验证数据展示
经过测试的应用
| Positive WB detected in | HeLa cells, COS-7 cells |
| Positive IP detected in | HeLa cells |
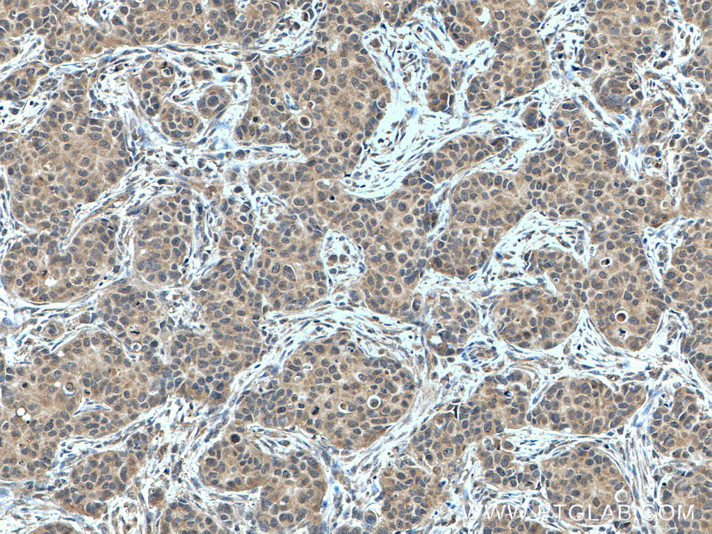
| Positive IHC detected in | mouse heart tissue, human breast cancer tissue Note: suggested antigen retrieval with TE buffer pH 9.0; (*) Alternatively, antigen retrieval may be performed with citrate buffer pH 6.0 |
| Positive IF/ICC detected in | HeLa cells |
推荐稀释比
| 应用 | 推荐稀释比 |
|---|---|
| Western Blot (WB) | WB : 1:500-1:1000 |
| Immunoprecipitation (IP) | IP : 0.5-4.0 ug for 1.0-3.0 mg of total protein lysate |
| Immunohistochemistry (IHC) | IHC : 1:50-1:500 |
| Immunofluorescence (IF)/ICC | IF/ICC : 1:200-1:800 |
| It is recommended that this reagent should be titrated in each testing system to obtain optimal results. | |
| Sample-dependent, Check data in validation data gallery. | |
产品信息
16004-1-AP targets NBR1 in WB, IHC, IF/ICC, IP, CoIP, ELISA applications and shows reactivity with human, mouse, rat, monkey samples.
| 经测试应用 | WB, IHC, IF/ICC, IP, ELISA Application Description |
| 文献引用应用 | WB, IHC, IF, IP, CoIP |
| 经测试反应性 | human, mouse, rat, monkey |
| 文献引用反应性 | human, mouse, pig, canine |
| 免疫原 |
CatNo: Ag8652 Product name: Recombinant human NBR1 protein Source: e coli.-derived, PET28a Tag: 6*His Domain: 1-353 aa of BC009808 Sequence: MEPQVTLNVTFKNEIQSFLVSDPENTTWADIEAMVKVSFDLNTIQIKYLDEENEEVSINSQGEYEEALKMAVKQGNQLQMQVHEGHHVVDEAPPPVVGAKRLAARAGKKPLAHYSSLVRVLGSDMKTPEDPAVQSFPLVPCDTDQPQDKPPDWFTSYLETFREQVVNETVEKLEQKLHEKLVLQNPSLGSCPSEVSMPTSEETLFLPENQFSWHIACNNCQRRIVGVRYQCSLCPSYNICEDCEAGPYGHDTNHVLLKLRRPVVGSSEPFCHSKYSTPRLPAALEQVRLQKQVDKNFLKAEKQRLRAEKKQRKAEVKELKKQLKLHRKIHLWNSIHGLQSPKSPLGRPESLLQ 种属同源性预测 |
| 宿主/亚型 | Rabbit / IgG |
| 抗体类别 | Polyclonal |
| 产品类型 | Antibody |
| 全称 | neighbor of BRCA1 gene 1 |
| 别名 | MIG19, M17S2, FLJ55359, Cell migration-inducing gene 19 protein, 1A13B |
| 计算分子量 | 966 aa, 107 kDa |
| 观测分子量 | 140 kDa |
| GenBank蛋白编号 | BC009808 |
| 基因名称 | NBR1 |
| Gene ID (NCBI) | 4077 |
| RRID | AB_2251178 |
| 偶联类型 | Unconjugated |
| 形式 | Liquid |
| 纯化方式 | Antigen affinity purification |
| UNIPROT ID | Q14596 |
| 储存缓冲液 | PBS with 0.02% sodium azide and 50% glycerol, pH 7.3. |
| 储存条件 | Store at -20°C. Stable for one year after shipment. Aliquoting is unnecessary for -20oC storage. |
背景介绍
NBR1, also named as 1A13B, KIAA0049 and M17S2, acts probably as a receptor for selective autophagosomal degradation of ubiquitinated targets. NBR1 and P62 can bind to autophagic effector proteins (Atg8 in yeast, MAP1LC3 protein family in mammals) anchored in the membrane of autophagosomes. It is a highly conserved multidomain scaffold protein with proposed roles in endocytic trafficking and selective autophagy. NBR1 is a novel PB1 adapter in Th2 differentiation and asthma. It functions as an autophagy receptor involved in targeting ubiquitinated proteins for degradation. It also has a dual role as a scaffold protein to regulate growth-factor receptor and downstream signaling pathways. Observed MW of NBR1 is 140 kDa (PMID: 22654911, PMID: 22484440).
实验方案
| Product Specific Protocols | |
|---|---|
| IF protocol for NBR1 antibody 16004-1-AP | Download protocol |
| IHC protocol for NBR1 antibody 16004-1-AP | Download protocol |
| IP protocol for NBR1 antibody 16004-1-AP | Download protocol |
| WB protocol for NBR1 antibody 16004-1-AP | Download protocol |
| Standard Protocols | |
|---|---|
| Click here to view our Standard Protocols |
发表文章
| Species | Application | Title |
|---|---|---|
Cell Lack of Neuronal IFN-β-IFNAR Causes Lewy Body- and Parkinson's Disease-like Dementia. | ||
Autophagy TOLLIP-mediated autophagic degradation pathway links the VCP-TMEM63A-DERL1 signaling axis to triple-negative breast cancer progression | ||
Autophagy Stress granule homeostasis is modulated by TRIM21-mediated ubiquitination of G3BP1 and autophagy-dependent elimination of stress granules
| ||
Autophagy Identification of a lung cancer cell line deficient in atg7-dependent autophagy. |







