验证数据展示
经过测试的应用
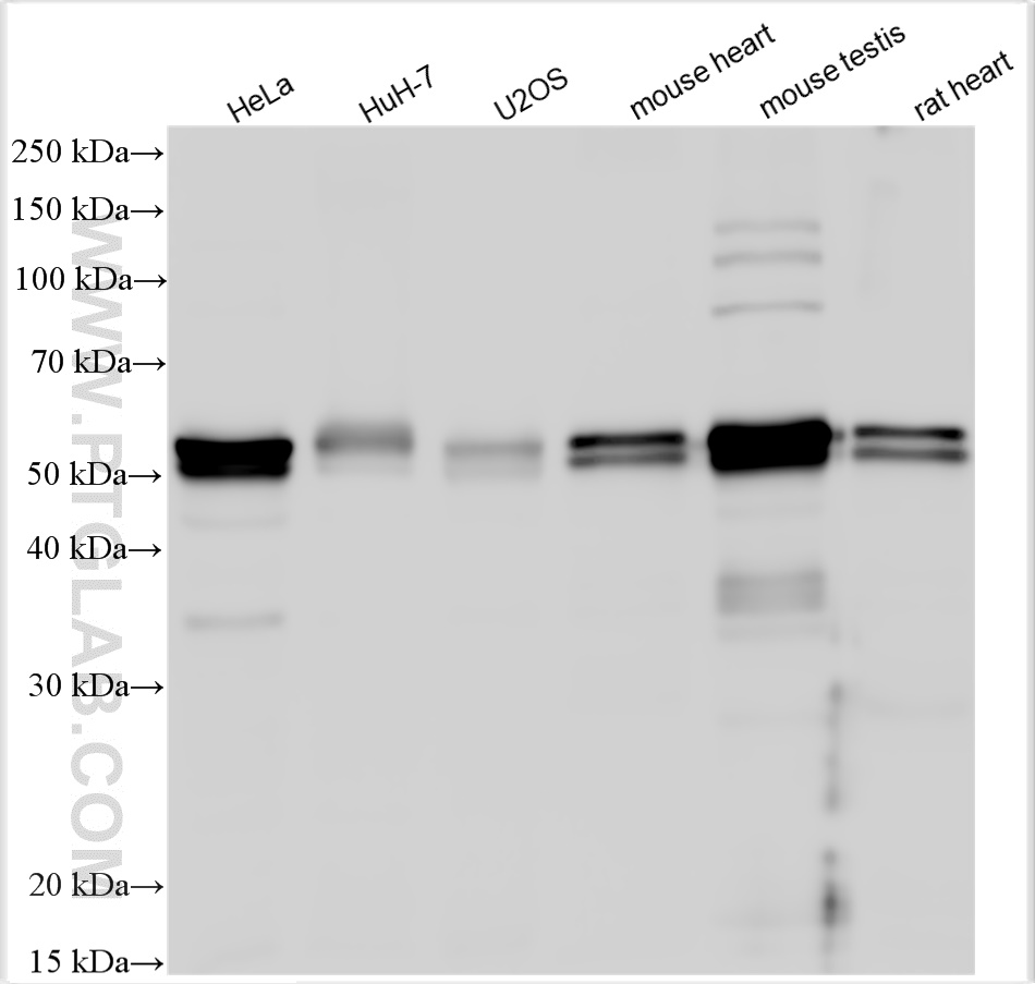
| Positive WB detected in | HeLa cells, HuH-7 cells, mouse heart tissue, mouse testis tissue, rat heart tissue, U2OS cells |
推荐稀释比
| 应用 | 推荐稀释比 |
|---|---|
| Western Blot (WB) | WB : 1:500-1:2000 |
| It is recommended that this reagent should be titrated in each testing system to obtain optimal results. | |
| Sample-dependent, Check data in validation data gallery. | |
产品信息
27889-1-AP targets NAP1L4 in WB, ELISA applications and shows reactivity with Human, mouse, rat samples.
| 经测试应用 | WB, ELISA Application Description |
| 经测试反应性 | Human, mouse, rat |
| 免疫原 |
CatNo: Ag27469 Product name: Recombinant human NAP1L4 protein Source: e coli.-derived, PGEX-4T Tag: GST Domain: 222-375 aa of BC022090 Sequence: TKTYKMKSEPDKADPFSFEGPEIVDCDGCTIDWKKGKNVTVKTIKKKQKHKGRGTVRTITKQVPNESFFNFFNPLKASGDGESLDEDSEFTLASDFEIGHFFRERIVPRAVLYFTGEAIEDDDNFEEGEEGEEEELEGDEEGEDEDDAEINPKV 种属同源性预测 |
| 宿主/亚型 | Rabbit / IgG |
| 抗体类别 | Polyclonal |
| 产品类型 | Antibody |
| 全称 | nucleosome assembly protein 1-like 4 |
| 别名 | hNAP2, NAP 2, NAP1L4, NAP2, NAP2L, Nucleosome assembly protein 2 |
| 计算分子量 | 375 aa, 43 kDa |
| 观测分子量 | 52 kDa |
| GenBank蛋白编号 | BC022090 |
| 基因名称 | NAP1L4 |
| Gene ID (NCBI) | 4676 |
| RRID | AB_2881006 |
| 偶联类型 | Unconjugated |
| 形式 | Liquid |
| 纯化方式 | Antigen affinity purification |
| UNIPROT ID | Q99733 |
| 储存缓冲液 | PBS with 0.02% sodium azide and 50% glycerol, pH 7.3. |
| 储存条件 | Store at -20°C. Stable for one year after shipment. Aliquoting is unnecessary for -20oC storage. |
背景介绍
NAP1L4 is a member of the nucleosome assembly protein (NAP) family which can interact with both core and linker histones. It can shuttle between the cytoplasm and nucleus, suggesting a role as a histone chaperone. This gene is one of several located near the imprinted gene domain of 11p15.5, an important tumor-suppressor gene region. Alterations in this region have been associated with the Beckwith-Wiedemann syndrome, Wilms tumor, rhabdomyosarcoma, adrenocortical carcinoma, and lung, ovarian, and breast cancer.
实验方案
| Product Specific Protocols | |
|---|---|
| WB protocol for NAP1L4 antibody 27889-1-AP | Download protocol |
| Standard Protocols | |
|---|---|
| Click here to view our Standard Protocols |


