验证数据展示
经过测试的应用
| Positive WB detected in | HEK-293 cells, HeLa cells |
| Positive IP detected in | HEK-293 cells |
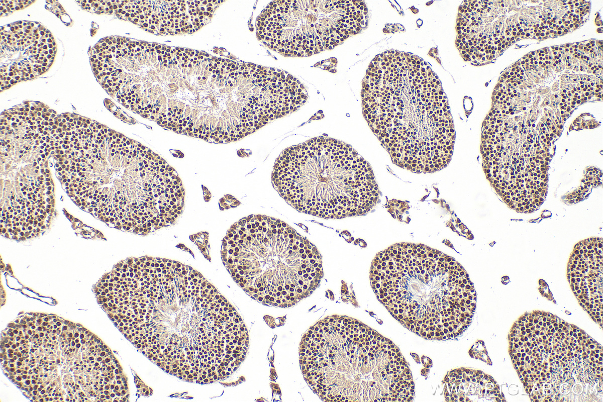
| Positive IHC detected in | human stomach tissue, mouse testis tissue Note: suggested antigen retrieval with TE buffer pH 9.0; (*) Alternatively, antigen retrieval may be performed with citrate buffer pH 6.0 |
| Positive IF/ICC detected in | A431 cells |
| Positive FC (Intra) detected in | HEK-293 cells |
推荐稀释比
| 应用 | 推荐稀释比 |
|---|---|
| Western Blot (WB) | WB : 1:1000-1:4000 |
| Immunoprecipitation (IP) | IP : 0.5-4.0 ug for 1.0-3.0 mg of total protein lysate |
| Immunohistochemistry (IHC) | IHC : 1:200-1:800 |
| Immunofluorescence (IF)/ICC | IF/ICC : 1:50-1:500 |
| Flow Cytometry (FC) (INTRA) | FC (INTRA) : 0.25 ug per 10^6 cells in a 100 µl suspension |
| It is recommended that this reagent should be titrated in each testing system to obtain optimal results. | |
| Sample-dependent, Check data in validation data gallery. | |
产品信息
20175-1-AP targets NCOA5 in WB, IHC, IF/ICC, FC (Intra), IP, ChIP, ELISA applications and shows reactivity with human, mouse samples.
| 经测试应用 | WB, IHC, IF/ICC, FC (Intra), IP, ELISA Application Description |
| 文献引用应用 | WB, IHC, IF, ChIP |
| 经测试反应性 | human, mouse |
| 文献引用反应性 | human, mouse, bovine |
| 免疫原 |
CatNo: Ag14014 Product name: Recombinant human NCOA5 protein Source: e coli.-derived, PGEX-4T Tag: GST Domain: 112-384 aa of BC056872 Sequence: DMRDSRDPMYRREGSYDRYLRMDDYCRRKDDSYFDRYRDSFDGRGPPGPESQSRAKERLKREERRREELYRQYFEEIQRRFDAERPVDCSVIVVNKQTKDYAESVGRKVRDLGMVVDLIFLNTEVSLSQALEDVSRGGSPFAIVITQQHQIHRSCTVNIMFGTPQEHRNMPQADAMVLVARNYERYKNECREKEREEIARQAAKMADEAILQERERGGPEEGVRGGHPPAIQSLINLLADNRYLTAEETDKIINYLRERKERLMRSSTDSLPG 种属同源性预测 |
| 宿主/亚型 | Rabbit / IgG |
| 抗体类别 | Polyclonal |
| 产品类型 | Antibody |
| 全称 | nuclear receptor coactivator 5 |
| 别名 | CIA, Coactivator independent of AF-2, KIAA1637, NCoA-5, Nuclear receptor coactivator 5 |
| 计算分子量 | 579 aa, 66 kDa |
| 观测分子量 | 66 kDa |
| GenBank蛋白编号 | BC056872 |
| 基因名称 | NCOA5 |
| Gene ID (NCBI) | 57727 |
| RRID | AB_10694674 |
| 偶联类型 | Unconjugated |
| 形式 | Liquid |
| 纯化方式 | Antigen affinity purification |
| UNIPROT ID | Q9HCD5 |
| 储存缓冲液 | PBS with 0.02% sodium azide and 50% glycerol, pH 7.3. |
| 储存条件 | Store at -20°C. Stable for one year after shipment. Aliquoting is unnecessary for -20oC storage. |
背景介绍
Nuclear receptor coactivator 5 (NCOA5), also known as coactivator independent of AF-2 (CIA), possesses both repressor and activator functions (PMID: 11113208). It can interact with Estrogen Receptor (ER) alpha and ER beta in a ligand-dependent manner. NCOA5 has been shown to regulate the ER alpha-mediated transcription as well as the expression of the c-Myc gene (PMID: 11113208; 15073177). Recently identified as a conserved component of pluripotent stem cells, mammalian NCOA5 may contribute to the maintenance of the pluripotent stem cell population (PMID: 24268775).
实验方案
| Product Specific Protocols | |
|---|---|
| FC protocol for NCOA5 antibody 20175-1-AP | Download protocol |
| IF protocol for NCOA5 antibody 20175-1-AP | Download protocol |
| IHC protocol for NCOA5 antibody 20175-1-AP | Download protocol |
| IP protocol for NCOA5 antibody 20175-1-AP | Download protocol |
| WB protocol for NCOA5 antibody 20175-1-AP | Download protocol |
| Standard Protocols | |
|---|---|
| Click here to view our Standard Protocols |
发表文章
| Species | Application | Title |
|---|---|---|
Cell Rep SILAC Proteomics of Planarians Identifies Ncoa5 as a Conserved Component of Pluripotent Stem Cells. | ||
Biochem Biophys Res Commun NCOA5 is a master regulator of amino acid-induced mTOR activation and β-casein synthesis in bovine mammary epithelial cells.
| ||
Cell Death Discov NCOA5 induces sorafenib resistance in hepatocellular carcinoma by inhibiting ferroptosis
| ||
Sci Adv Nuclear 2'-O-methylation regulates RNA splicing through its binding protein FUBP1. |






