验证数据展示
经过测试的应用
| Positive WB detected in | mouse brain tissue, rat brain tissue |
| Positive IP detected in | mouse brain tissue |
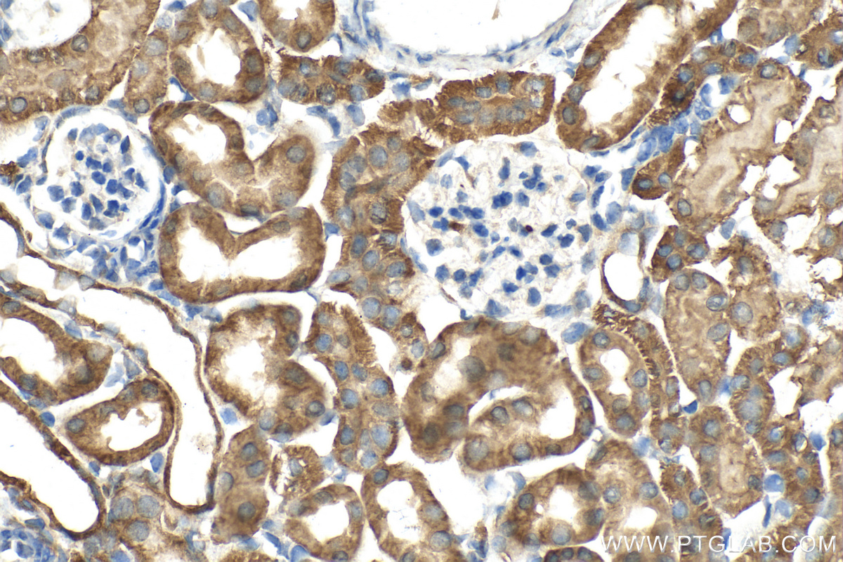
| Positive IHC detected in | mouse kidney tissue, human cervical cancer tissue, human kidney tissue, mouse brain tissue Note: suggested antigen retrieval with TE buffer pH 9.0; (*) Alternatively, antigen retrieval may be performed with citrate buffer pH 6.0 |
| Positive IF/ICC detected in | HEK-293 cells |
推荐稀释比
| 应用 | 推荐稀释比 |
|---|---|
| Western Blot (WB) | WB : 1:1000-1:6000 |
| Immunoprecipitation (IP) | IP : 0.5-4.0 ug for 1.0-3.0 mg of total protein lysate |
| Immunohistochemistry (IHC) | IHC : 1:50-1:500 |
| Immunofluorescence (IF)/ICC | IF/ICC : 1:50-1:500 |
| It is recommended that this reagent should be titrated in each testing system to obtain optimal results. | |
| Sample-dependent, Check data in validation data gallery. | |
产品信息
16733-1-AP targets N4BP3 in WB, IHC, IF/ICC, IP, ELISA applications and shows reactivity with human, mouse, rat samples.
| 经测试应用 | WB, IHC, IF/ICC, IP, ELISA Application Description |
| 文献引用应用 | WB, IHC, IP |
| 经测试反应性 | human, mouse, rat |
| 文献引用反应性 | human |
| 免疫原 |
CatNo: Ag10194 Product name: Recombinant human N4BP3 protein Source: e coli.-derived, PGEX-4T Tag: GST Domain: 198-544 aa of BC053323 Sequence: GRSPGTGPSPFSSSLGHLNHLGGSLDRASQGPKEAGPPAVLSCLPEPPPPYEFSCSSAEEMGAVLPETCEELKRGLGDEDGSNPFTQVLEERQRLWLAELKRLYVERLHEVTQKAERSERNLQLQLFMAQQEQRRLRKELRAQQGLAPEPRAPGTLPEADPSARPEEEARWEVCQKTAEISLLKQQLREAQAELAQKLAEIFSLKTQLRGSRAQAQAQDAELVRLREAVRSLQEQAPREEAPGSCETDDCKSRGLLGEAGGSEARDSAEQLRAELLQERLRGQEQALRFEQERRTWQEEKERVLRYQREIQGGYMDMYRRNQALEQELRALREPPTPWSPRLESSKI 种属同源性预测 |
| 宿主/亚型 | Rabbit / IgG |
| 抗体类别 | Polyclonal |
| 产品类型 | Antibody |
| 全称 | Nedd4 binding protein 3 |
| 别名 | KIAA0341, Nedd4 binding protein 3, NEDD4-binding protein 3 |
| 计算分子量 | 544 aa, 60 kDa |
| 观测分子量 | 60-65 kDa |
| GenBank蛋白编号 | BC053323 |
| 基因名称 | N4BP3 |
| Gene ID (NCBI) | 23138 |
| RRID | AB_2878308 |
| 偶联类型 | Unconjugated |
| 形式 | Liquid |
| 纯化方式 | Antigen affinity purification |
| UNIPROT ID | O15049 |
| 储存缓冲液 | PBS with 0.02% sodium azide and 50% glycerol, pH 7.3. |
| 储存条件 | Store at -20°C. Stable for one year after shipment. Aliquoting is unnecessary for -20oC storage. |
背景介绍
N4BP3, also named as KIAA0341, a Fezzin family member, during nerve cell development. It is crucial for axonal and dendritic branching in developing neurons. It binds the protein NEDD4 and interacts with 14-3-3 proteins. N4BP3 is present in early neurites, growth cones, axons and dendrites of developing primary hippocampal neurons.
实验方案
| Product Specific Protocols | |
|---|---|
| IF protocol for N4BP3 antibody 16733-1-AP | Download protocol |
| IHC protocol for N4BP3 antibody 16733-1-AP | Download protocol |
| IP protocol for N4BP3 antibody 16733-1-AP | Download protocol |
| WB protocol for N4BP3 antibody 16733-1-AP | Download protocol |
| Standard Protocols | |
|---|---|
| Click here to view our Standard Protocols |
发表文章
| Species | Application | Title |
|---|---|---|
Front Microbiol N4BP3 Regulates RIG-I-Like Receptor Antiviral Signaling Positively by Targeting Mitochondrial Antiviral Signaling Protein.
| ||
Cell Death Discov N4BP3 facilitates NOD2-MAPK/NF-κB pathway in inflammatory bowel disease through mediating K63-linked RIPK2 ubiquitination | ||
J Inflamm Res N4BP3 Activates TLR4-NF-κB Pathway in Inflammatory Bowel Disease by Promoting K48-Linked IκBα Ubiquitination | ||
Exp Cell Res N4BP3 promotes ovarian cancer progression and paclitaxel resistance by activating the Wnt/β-catenin signaling through interaction with XPO1.
|










