验证数据展示
经过测试的应用
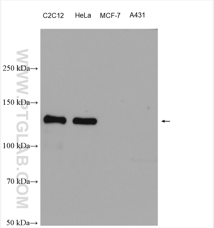
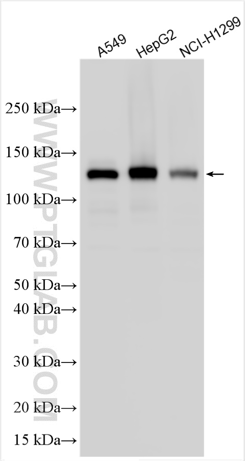
| Positive WB detected in | A549 cells, C2C12 cells, HEK-293 cells, HeLa cells, mouse brain tissue, rat brain tissue, HepG2 cells, NCI-H1299 cells, Calu-1 cells, PC-3 cells, NIH/3T3 cells, C6 cells, rat heart tissue |
| Positive IP detected in | mouse brain tissue |
| Positive IHC detected in | mouse heart tissue, mouse brain tissue Note: suggested antigen retrieval with TE buffer pH 9.0; (*) Alternatively, antigen retrieval may be performed with citrate buffer pH 6.0 |
| Positive IF-P detected in | mouse heart tissue, C2C12 cells |
| Positive IF-Fro detected in | mouse heart tissue |
| Positive IF/ICC detected in | C2C12 cells |
推荐稀释比
| 应用 | 推荐稀释比 |
|---|---|
| Western Blot (WB) | WB : 1:20000-1:100000 |
| Immunoprecipitation (IP) | IP : 0.5-4.0 ug for 1.0-3.0 mg of total protein lysate |
| Immunohistochemistry (IHC) | IHC : 1:2000-1:8000 |
| Immunofluorescence (IF)-P | IF-P : 1:50-1:500 |
| Immunofluorescence (IF)-FRO | IF-FRO : 1:200-1:800 |
| Immunofluorescence (IF)/ICC | IF/ICC : 1:200-1:800 |
| It is recommended that this reagent should be titrated in each testing system to obtain optimal results. | |
| Sample-dependent, Check data in validation data gallery. | |
产品信息
22018-1-AP targets N-cadherin in WB, IHC, IF/ICC, IF-P, IF-Fro, IP, CoIP, ELISA applications and shows reactivity with human, mouse, rat samples.
| 经测试应用 | WB, IHC, IF/ICC, IF-P, IF-Fro, IP, ELISA Application Description |
| 文献引用应用 | WB, IHC, IF, IP, CoIP |
| 经测试反应性 | human, mouse, rat |
| 文献引用反应性 | human, mouse, rat, canine, bovine, hamster, horse, gecko |
| 免疫原 |
CatNo: Ag16792 Product name: Recombinant human N-cadherin protein Source: e coli.-derived, PGEX-4T Tag: GST Domain: 421-535 aa of BC036470 Sequence: RISGGDPTGRFAIQTDQNSNDGLVTVVKPIDFEANRMFVLTVAAENQVPLAKGIQHPPQSTATMSVTVIDVNENPYFAPNPKIIRQEEGLHAGTMLTTFTAQDPDRYMQQNIRYT 种属同源性预测 |
| 宿主/亚型 | Rabbit / IgG |
| 抗体类别 | Polyclonal |
| 产品类型 | Antibody |
| 全称 | cadherin 2, type 1, N-cadherin (neuronal) |
| 别名 | Cadherin 2, Cadherin-2, CD325, CDH2, CDHN |
| 计算分子量 | 906 aa, 100 kDa |
| 观测分子量 | 130 kDa |
| GenBank蛋白编号 | BC036470 |
| 基因名称 | N-cadherin |
| Gene ID (NCBI) | 1000 |
| RRID | AB_2813891 |
| 偶联类型 | Unconjugated |
| 形式 | Liquid |
| 纯化方式 | Antigen affinity purification |
| UNIPROT ID | P19022 |
| 储存缓冲液 | PBS with 0.02% sodium azide and 50% glycerol, pH 7.3. |
| 储存条件 | Store at -20°C. Stable for one year after shipment. Aliquoting is unnecessary for -20oC storage. |
背景介绍
Neuronal cadherin (N-cadherin), also known as cadherin-2 (CDH2), is a calcium-binding protein that mediates cell-cell adhesions of neuronal and some non-neuronal cell types.
What is the molecular weight of N-cadherin? Is N-cadherin post-translationally modified?
The molecular weight of mature N-cadherin is 127 kDa. N-cadherin is synthesized in a precursor form that undergoes proteolytic cleavage by furin at the Golgi apparatus. Additionally, it can be phosphorylated by casein kinase II and N-glycosylated, which affects its stability (PMID: 12604612 and 19846557).
What is the subcellular localization of N-cadherin? What is the tissue expression pattern of N-cadherin?
N-cadherin is an integral membrane protein present at the plasma membrane, forming adherens junctions. It is widely expressed in the nervous system, where it flanks the active zone of synapses and is important for synapse formation and remodeling. It is also present in the lens, skeletal, and cardiac muscles (PMID: 3857614). In the muscle, N-cadherin plays a role in myoblast differentiation, while in the heart it is required for the formation of intercalated discs. Additionally, N-cadherin is present in blood vessels, promoting angiogenesis by forming adhesive complexes between endothelial cells and pericytes (PMID: 24521477).
What is the role of N-cadherin during the epithelial-mesenchymal transition (EMT)?
EMT is a crucial process during gastrulation that leads to the formation of mesenchymal cells. It is marked by decreased expression of E-cadherin and upregulation of N-cadherin, which promotes cell migration (PMID: 23481201). Similarly, upregulation of N-cadherin is observed in many cancer cell types and is associated with increased invasiveness and metastasis.
实验方案
| Product Specific Protocols | |
|---|---|
| IF protocol for N-cadherin antibody 22018-1-AP | Download protocol |
| IHC protocol for N-cadherin antibody 22018-1-AP | Download protocol |
| IP protocol for N-cadherin antibody 22018-1-AP | Download protocol |
| WB protocol for N-cadherin antibody 22018-1-AP | Download protocol |
| Standard Protocols | |
|---|---|
| Click here to view our Standard Protocols |
发表文章
| Species | Application | Title |
|---|---|---|
Mol Cancer lncRNA ZNRD1-AS1 promotes malignant lung cell proliferation, migration, and angiogenesis via the miR-942/TNS1 axis and is positively regulated by the m6A reader YTHDC2 | ||
ACS Nano Cancer-Erythrocyte Hybrid Membrane-Camouflaged Magnetic Nanoparticles with Enhanced Photothermal-Immunotherapy for Ovarian Cancer. | ||
ACS Nano Biomimetic Nanomedicine Targeting Orchestrated Metabolism Coupled with Regulatory Factors to Disrupt the Metabolic Plasticity of Breast Cancer | ||
Nat Commun Schwann cells regulate tumor cells and cancer-associated fibroblasts in the pancreatic ductal adenocarcinoma microenvironment | ||
Nat Commun Parvimonas micra promotes oral squamous cell carcinoma metastasis through TmpC-CKAP4 axis | ||
Cell Death Differ TRIM32 promotes anoikis resistance and metastasis in NSCLC by degrading CHEK2 to enhance IL-6 secretion |

















