验证数据展示
经过测试的应用
| Positive WB detected in | A549 cells, HeLa cells, Calu-1 cells, HEK-293 cells, NIH/3T3 cells |
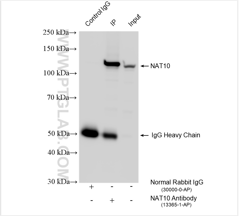
| Positive IP detected in | HEK-293 cells, mouse testis tissue |
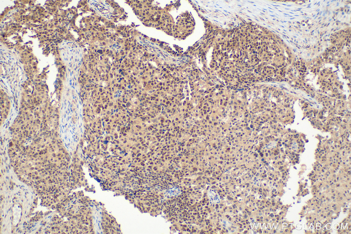
| Positive IHC detected in | human ovary cancer tissue, human stomach cancer tissue Note: suggested antigen retrieval with TE buffer pH 9.0; (*) Alternatively, antigen retrieval may be performed with citrate buffer pH 6.0 |
| Positive IF/ICC detected in | NIH/3T3 cells, HeLa cells |
推荐稀释比
| 应用 | 推荐稀释比 |
|---|---|
| Western Blot (WB) | WB : 1:20000-1:100000 |
| Immunoprecipitation (IP) | IP : 0.5-4.0 ug for 1.0-3.0 mg of total protein lysate |
| Immunohistochemistry (IHC) | IHC : 1:1000-1:4000 |
| Immunofluorescence (IF)/ICC | IF/ICC : 1:500-1:2000 |
| It is recommended that this reagent should be titrated in each testing system to obtain optimal results. | |
| Sample-dependent, Check data in validation data gallery. | |
产品信息
13365-1-AP targets NAT10 in WB, IHC, IF/ICC, IP, CoIP, ChIP, RIP, ELISA applications and shows reactivity with human, mouse samples.
| 经测试应用 | WB, IHC, IF/ICC, IP, ELISA Application Description |
| 文献引用应用 | WB, IHC, IF, IP, CoIP, ChIP, RIP |
| 经测试反应性 | human, mouse |
| 文献引用反应性 | human, mouse, rat, canine, zebrafish |
| 免疫原 |
CatNo: Ag4184 Product name: Recombinant human NAT10 protein Source: e coli.-derived, PGEX-4T Tag: GST Domain: 676-1025 aa of BC035558 Sequence: EAVSLLEEVITPRKDLPPLLLKLNERPAERLDYLGVSYGLTPRLLKFWKRAGFVPVYLRQTPNDLTGEHSCIMLKTLTDEDEADQGGWLAAFWKDFRRRFLALLSYQFSTFSPSLALNIIQNRNMGKPAQPALSREELEALFLPYDLKRLEMYSRNMVDYHLIMDMIPAISRIYFLNQLGDLALSAAQSALLLGIGLQHKSVDQLEKEIELPSGQLMGLFNRIIRKVVKLFNEVQEKAIEEQMVAAKDVVMEPTMKTLSDDLDEAAKEFQEKHKKEVGKLKSMDLSEYIIRGDDEEWNEVLNKAGPNASIISLKSDKKRKLEAKQEPKQSKKLKNRETKNKKDMKLKRKK 种属同源性预测 |
| 宿主/亚型 | Rabbit / IgG |
| 抗体类别 | Polyclonal |
| 产品类型 | Antibody |
| 全称 | N-acetyltransferase 10 (GCN5-related) |
| 别名 | 18S rRNA cytosine acetyltransferase, ALP, EC:2.3.1.-, KIAA1709, N acetyltransferase 10 |
| 计算分子量 | 1025 aa, 116 kDa |
| 观测分子量 | 116 kDa |
| GenBank蛋白编号 | BC035558 |
| 基因名称 | NAT10 |
| Gene ID (NCBI) | 55226 |
| RRID | AB_2148944 |
| 偶联类型 | Unconjugated |
| 形式 | Liquid |
| 纯化方式 | Antigen affinity purification |
| UNIPROT ID | Q9H0A0 |
| 储存缓冲液 | PBS with 0.02% sodium azide and 50% glycerol, pH 7.3. |
| 储存条件 | Store at -20°C. Stable for one year after shipment. Aliquoting is unnecessary for -20oC storage. |
背景介绍
NAT10 (N-acetyltransferase 10) is a nucleolar protein that is involved in regulation of telomerase activity, DNA damage response, and cytokinesis. It also plays a role in maintaining nuclear shape. Inhibition of NAT10 has been reported to rescue the misshapen nuclei in laminopathic cells via microtubule reorganization. NAT10 is the first enzyme to be found to catalyze ac4C production in eukaryotic RNA and has acetyltransferase activity and RNA-binding activity. (PMID: 23592795). NAT10 is the singular human enzyme to have both acetyltransferase and RNA binding activities (PMID: 30449621). NAT10 is associated with U3 small nucleolar RNA and acetylates upstream binding factors to activate rRNA transcription (PMID: 21177859). NAT10 promoted cisplatin chemoresistance in bladder cancer cells by enhancing DNA damage repair (DDR) (PMID: 36939377). NAT10 is a vital member of the Gcn5-related N-acetyltransferase (GNAT) family and contains 1,025 amino acids with a molecular weight of 116 kDa (PMID: 37128278). NAT10 is commonly expressed in lymphoid tissue, kidney, liver, cerebellum, cerebral cortex, and the central nervous system during the embryonic period. Normal tissue cells express NAT10 in the nucleus, while tumor cells translocate NAT10 to the cytoplasm, nucleoplasm, and nuclear membrane, affecting tumor formation (PMID: 37128278). The specificity of this antibody has been tested by siRNA. (24786082)
实验方案
| Product Specific Protocols | |
|---|---|
| IF protocol for NAT10 antibody 13365-1-AP | Download protocol |
| IHC protocol for NAT10 antibody 13365-1-AP | Download protocol |
| IP protocol for NAT10 antibody 13365-1-AP | Download protocol |
| WB protocol for NAT10 antibody 13365-1-AP | Download protocol |
| Standard Protocols | |
|---|---|
| Click here to view our Standard Protocols |
发表文章
| Species | Application | Title |
|---|---|---|
Nat Commun N-acetyltransferase 10 is implicated in the pathogenesis of cycling T cell-mediated autoimmune and inflammatory disorders in mice | ||
Cell Host Microbe Acetylation of Cytidine Residues Boosts HIV-1 Gene Expression by Increasing Viral RNA Stability.
| ||
Mol Cell Direct epitranscriptomic regulation of mammalian translation initiation through N4-acetylcytidine. | ||
Cell Death Differ NAT10 regulates heart development and function by maintaining the expression of genes related to fatty acid β-oxidation and heart contraction |










