验证数据展示
经过测试的应用
| Positive WB detected in | HeLa cells, rat brain tissue, PC-3 cells, C2C12 cells |
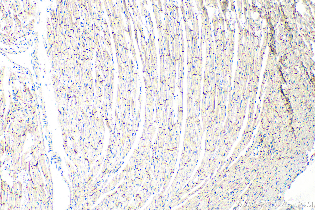
| Positive IHC detected in | mouse heart tissue Note: suggested antigen retrieval with TE buffer pH 9.0; (*) Alternatively, antigen retrieval may be performed with citrate buffer pH 6.0 |
| Positive IF/ICC detected in | C2C12 cells |
推荐稀释比
| 应用 | 推荐稀释比 |
|---|---|
| Western Blot (WB) | WB : 1:2000-1:16000 |
| Immunohistochemistry (IHC) | IHC : 1:200-1:800 |
| Immunofluorescence (IF)/ICC | IF/ICC : 1:200-1:800 |
| It is recommended that this reagent should be titrated in each testing system to obtain optimal results. | |
| Sample-dependent, Check data in validation data gallery. | |
发表文章中的应用
| WB | See 1 publications below |
| ELISA | See 1 publications below |
产品信息
30803-1-AP targets N-cadherin in WB, IHC, IF/ICC, ELISA applications and shows reactivity with Human, Mouse, Rat samples.
| 经测试应用 | WB, IHC, IF/ICC, ELISA Application Description |
| 文献引用应用 | WB |
| 经测试反应性 | Human, Mouse, Rat |
| 文献引用反应性 | human |
| 免疫原 |
Recombinant protein 种属同源性预测 |
| 宿主/亚型 | Rabbit / IgG |
| 抗体类别 | Polyclonal |
| 产品类型 | Antibody |
| 全称 | cadherin 2, type 1, N-cadherin (neuronal) |
| 别名 | Cadherin 2, CD325, CDH2, CDHN, CDw325, N cadherin, NCAD, Neural cadherin |
| 计算分子量 | 100 kDa |
| 观测分子量 | 130 kDa |
| GenBank蛋白编号 | NM_001792.4 |
| 基因名称 | N-cadherin |
| Gene ID (NCBI) | 1000 |
| RRID | AB_3669759 |
| 偶联类型 | Unconjugated |
| 形式 | Liquid |
| 纯化方式 | Antigen affinity purification |
| UNIPROT ID | P19022-1 |
| 储存缓冲液 | PBS with 0.02% sodium azide and 50% glycerol, pH 7.3. |
| 储存条件 | Store at -20°C. Stable for one year after shipment. Aliquoting is unnecessary for -20oC storage. |
背景介绍
Cadherins are a family of transmembrane glycoproteins that mediate calcium-dependent cell-cell adhesion and play an important role in the maintenance of normal tissue architecture. N-cadherin (neural cadherin), also known as CDH2 (cadherin 2), is a 130-kDa transmembrane protein and a classical member of the cadherin superfamily which also include E-, P-, R-, and B-cadherins. Expression of N-cadherin has been reported on various cell types including neurons, endothelial cells and cardiac myocytes (PMID: 11282032; 9508779; 8125202). N-cadherin has functions in early brain morphogenesis, synaptogenesis and synaptic plasticity (PMID: 23321619).
实验方案
| Product Specific Protocols | |
|---|---|
| IF protocol for N-cadherin antibody 30803-1-AP | Download protocol |
| IHC protocol for N-cadherin antibody 30803-1-AP | Download protocol |
| WB protocol for N-cadherin antibody 30803-1-AP | Download protocol |
| Standard Protocols | |
|---|---|
| Click here to view our Standard Protocols |
发表文章
| Species | Application | Title |
|---|---|---|
Cancer Genet Mechanistic study of Liquiritigenin inhibiting bladder cancer cell proliferation and migration by regulating STING1 | ||
J Cell Sci Cadherins and growth factor receptors - ligand-selective mechano-switches at cadherin junctions. |



