoIP | 
| 经测试反应性 | human, mouse, rat | 
| 文献引用反应性 | human, mouse, rat | 
| 免疫原 | CatNo: Ag0336 Product name: Recombinant human NDE1 protein Source: e coli.-derived, PGEX-4T Tag: GST Domain: 41-282 aa of BC001421 Sequence: EGSREYEAELETQLQQIETRNRDLLSENNRLRMELETIKEKFEVQHSEGYRQISALEDDLAQTKAIKDQLQKYIRELEQANDDLERAKRATIMSLEDFEQRLNQAIERNAFLESELDEKENLLESVQRLKDEARDLRQELAVQQKQEKPRTPMPSSVEAERTDTAVQATGSVPSTPIAHRGPSSSLNTPGSFRRGLDDSTGGTPLTPAARISALNIVGDLLRKVGALESKLASCRNLVYDQS种属同源性预测 | 
| 宿主/亚型 | Rabbit / IgG | 
| 抗体类别 | Polyclonal | 
| 产品类型 | Antibody | 
| 全称 | nudE nuclear distribution gene E homolog 1 (A. nidulans) | 
| 别名 | HOM TES 87, NudE, NUDE1 | 
| 计算分子量 | 335 aa, 38 kDa | 
| 观测分子量 | 40 kDa | 
| GenBank蛋白编号 | BC001421 | 
| 基因名称 | NDE1 | 
| Gene ID (NCBI) | 54820 | 
| RRID | AB_2149877 | 
| 偶联类型 | Unconjugated | 
| 形式 | Liquid | 
| 纯化方式 | Antigen affinity purification | 
| UNIPROT ID | Q9NXR1 | 
| 储存缓冲液 | PBS with 0.02% sodium azide and 50% glycerol, pH 7.3. | 
| 储存条件 | Store at -20°C. Stable for one year after shipment. Aliquoting is unnecessary for -20oC storage. | 
背景介绍
NDE1 (NUDE /NUDE1) is a LIS1-interacting protein. A signaling pathway containing NDE1, LIS1, and cytoplasmic dynein is conserved for eukaryotic nuclear migration and has profound impact on neuronal migration during development of the central nervous system. LIS1 and dynein have been shown to be involved in mitosis and NDE1 participates in a subset of dynein function in M phase. NDE1 is specifically phosphorylated in M phase in its serine/threonine phosphorylation motifs, probably by Cdc2 and also Erk1 and Erk2. A fraction of NDEl binds to centrosomes strongly in interphase and is localized to mitotic spindles in early M phase. Phosphorylation of NDE1 also regulates the cell-cycle-dependent distribution, possibly by increasing its dissociation rate at the microtubule-organizing center. This antibody is a rabbit polyclonal antibody raised against a peptide mapping within human NDE1.
实验方案
| Product Specific Protocols | |
|---|---|
| IF protocol for NDE1 antibody 10233-1-AP | Download protocol | 
| IHC protocol for NDE1 antibody 10233-1-AP | Download protocol | 
| IP protocol for NDE1 antibody 10233-1-AP | Download protocol | 
| WB protocol for NDE1 antibody 10233-1-AP | Download protocol | 
| Standard Protocols | |
|---|---|
| Click here to view our Standard Protocols | 
发表文章
| Species | Application | Title | 
|---|---|---|
| Science A liquid-like spindle domain promotes acentrosomal spindle assembly in mammalian oocytes. | ||
| Nat Cell Biol Nde1-mediated inhibition of ciliogenesis affects cell cycle re-entry.
 | ||
| Neuron Posterior Neocortex-Specific Regulation of Neuronal Migration by CEP85L Identifies Maternal Centriole-Dependent Activation of CDK5. | ||
| Am J Hum Genet The essential role of centrosomal NDE1 in human cerebral cortex neurogenesis. | ||
| J Cell Biol Mitotic control of kinetochore-associated dynein and spindle orientation by human Spindly. | ||














