验证数据展示
经过测试的应用
| Positive WB detected in | mouse testis tissue, HEK-293 cells |
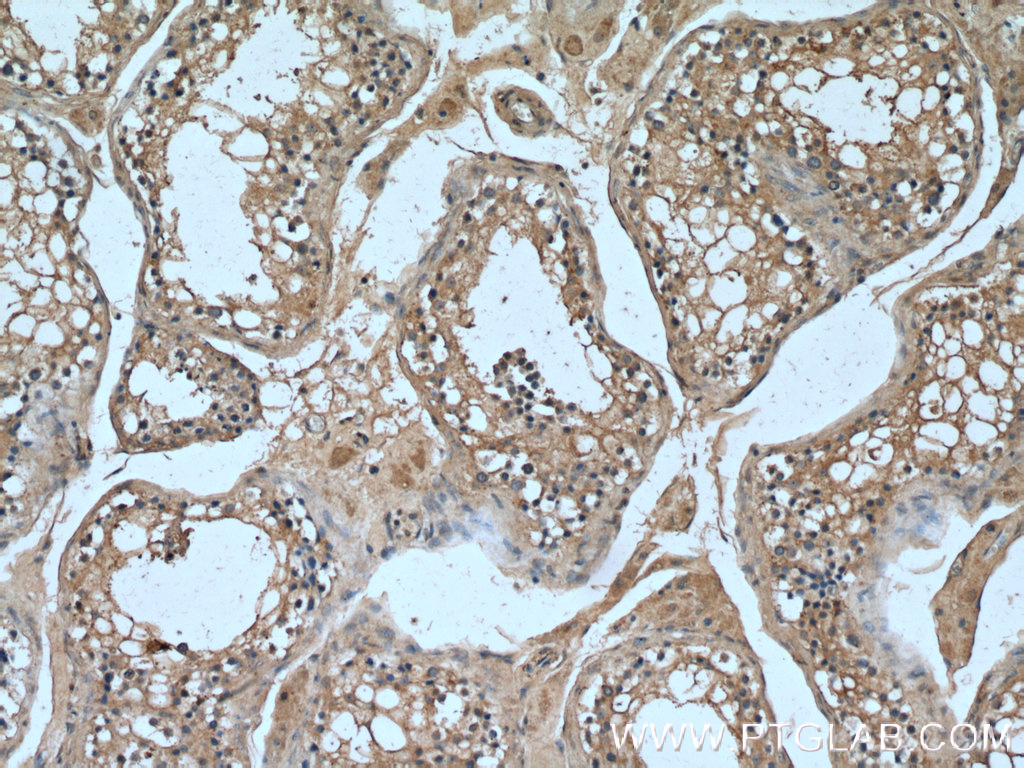
| Positive IHC detected in | human testis tissue Note: suggested antigen retrieval with TE buffer pH 9.0; (*) Alternatively, antigen retrieval may be performed with citrate buffer pH 6.0 |
推荐稀释比
| 应用 | 推荐稀释比 |
|---|---|
| Western Blot (WB) | WB : 1:200-1:1000 |
| Immunohistochemistry (IHC) | IHC : 1:50-1:500 |
| It is recommended that this reagent should be titrated in each testing system to obtain optimal results. | |
| Sample-dependent, Check data in validation data gallery. | |
产品信息
21679-1-AP targets NANOS3 in WB, IHC, IF, ELISA applications and shows reactivity with human, mouse, rat samples.
| 经测试应用 | WB, IHC, ELISA Application Description |
| 文献引用应用 | WB, IHC, IF |
| 经测试反应性 | human, mouse, rat |
| 文献引用反应性 | human, mouse, rat, monkey |
| 免疫原 |
CatNo: Ag16014 Product name: Recombinant human NANOS3 protein Source: e coli.-derived, PGEX-4T Tag: GST Domain: 1-192 aa of BC101209 Sequence: MGTFDLWTDYLGLAHLVRALSGKEGPETRLSPQPEPEPMLEPVSALEPMPAPESVPVPGPKDQKRSLESSPAPERLCSFCKHNGESRAIYQSHVLKDEAGRVLCPILRDYVCPQCGATRERAHTRRFCPLTGQGYTSVYSHTTRNSAGKKLVRPDKAKTQDTGHRRGGGGGAGFRGAGKSEPSPSCSPSMST 种属同源性预测 |
| 宿主/亚型 | Rabbit / IgG |
| 抗体类别 | Polyclonal |
| 产品类型 | Antibody |
| 全称 | nanos homolog 3 (Drosophila) |
| 别名 | NOS-3, NOS3, NOS 3, NANOS1L, nanos homolog 3 (Drosophila) |
| 计算分子量 | 192 aa, 21 kDa |
| 观测分子量 | 26-30 kDa |
| GenBank蛋白编号 | BC101209 |
| 基因名称 | NANOS3 |
| Gene ID (NCBI) | 342977 |
| RRID | AB_10859250 |
| 偶联类型 | Unconjugated |
| 形式 | Liquid |
| 纯化方式 | Antigen affinity purification |
| UNIPROT ID | P60323 |
| 储存缓冲液 | PBS with 0.02% sodium azide and 50% glycerol, pH 7.3. |
| 储存条件 | Store at -20°C. Stable for one year after shipment. Aliquoting is unnecessary for -20oC storage. |
背景介绍
The NANOS gene family is required for germ cell development in diverse organisms. NANOS3 is found in migrating primordial germ cells, and the homozygous deficiency of NANOS3 in the mouse results in the complete loss of germ cells in both sexes.
实验方案
| Product Specific Protocols | |
|---|---|
| IHC protocol for NANOS3 antibody 21679-1-AP | Download protocol |
| WB protocol for NANOS3 antibody 21679-1-AP | Download protocol |
| Standard Protocols | |
|---|---|
| Click here to view our Standard Protocols |
发表文章
| Species | Application | Title |
|---|---|---|
Nucleic Acids Res Regulation of both transcription and RNA turnover contribute to germline specification. | ||
Environ Pollut Wnt10a downregulation contributes to MEHP-induced disruption of self-renewal and differentiation balance and proliferation inhibition in GC-1 cells: Insights from multiple transcriptomic profiling | ||
J Pathol The human NANOS3 gene contributes to lung tumour invasion by inducing epithelial-mesenchymal transition. | ||
Exp Cell Res Pum2 mediates Sirt1 mRNA decay and exacerbates hypoxia/reoxygenation-induced cardiomyocyte apoptosis. | ||
J Ethnopharmacol Zhenwu decoction ameliorates cardiac hypertrophy through activating sGC (soluble guanylate cyclase) - cGMP (cyclic guanosine monophosphate) - PKG (protein kinase G) pathway |



